 
	            	| Product Type: | Mouse monoclonal IgG1, primary antibodies | 
|---|---|
| Species reactivity: | Human, Mouse, Rat | 
| Applications: | WB, IF-Cell, IHC-P, FC, IF-Tissue, ChIP | 
| Clonality: | Monoclonal | 
| Clone number: | A6-F8 | 
| Form: | Liquid | 
| Storage condition: | Shipped at 4℃. Store at +4℃ short term (1-2 weeks). It is recommended to aliquot into single-use upon delivery. Store at -20℃ long term. | 
| Storage buffer: | 1*PBS (pH7.4), 0.2% BSA, 40% Glycerol. Preservative: 0.05% Sodium Azide. | 
| Concentration: | 2ug/ul | 
| Purification: | Protein A affinity purified. | 
| Molecular weight: | Predicted band size: 85 kDa | 
| Isotype: | IgG1 | 
| Immunogen: | Synthetic peptide (KLH-coupled) within human Beta-catenin aa 320-400. | 
| Positive control: | 293T cell lysate, A431 cell lysate, NCCIT cell lysate, SW480 cell lysate, HT-29 cell lysate, HCT 116 cell lysate, NIH/3T3 cell lysate, C6 cell lysate, HT-29, human breast cancer tissue, human colon cancer tissue, human kidney tissue, mouse colon tissue, mouse kidney tissue, rat colon tissue, rat kidney tissue. | 
| Subcellular location: | Cytoplasm, Nucleus, Cell junction, Cell membrane, Cytoskeleton, Synapse. | 
| Recommended Dilutions: WB IF-Cell IHC-P FC IF-Tissue ChIP | 1:1,000 1:100-1:200 1:5,000-1:50,000 1:1,000 1:500-1:5,000 Use 0.5~2 μg for 25 μg of chromatin. | 
| Uniprot #: | SwissProt: P35222 Human | Q02248 Mouse | Q9WU82 Rat | 
| Alternative names: | β Catenin Beta catenin Beta-catenin Cadherin associated protein Catenin (cadherin associated protein), beta 1, 88kDa Catenin beta 1 Catenin beta-1 CATNB CHBCAT CTNB1_HUMAN CTNNB CTNNB1 DKFZp686D02253 FLJ25606 FLJ37923 OTTHUMP00000162082 OTTHUMP00000165222 OTTHUMP00000165223 OTTHUMP00000209288 OTTHUMP00000209289 | 
|   | Fig1:
	        				Western blot analysis of Beta Catenin on different lysates with Mouse anti-Beta Catenin antibody (EM0306) at 1/1,000 dilution. Lane 1: SW480 cell lysate (20 µg/Lane) Lane 2: HT-29 cell lysate (20 µg/Lane) Lane 3: NIH/3T3 cell lysate (20 µg/Lane) Lane 4: C6 cell lysate (20 µg/Lane) Lane 5: Human brain tissue lysate (40 µg/Lane) Lane 6: Mouse brain tissue lysate (40 µg/Lane) Lane 7: Rat brain tissue lysate (40 µg/Lane) Predicted band size: 85 kDa Observed band size: 85 kDa Exposure time: 20 seconds; ECL: K1801; 4-20% SDS-PAGE gel. Proteins were transferred to a PVDF membrane and blocked with 5% NFDM/TBST for 1 hour at room temperature. The primary antibody (EM0306) at 1/1,000 dilution was used in 5% NFDM/TBST at 4℃ overnight. Goat Anti-Mouse IgG - HRP Secondary Antibody (HA1006) at 1/50,000 dilution was used for 1 hour at room temperature. | 
