CD34 Rabbit Polyclonal Antibody
cat.: 0108-2
Product Type: Rabbit polyclonal IgG, primary antibodies
Species reactivity: Human, Mouse, Zebrafish
Applications: WB, IF-Cell, IHC-P
Clonality: Polyclonal
Form: Liquid
Storage condition: Shipped at 4℃. Store at +4℃ short term (1-2 weeks). It is recommended to aliquot into single-use upon delivery. Store at -20℃ long term.
Storage buffer: 1*PBS (pH7.4), 0.2% BSA, 40% Glycerol. Preservative: 0.05% Sodium Azide.
Concentration: 1ug/ul
Purification: Immunogen affinity purified.
Molecular weight: Predicted band size: 41 kDa
Isotype: IgG
Immunogen: Synthetic peptide within human CD34 aa 336-385.
Positive control: Human brain, mouse brain, mouse testis, Mouse thymus, mouse spleen, Jurkat, TF-1, F9, human embryonic stem cell, human tonsil tissue
Subcellular location: Cell membrane
Recommended Dilutions:
  WB
  IF-Cell
  IHC-P

1:500-1:1,000
1:100
1:3,000
Uniprot #: SwissProt: P28906 Human | Q64314 Mouse
Alternative names: CD34 CD34 antigen CD34 molecule CD34_HUMAN Cluster designation 34 Hematopoietic progenitor cell antigen CD34 HPCA1 Mucosialin OTTHUMP00000034733 OTTHUMP00000034734
Images
0108-2_1.jpg Fig1: Western blot analysis of CD34 on different cell lysates using anti-CD34 antibody at 1/1,000 dilution.

Positive control:
Lane 1: Human brain lysate
Lane 2: Mouse brain lysate
Lane 3: Mouse testis lysate
Lane 4: Mouse thymus lysate
Lane 5: Mouse spleen lysate
Lane 6:Jurkat lysate
Lane 7: TF-1 lysate
Lane 8: F9 lysate

Predicted band size: 41 kDa
Observed band size: 90 kDa
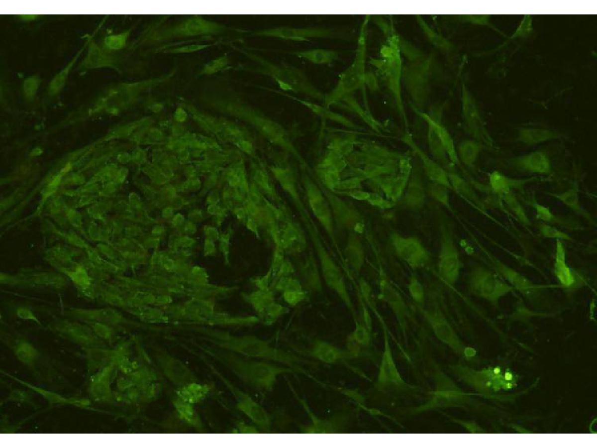
0108-2_2.jpg Fig2: ICC staining of CD34 in hES cells (green). Formalin fixed cells were permeabilized with 0.25% Triton X100/PBS for 10 minutes at room temperature and blocked with 10% negative goat serum for 15 minutes at room temperature. Cells were probed with the primary antibody (0108-2, 1/50) for 1 hour at room temperature, washed with PBS. Alexa Fluor®488 conjugate-Goat anti-Rabbit IgG was used as the secondary antibody at 1/1,000 dilution.
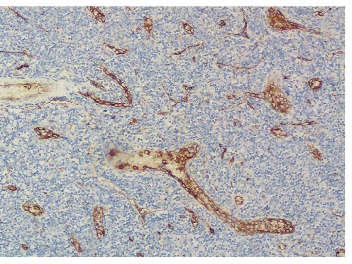
0108-2_3.jpg Fig3: Immunohistochemical analysis of paraffin-embedded human tonsil tissue using anti-CD34 antibody. The section was pre-treated using heat mediated antigen retrieval with Tris-EDTA buffer (pH 9.0) for 20 minutes.The tissues were blocked in 1% BSA for 30 minutes at room temperature, washed with ddH2O and PBS, and then probed with the primary antibody (0108-2, 1/200) for 30 minutes at room temperature. The detection was performed using an HRP conjugated compact polymer system. DAB was used as the chromogen. Tissues were counterstained with hematoxylin and mounted with DPX.
Note: All products are “FOR RESEARCH USE ONLY AND ARE NOT INTENDED FOR DIAGNOSTIC OR THERAPEUTIC USE”.