E-Cadherin Mouse Monoclonal Antibody [A0-G11-2]
cat.: EM0502
Product Type: Mouse monoclonal IgG1, primary antibodies
Species reactivity: Human, Mouse, Rat
Applications: WB, IHC-P, IF-Tissue
Clonality: Monoclonal
Clone number: A0-G11-2
Form: Liquid
Storage condition: Shipped at 4℃. Store at +4℃ short term (1-2 weeks). It is recommended to aliquot into single-use upon delivery. Store at -20℃ long term.
Storage buffer: 1*PBS (pH7.4), 0.2% BSA, 40% Glycerol. Preservative: 0.05% Sodium Azide.
Concentration: 2ug/ul
Purification: Protein A affinity purified.
Molecular weight: Predicted band size: 97 kDa
Isotype: IgG1
Immunogen: Recombinant protein within mouse E-Cadherin aa 350-550.
Positive control: SW480 cell lysate, A431 cell lysate, human liver tissue, mouse liver tissue, mouse colon tissue, rat colon tissue.
Subcellular location: Cell membrane.
Recommended Dilutions:
  WB
  IHC-P
  IF-Tissue

1:1,000
1:500-1:1,000
1:500
Uniprot #: SwissProt: P12830 Human | P09803 Mouse | Q9R0T4 Rat
Alternative names: Arc 1 CADH1_HUMAN Cadherin 1 cadherin 1 type 1 E-cadherin Cadherin1 CAM 120/80 CD 324 CD324 CD324 antigen cdh1 CDHE E-Cad/CTF3 E-cadherin ECAD Epithelial cadherin epithelial calcium dependant adhesion protein LCAM Liver cell adhesion molecule UVO Uvomorulin
Images
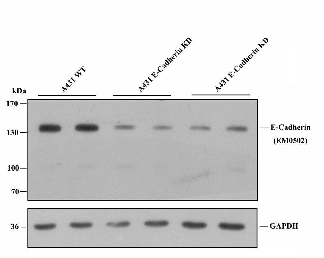
EM0502_1.jpg Fig1: Western blot analysis of E-Cadherin with anti-E-Cadherin antibody [A0-G11-2] (EM0502) at 1:1,000 dilution.
Lane 1/2: Wild-type A431 whole cell lysate (20 µg).
Lane 3/4: E-Cadherin fragment 1 knockdown A431 whole cell lysate (20 µg).
Lane 5/6: E-Cadherin fragment 2 knockdown A431 whole cell lysate (20 µg).

Proteins were transferred to a PVDF membrane and blocked with 5% NFDM in TBST for 1 hour at room temperature. The primary antibody (EM0502, 1/1,000) and Loading control antibody (Rabbit anti-GAPDH , ET1601-4, 1/10,000) were used in 5% BSA at room temperature for 2 hours. Goat Anti-Mouse IgG-HRP Secondary Antibody (HA1006) at 1/20,000 dilution was used for 1 hour at room temperature.
EM0502_2.jpg Fig2: Western blot analysis of E-Cadherin on different lysates with Mouse anti-E-Cadherin antibody (EM0502) at 1/500 dilution.

Lane 1: SW480 cell lysate
Lane 2: A431 cell lysate

Lysates/proteins at 10 µg/Lane.

Predicted band size: 98 kDa
Observed band size: 130 kDa

Exposure time: 2 minutes;
6% SDS-PAGE gel.