|   | Fig2:
	        				Immunocytochemistry analysis of HT-29 cells labeling Beta Catenin with Mouse anti-Beta Catenin antibody (EM0306) at 1/100 dilution. Cells were fixed in 4% paraformaldehyde for 20 minutes at room temperature, permeabilized with 0.1% Triton X-100 in PBS for 5 minutes at room temperature, then blocked with 1% BSA in 10% negative goat serum for 1 hour at room temperature. Cells were then incubated with Mouse anti-Beta Catenin antibody (EM0306) at 1/100 dilution in 1% BSA in PBST overnight at 4 ℃. Goat Anti-Mouse IgG H&L (iFluor™ 488, HA1125) was used as the secondary antibody at 1/1,000 dilution. PBS instead of the primary antibody was used as the secondary antibody only control. Nuclear DNA was labelled in blue with DAPI. beta Tubulin (ET1602-4, red) was stained at 1/100 dilution overnight at +4℃. Goat Anti-Rabbit IgG H&L (iFluor™ 594, HA1122) was used as the secondary antibody at 1/1,000 dilution. | 
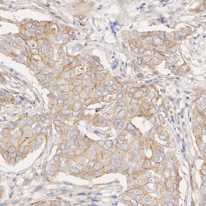
|   | Fig3:
		        				Immunohistochemical analysis of paraffin-embedded human breast cancer tissue with Mouse anti-Beta Catenin antibody (EM0306) at 1/5,000 dilution. The section was pre-treated using heat mediated antigen retrieval with Tris-EDTA buffer (pH 9.0) for 20 minutes. The tissues were blocked in 1% BSA for 20 minutes at room temperature, washed with ddH2O and PBS, and then probed with the primary antibody (EM0306) at 1/5,000 dilution for 1 hour at room temperature. The detection was performed using an HRP conjugated compact polymer system. DAB was used as the chromogen. Tissues were counterstained with hematoxylin and mounted with DPX. | 
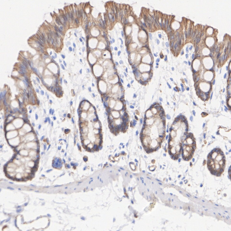
|   | Fig4:
		        				Immunohistochemical analysis of paraffin-embedded human colon cancer tissue with Mouse anti-Beta Catenin antibody (EM0306) at 1/5,000 dilution. The section was pre-treated using heat mediated antigen retrieval with Tris-EDTA buffer (pH 9.0) for 20 minutes. The tissues were blocked in 1% BSA for 20 minutes at room temperature, washed with ddH2O and PBS, and then probed with the primary antibody (EM0306) at 1/5,000 dilution for 1 hour at room temperature. The detection was performed using an HRP conjugated compact polymer system. DAB was used as the chromogen. Tissues were counterstained with hematoxylin and mounted with DPX. | 
