 
	            	| Product Type: | Rabbit polyclonal IgG, primary antibodies | 
|---|---|
| Species reactivity: | Human, Mouse, Rat | 
| Applications: | WB, IF-Cell, IHC-P | 
| Clonality: | Polyclonal | 
| Form: | Liquid | 
| Storage condition: | Store at +4℃ after thawing. Aliquot store at -20℃. Avoid repeated freeze / thaw cycles. | 
| Storage buffer: | 1*PBS (pH7.4), 0.2% BSA, 25% Glycerol. Preservative: 0.05% Sodium Azide. | 
| Concentration: | 1ug/ul | 
| Purification: | Immunogen affinity purified. | 
| Molecular weight: | Predicted band size: 48 kDa | 
| Isotype: | IgG | 
| Immunogen: | Synthetic peptide within mouse Cytokeratin 18 aa 374-423 / 423. | 
| Positive control: | Mouse liver tissue lysate, A431 cell lysates, 293T, A549, SW480, mouse kidney tissue, human liver tissue, human liver carcinoma tissue, mouse lung tissue. | 
| Subcellular location: | Cytoplasm, perinuclear region. | 
| Recommended Dilutions: WB IF-Cell IHC-P | 500-1,000 1:200 1:100-1:400 | 
| Uniprot #: | SwissProt: P05783 Human | P05784 Mouse | Q5BJY9 Rat | 
| Alternative names: | Cell proliferation inducing gene 46 protein Cell proliferation inducing protein 46 Cell proliferation-inducing gene 46 protein CK 18 CK-18 CK18 CYK 18 CYK18 Cytokeratin 18 Cytokeratin endo B Cytokeratin-18 K 18 K18 K1C18_HUMAN KA18 Keratin 18 Keratin 18, type I Keratin D keratin, type I cytoskeletal 18 Keratin-18 Krt18 | 
|   | Fig1: Western blot analysis of Cytokeratin 18 on mouse liver tissue lysate. Proteins were transferred to a PVDF membrane and blocked with 5% BSA in PBS for 1 hour at room temperature. The primary antibody was used at a 1:500 dilution in 5% BSA at room temperature for 2 hours. Goat Anti-Rabbit IgG - HRP Secondary Antibody (HA1001) at 1:5,000 dilution was used for 1 hour at room temperature. | 
|   | Fig2:
	        				Western blot analysis of Cytokeratin 18 on A431 cell lysates with Rabbit anti-Cytokeratin 18 antibody (0407-1) at 1/500 dilution. Lysates/proteins at 10 µg/Lane. Predicted band size: 48 kDa Observed band size: 48 kDa Exposure time: 30 seconds; 10% SDS-PAGE gel. Proteins were transferred to a PVDF membrane and blocked with 5% NFDM/TBST for 1 hour at room temperature. The primary antibody (0407-1) at 1/500 dilution was used in 5% NFDM/TBST at room temperature for 2 hours. Goat Anti-Rabbit IgG - HRP Secondary Antibody (HA1001) at 1:40,000 dilution was used for 1 hour at room temperature. | 
|   | Fig3: ICC staining Cytokeratin 18 in 293T cells (green). Formalin fixed cells were permeabilized with 0.1% Triton X-100 in TBS for 10 minutes at room temperature and blocked with 1% Blocker BSA for 15 minutes at room temperature. Cells were probed with the antibody (0407-1) at a dilution of 1/100 for 1 hour at room temperature, washed with PBS. Alexa Fluor™ 488 Goat anti-Rabbit IgG was used as the secondary antibody at 1/100 dilution. The nuclear counter stain is DAPI (blue). | 
|   | Fig4: ICC staining Cytokeratin 18 in A549 cells (green). Formalin fixed cells were permeabilized with 0.1% Triton X-100 in TBS for 10 minutes at room temperature and blocked with 1% Blocker BSA for 15 minutes at room temperature. Cells were probed with the antibody (0407-1) at a dilution of 1/100 for 1 hour at room temperature, washed with PBS. Alexa Fluor™ 488 Goat anti-Rabbit IgG was used as the secondary antibody at 1/100 dilution. The nuclear counter stain is DAPI (blue). | 