Proteins were transferred to a PVDF membrane and blocked with 5% NFDM/TBST for 1 hour at room temperature. The primary antibody (EM0502) at 1/500 dilution was used in 5% NFDM/TBST at room temperature for 2 hours. Goat Anti-Mouse IgG - HRP Secondary Antibody (HA1006) at 1:100,000 dilution was used for 1 hour at room temperature.
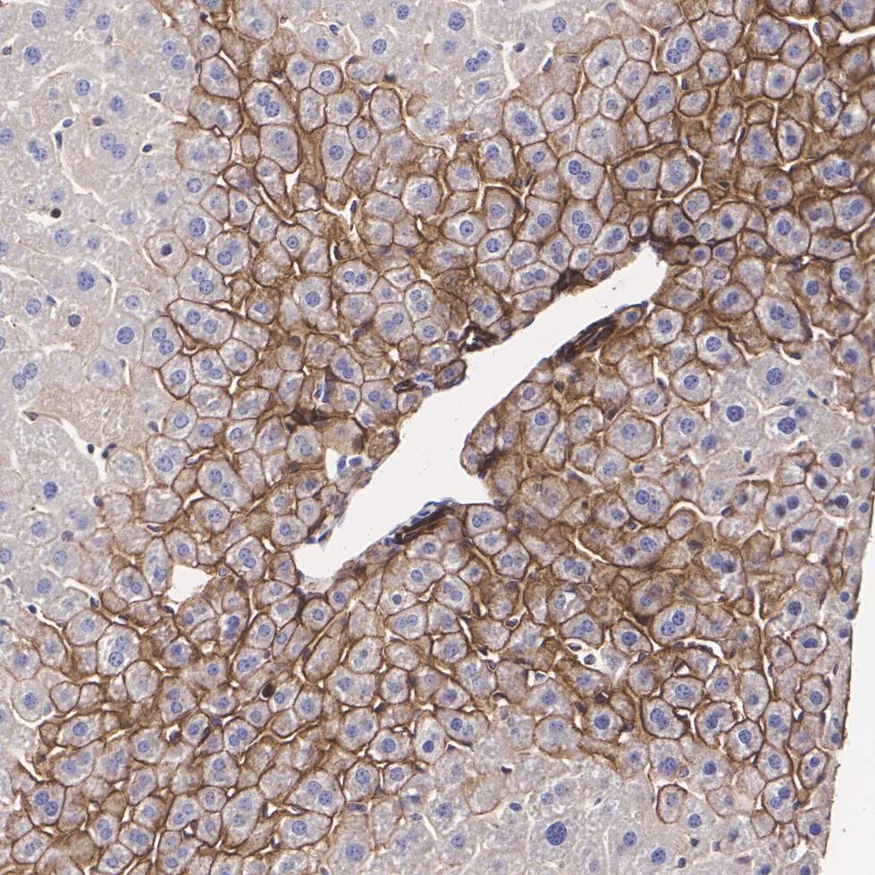
EM0502_3.jpg Fig3: Immunohistochemical analysis of paraffin-embedded human liver tissue with Mouse anti-E-Cadherin antibody (EM0502) at 1/1,000 dilution.

The section was pre-treated using heat mediated antigen retrieval with Tris-EDTA buffer (pH 9.0) for 20 minutes. The tissues were blocked in 1% BSA for 20 minutes at room temperature, washed with ddH2O and PBS, and then probed with the primary antibody (EM0502) at 1/1,000 dilution for 1 hour at room temperature. The detection was performed using an HRP conjugated compact polymer system. DAB was used as the chromogen. Tissues were counterstained with hematoxylin and mounted with DPX.
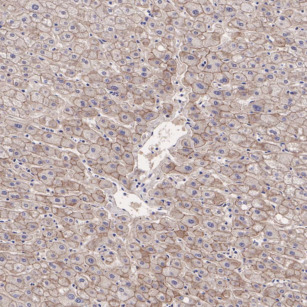
EM0502_4.jpg Fig4: Immunohistochemical analysis of paraffin-embedded mouse liver tissue with Mouse anti-E-Cadherin antibody (EM0502) at 1/1,000 dilution.

