Cytokeratin 17 Rabbit Polyclonal Antibody
cat.: 0407-4
Product Type: Rabbit polyclonal IgG, primary antibodies
Species reactivity: Human, Mouse, Rat
Applications: WB, IF-Cell, IHC-P, FC
Clonality: Polyclonal
Form: Liquid
Storage condition: Store at +4℃ after thawing. Aliquot store at -20℃. Avoid repeated freeze / thaw cycles.
Storage buffer: 1*PBS (pH7.4), 0.2% BSA, 50% Glycerol. Preservative: 0.05% Sodium Azide.
Concentration: 1ug/ul
Purification: Immunogen affinity purified.
Molecular weight: Predicted band size: 48 kDa
Isotype: IgG
Immunogen: Synthetic peptide within Human Cytokeratin 17 aa 383-432 / 432.
Positive control: Hela cell lysate, A431 cell lysate, A431, Hela, SK-Br-3, human breast carcinoma tissue, mouse prostate tissue.
Subcellular location: Cytoplasm.
Recommended Dilutions:
  WB
  IF-Cell
  IHC-P
  FC

1:2,000
1:50-1:200
1:50-1:200
1:50-1:100
Uniprot #: SwissProt: Q04695 Human | Q9QWL7 Mouse | Q6IFU8 Rat
Alternative names: 39.1 CK 17 CK17 CK-17 Cytokeratin-17 K17 K1C17_HUMAN Keratin 17 keratin 17 epitope S1 keratin 17 epitope S2 keratin 17 epitope S4 Keratin 17, type I Keratin Keratin type I cytoskeletal 17 keratin, type i cytoskeletal 17 [version 1] Keratin-17 KRT17 PC PC2 PCHC1 type I cytoskeletal 17
Images
0407-4_1.jpg Fig1: Western blot analysis of Cytokeratin 17 on different lysates. Proteins were transferred to a PVDF membrane and blocked with 5% BSA in PBS for 1 hour at room temperature. The primary antibody was used at a 1:500 dilution in 5% BSA at room temperature for 2 hours. Goat Anti-Rabbit IgG - HRP Secondary Antibody (HA1001) at 1:5,000 dilution was used for 1 hour at room temperature.

Lane 1: Hela cell lysate
Lane 2: A431 cell lysate

Predicted band size: 48 kDa
Observed band size: 48 kDa
0407-4_2.jpg Fig2: ICC staining Cytokeratin 17 in A431 cells (red). Formalin fixed cells were permeabilized with 0.1% Triton X-100 in TBS for 10 minutes at room temperature and blocked with 1% Blocker BSA for 15 minutes at room temperature. Cells were probed with the antibody (0407-4) at a dilution of 1:100 for 1 hour at room temperature, washed with PBS. Alexa Fluor™594 Goat anti-Rabbit IgG was used as the secondary antibody at 1/100 dilution.
0407-4_3.jpg Fig3: ICC staining Cytokeratin 17 in Hela cells (green). Formalin fixed cells were permeabilized with 0.1% Triton X-100 in TBS for 10 minutes at room temperature and blocked with 1% Blocker BSA for 15 minutes at room temperature. Cells were probed with the antibody (0407-4) at a dilution of 1:100 for 1 hour at room temperature, washed with PBS. Alexa Fluor™ 488 Goat anti-Rabbit IgG was used as the secondary antibody at 1/100 dilution. The nuclear counter stain is DAPI (blue).
0407-4_4.jpg Fig4: ICC staining Cytokeratin 17 in SK-Br-3 cells (green). Formalin fixed cells were permeabilized with 0.1% Triton X-100 in TBS for 10 minutes at room temperature and blocked with 1% Blocker BSA for 15 minutes at room temperature. Cells were probed with the antibody (0407-4) at a dilution of 1:100 for 1 hour at room temperature, washed with PBS. Alexa Fluor™ 488 Goat anti-Rabbit IgG was used as the secondary antibody at 1/100 dilution. The nuclear counter stain is DAPI (blue).
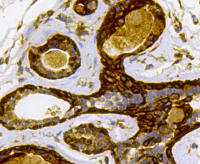
0407-4_5.jpg Fig5: Immunohistochemical analysis of paraffin-embedded human breast carcinoma tissue using anti-Cytokeratin 17 antibody. The section was pre-treated using heat mediated antigen retrieval with Tris-EDTA buffer (pH 8.0-8.4) for 20 minutes.The tissues were blocked in 5% BSA for 30 minutes at room temperature, washed with ddH2O and PBS, and then probed with the antibody (0407-4) at 1/100 dilution, for 30 minutes at room temperature and detected using an HRP conjugated compact polymer system. DAB was used as the chrogen. Counter stained with hematoxylin and mounted with DPX.
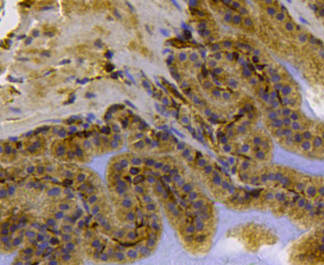
0407-4_6.jpg Fig6: Immunohistochemical analysis of paraffin-embedded mouse prostate tissue using anti-Cytokeratin 17 antibody. The section was pre-treated using heat mediated antigen retrieval with Tris-EDTA buffer (pH 8.0-8.4) for 20 minutes.The tissues were blocked in 5% BSA for 30 minutes at room temperature, washed with ddH2O and PBS, and then probed with the antibody (0407-4) at 1/100 dilution, for 30 minutes at room temperature and detected using an HRP conjugated compact polymer system. DAB was used as the chrogen. Counter stained with hematoxylin and mounted with DPX.
0407-4_7.jpg Fig7: Flow cytometric analysis of Cytokeratin 17 was done on Hela cells. The cells were fixed, permeabilized and stained with Cytokeratin 17 antibody at 1/100 dilution (blue) compared with an unlabelled control (cells without incubation with primary antibody; red). After incubation of the primary antibody on room temperature for an hour, the cells was stained with a Alexa Fluor™ 488-conjugated goat anti-rabbit IgG Secondary antibody at 1/500 dilution for 30 minutes.
Note: All products are “FOR RESEARCH USE ONLY AND ARE NOT INTENDED FOR DIAGNOSTIC OR THERAPEUTIC USE”.