|   | Fig5: ICC staining Cytokeratin 18 in SW480 cells (green). Formalin fixed cells were permeabilized with 0.1% Triton X-100 in TBS for 10 minutes at room temperature and blocked with 1% Blocker BSA for 15 minutes at room temperature. Cells were probed with the antibody (0407-1) at a dilution of 1/100 for 1 hour at room temperature, washed with PBS. Alexa Fluor™ 488 Goat anti-Rabbit IgG was used as the secondary antibody at 1/100 dilution. The nuclear counter stain is DAPI (blue). | 
|   | Fig6: Immunohistochemical analysis of paraffin-embedded mouse lung tissue using anti-Cytokeratin 18 antibody. The section was pre-treated using heat mediated antigen retrieval with Tris-EDTA buffer (pH 8.0-8.4) for 20 minutes.The tissues were blocked in 5% BSA for 30 minutes at room temperature, washed with ddH2O and PBS, and then probed with the antibody (0407-1) at 1/100 dilution, for 30 minutes at room temperature and detected using an HRP conjugated compact polymer system. DAB was used as the chrogen. Counter stained with hematoxylin and mounted with DPX. | 
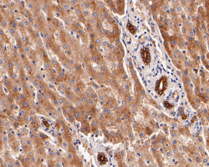
|   | Fig7:
		        				Immunohistochemical analysis of paraffin-embedded human liver tissue with Rabbit anti-Cytokeratin 18 antibody (0407-1) at 1/400 dilution. The section was pre-treated using heat mediated antigen retrieval with Tris-EDTA buffer (pH 9.0) for 20 minutes. The tissues were blocked in 1% BSA for 20 minutes at room temperature, washed with ddH2O and PBS, and then probed with the primary antibody (0407-1) at 1/400 dilution for 1 hour at room temperature. The detection was performed using an HRP conjugated compact polymer system. DAB was used as the chromogen. Tissues were counterstained with hematoxylin and mounted with DPX. | 
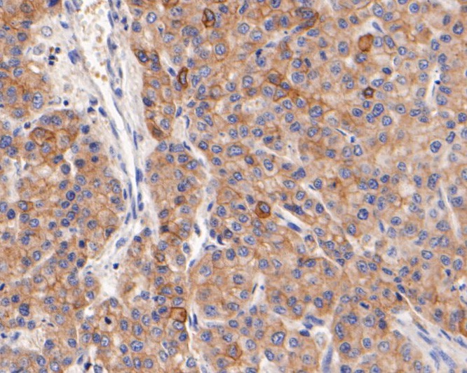
|   | Fig8:
		        				Immunohistochemical analysis of paraffin-embedded human liver carcinoma tissue with Rabbit anti-Cytokeratin 18 antibody (0407-1) at 1/400 dilution. The section was pre-treated using heat mediated antigen retrieval with Tris-EDTA buffer (pH 9.0) for 20 minutes. The tissues were blocked in 1% BSA for 20 minutes at room temperature, washed with ddH2O and PBS, and then probed with the primary antibody (0407-1) at 1/400 dilution for 1 hour at room temperature. The detection was performed using an HRP conjugated compact polymer system. DAB was used as the chromogen. Tissues were counterstained with hematoxylin and mounted with DPX. | 
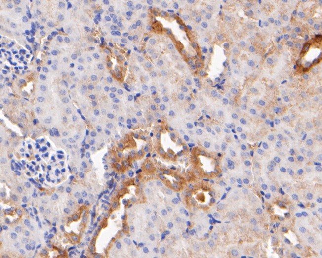
|   | Fig9:
		        				Immunohistochemical analysis of paraffin-embedded mouse kidney tissue with Rabbit anti-Cytokeratin 18 antibody (0407-1) at 1/400 dilution. The section was pre-treated using heat mediated antigen retrieval with Tris-EDTA buffer (pH 9.0) for 20 minutes. The tissues were blocked in 1% BSA for 20 minutes at room temperature, washed with ddH2O and PBS, and then probed with the primary antibody (0407-1) at 1/400 dilution for 1 hour at room temperature. The detection was performed using an HRP conjugated compact polymer system. DAB was used as the chromogen. Tissues were counterstained with hematoxylin and mounted with DPX. |