The section was pre-treated using heat mediated antigen retrieval with Tris-EDTA buffer (pH 9.0) for 20 minutes. The tissues were blocked in 1% BSA for 20 minutes at room temperature, washed with ddH2O and PBS, and then probed with the primary antibody (EM0502) at 1/1,000 dilution for 1 hour at room temperature. The detection was performed using an HRP conjugated compact polymer system. DAB was used as the chromogen. Tissues were counterstained with hematoxylin and mounted with DPX.
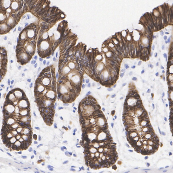
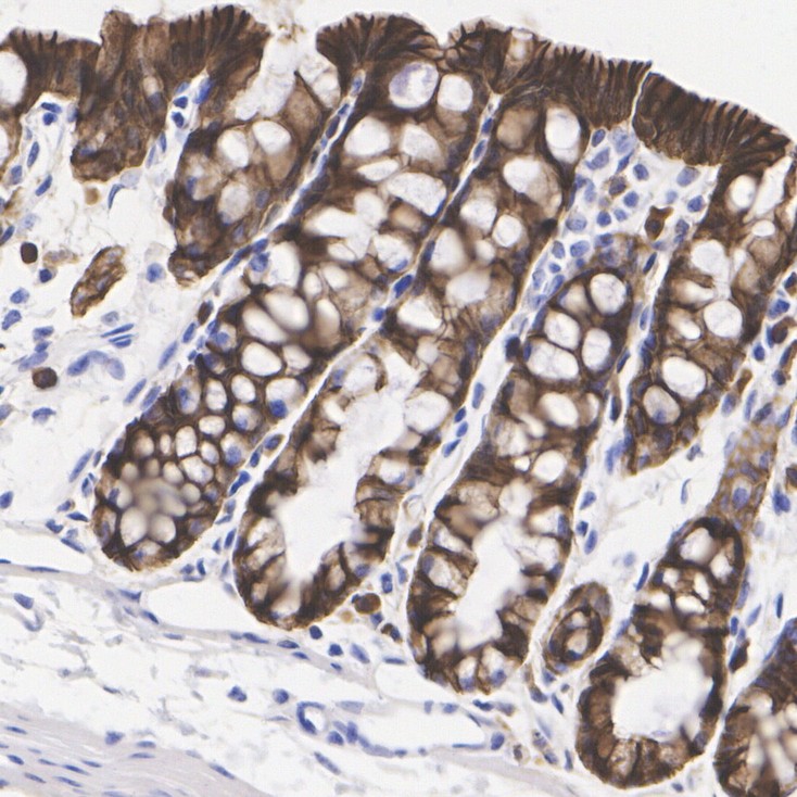
EM0502_5.jpg Fig5: Immunohistochemical analysis of paraffin-embedded mouse colon tissue with Mouse anti-E-Cadherin antibody (EM0502) at 1/1,000 dilution.

The section was pre-treated using heat mediated antigen retrieval with Tris-EDTA buffer (pH 9.0) for 20 minutes. The tissues were blocked in 1% BSA for 20 minutes at room temperature, washed with ddH2O and PBS, and then probed with the primary antibody (EM0502) at 1/1,000 dilution for 1 hour at room temperature. The detection was performed using an HRP conjugated compact polymer system. DAB was used as the chromogen. Tissues were counterstained with hematoxylin and mounted with DPX.
EM0502_6.jpg Fig6: Immunohistochemical analysis of paraffin-embedded rat colon tissue with Mouse anti-E-Cadherin antibody (EM0502) at 1/1,000 dilution.

The section was pre-treated using heat mediated antigen retrieval with Tris-EDTA buffer (pH 9.0) for 20 minutes. The tissues were blocked in 1% BSA for 20 minutes at room temperature, washed with ddH2O and PBS, and then probed with the primary antibody (EM0502) at 1/1,000 dilution for 1 hour at room temperature. The detection was performed using an HRP conjugated compact polymer system. DAB was used as the chromogen. Tissues were counterstained with hematoxylin and mounted with DPX.
EM0502_7.jpg Fig7: Application: IF-Tissue

Species: Mouse

Site: colon

Sample: Paraffin-embedded section

Antibody concentration: 1/500
Note: All products are “FOR RESEARCH USE ONLY AND ARE NOT INTENDED FOR DIAGNOSTIC OR THERAPEUTIC USE”.