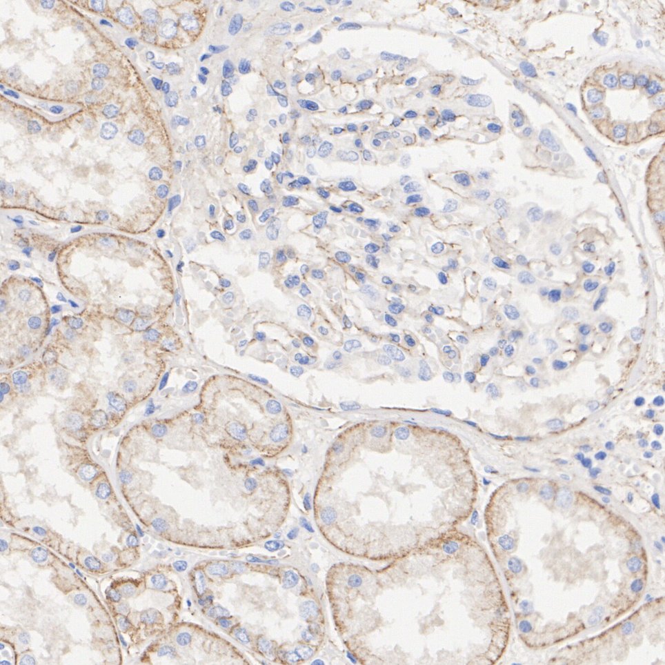
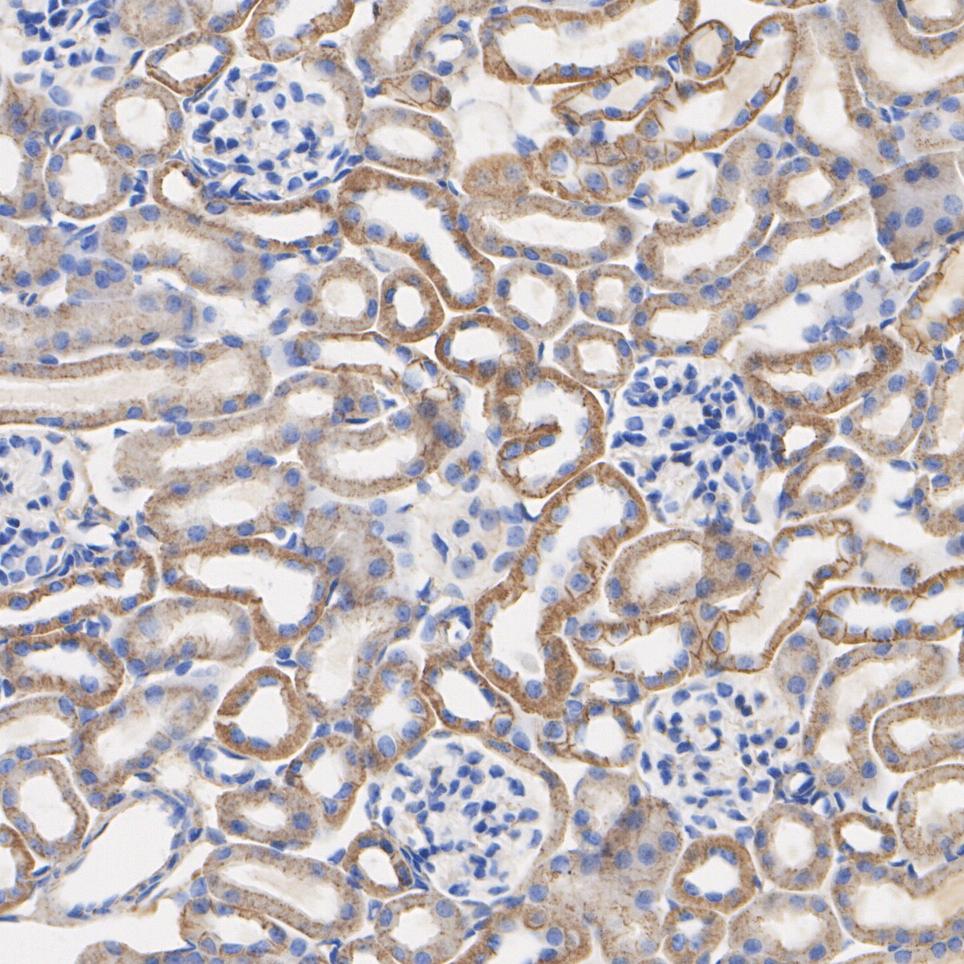
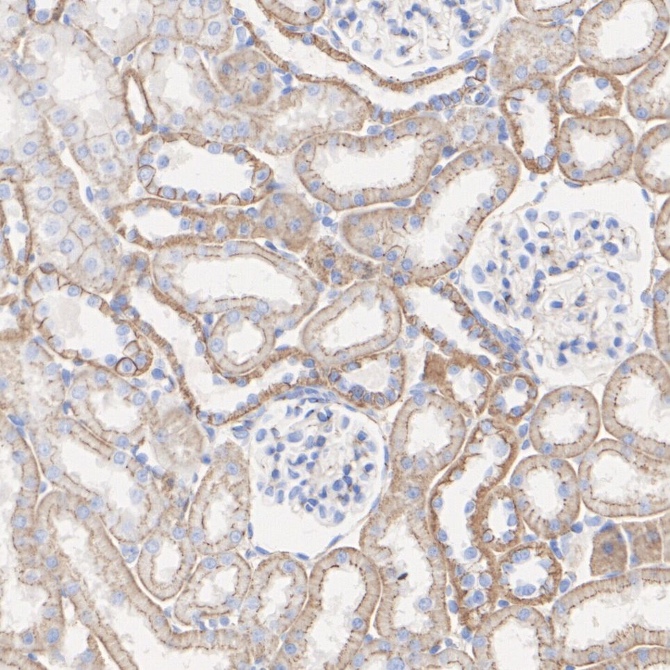
|   | Fig5:
		        				Immunohistochemical analysis of paraffin-embedded human kidney tissue with Mouse anti-Beta Catenin antibody (EM0306) at 1/50,000 dilution. The section was pre-treated using heat mediated antigen retrieval with Tris-EDTA buffer (pH 9.0) for 20 minutes. The tissues were blocked in 1% BSA for 20 minutes at room temperature, washed with ddH2O and PBS, and then probed with the primary antibody (EM0306) at 1/50,000 dilution for 1 hour at room temperature. The detection was performed using an HRP conjugated compact polymer system. DAB was used as the chromogen. Tissues were counterstained with hematoxylin and mounted with DPX. | 
|   | Fig6:
		        				Immunohistochemical analysis of paraffin-embedded mouse colon tissue with Mouse anti-Beta Catenin antibody (EM0306) at 1/50,000 dilution. The section was pre-treated using heat mediated antigen retrieval with Tris-EDTA buffer (pH 9.0) for 20 minutes. The tissues were blocked in 1% BSA for 20 minutes at room temperature, washed with ddH2O and PBS, and then probed with the primary antibody (EM0306) at 1/50,000 dilution for 1 hour at room temperature. The detection was performed using an HRP conjugated compact polymer system. DAB was used as the chromogen. Tissues were counterstained with hematoxylin and mounted with DPX. | 
|   | Fig7:
		        				Immunohistochemical analysis of paraffin-embedded mouse kidney tissue with Mouse anti-Beta Catenin antibody (EM0306) at 1/50,000 dilution. The section was pre-treated using heat mediated antigen retrieval with Tris-EDTA buffer (pH 9.0) for 20 minutes. The tissues were blocked in 1% BSA for 20 minutes at room temperature, washed with ddH2O and PBS, and then probed with the primary antibody (EM0306) at 1/50,000 dilution for 1 hour at room temperature. The detection was performed using an HRP conjugated compact polymer system. DAB was used as the chromogen. Tissues were counterstained with hematoxylin and mounted with DPX. | 
