 
	            	| Product Type: | Rabbit polyclonal IgG, primary antibodies | 
|---|---|
| Species reactivity: | Human, Mouse | 
| Applications: | WB, IF-Cell, IHC-P, FC | 
| Clonality: | Polyclonal | 
| Form: | Liquid | 
| Storage condition: | Store at +4℃ after thawing. Aliquot store at -20℃ or -80℃. Avoid repeated freeze / thaw cycles. | 
| Storage buffer: | 1*PBS (pH7.4), 0.2% BSA, 40% Glycerol. Preservative: 0.05% Sodium Azide. | 
| Concentration: | 1ug/ul | 
| Purification: | Immunogen affinity purified. | 
| Molecular weight: | Predicted band size: 258kDa | 
| Isotype: | IgG | 
| Immunogen: | Synthetic peptide within Human DOPEY2 aa 1025-1074 / 2,298. | 
| Positive control: | Mouse heart, human heart, Siha, N2A, Mouse brain, | 
| Subcellular location: | Early endosome membrane, Golgi apparatus membrane. | 
| Recommended Dilutions: WB IHC-P IF-Cell FC | 1:500-1:1,000 1:50-1:200 1:50-1:500 1:50-1:100 | 
| Uniprot #: | SwissProt: Q9Y3R5 Human | Q3UHQ6 Mouse | 
| Alternative names: | Dipeptidase 2 Dipeptidase2 DPEP 2 MBD 2 MBD2 | 
|   | Fig1: Western blot analysis of Dopey-2 on mouse heart (1) and human heart (2) tissue lysate using anti-Dopey-2 antibody at 1/500 dilution. | 
|   | Fig2: ICC staining Dopey-2 in Siha cells (green). The nuclear counter stain is DAPI (blue). Cells were fixed in paraformaldehyde, permeabilised with 0.25% Triton X100/PBS. | 
|   | Fig3: ICC staining Dopey-2 in N2A cells (green). The nuclear counter stain is DAPI (blue). Cells were fixed in paraformaldehyde, permeabilised with 0.25% Triton X100/PBS. | 
|   | Fig4: Immunohistochemical analysis of formalin-fixed, paraffin-embedded mouse heart tissue labeling Dopey-2. Counterstained with Hematoxylin. | 
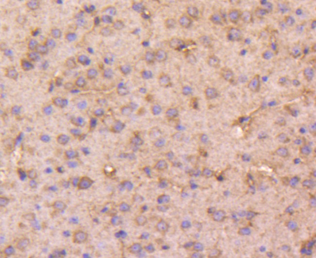
|   | Fig5: Immunohistochemical analysis of formalin-fixed, paraffin-embedded mouse brain tissue labeling Dopey-2. Counterstained with Hematoxylin. | 
|   | Fig6: Flow cytometric analysis of N2A cells with Dopey-2 antibody at 1/100 dilution (red) compared with an unlabelled control (cells without incubation with primary antibody; black).Alexa Fluor 488-conjugated goat anti-rabbit IgG was used as the secondary antibody. |