|   | Fig8:
		        				Immunohistochemical analysis of paraffin-embedded rat colon tissue with Mouse anti-Beta Catenin antibody (EM0306) at 1/50,000 dilution. The section was pre-treated using heat mediated antigen retrieval with Tris-EDTA buffer (pH 9.0) for 20 minutes. The tissues were blocked in 1% BSA for 20 minutes at room temperature, washed with ddH2O and PBS, and then probed with the primary antibody (EM0306) at 1/50,000 dilution for 1 hour at room temperature. The detection was performed using an HRP conjugated compact polymer system. DAB was used as the chromogen. Tissues were counterstained with hematoxylin and mounted with DPX. | 
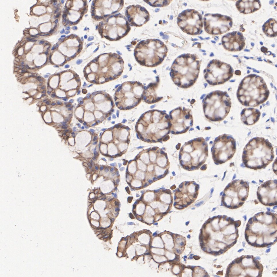
|   | Fig9:
		        				Immunohistochemical analysis of paraffin-embedded rat kidney tissue with Mouse anti-Beta Catenin antibody (EM0306) at 1/50,000 dilution. The section was pre-treated using heat mediated antigen retrieval with Tris-EDTA buffer (pH 9.0) for 20 minutes. The tissues were blocked in 1% BSA for 20 minutes at room temperature, washed with ddH2O and PBS, and then probed with the primary antibody (EM0306) at 1/50,000 dilution for 1 hour at room temperature. The detection was performed using an HRP conjugated compact polymer system. DAB was used as the chromogen. Tissues were counterstained with hematoxylin and mounted with DPX. | 
|   | Fig10:
		        				Flow cytometric analysis of HT-29 cells labeling Beta Catenin. Cells were fixed and permeabilized. Then stained with the primary antibody (EM0306, 1/1,000) (red) compared with Mouse IgG1 Isotype Control (green). After incubation of the primary antibody at +4℃ for an hour, the cells were stained with a iFluor™ 488 conjugate-Goat anti-Mouse IgG Secondary antibody (HA1125) at 1/1,000 dilution for 30 minutes at +4℃. Unlabelled sample was used as a control (cells without incubation with primary antibody; black). | 
|   | Fig11: Chromatin immunoprecipitations were performed with cross-linked chromatin from HCT 116 cells with Beta Catenin (EM0306) or Normal Rabbit IgG according to the ChIP protocol. The enriched DNA was quantified by real-time PCR using indicated primers. The amount of immunoprecipitated DNA in each sample is represented as signal relative to the total amount of input chromatin, which is equivalent to one. |