Cytokeratin 7 Mouse Monoclonal Antibody [3-G3-D8]
cat.: EM0702
Product Type: Mouse monoclonal IgG1, primary antibodies
Species reactivity: Human
Applications: WB, IHC-P, IF-Cell, IF-Tissue
Clonality: Monoclonal
Clone number: 3-G3-D8
Form: Liquid
Storage condition: Shipped at 4℃. Store at +4℃ short term (1-2 weeks). It is recommended to aliquot into single-use upon delivery. Store at -20℃ long term.
Storage buffer: 1*PBS (pH7.4), 0.2% BSA, 40% Glycerol. Preservative: 0.05% Sodium Azide.
Concentration: 2ug/ul
Purification: Protein A affinity purified.
Molecular weight: Predicted band size: 51 kDa
Isotype: IgG1
Immunogen: Synthetic peptide within C-terminal human Cytokeratin 7.
Positive control: MCF-7 cell lysate, A549 cell lysate, Hela cell lysate, HepG2 cell lysate, SK-Br-3 cell lysate, SKOV-3 cell lysate, SW1990 cell lysate, human lung bronchus tissue, human breast tissue, human lung tissue, human breast carcinoma tissue, human lung carcinoma tissue.
Subcellular location: Cytoplasm.
Recommended Dilutions:
  WB
  IHC-P
  IF-Cell
  IF-Tissue

1:1,000
1:200-1:800
1:100
1:1,000
Uniprot #: SwissProt: P08729 Human
Alternative names: CK 7 CK-7 CK7 Cytokeratin 7 Cytokeratin-7 D15Wsu77e K2C7 K2C7_HUMAN K7 Keratin 7 Keratin 7, type II Keratin type II cytoskeletal 7 Keratin, 55K type II cytoskeletal Keratin, simple epithelial Keratin, simple epithelial type I, K7 Keratin, type II cytoskeletal 7 Keratin-7 Krt2-7 KRT7 MGC11625 MGC129731 MGC3625 Sarcolectin SCL Type II mesothelial keratin K7 Type-II keratin Kb7 Cytokeratin7
Images
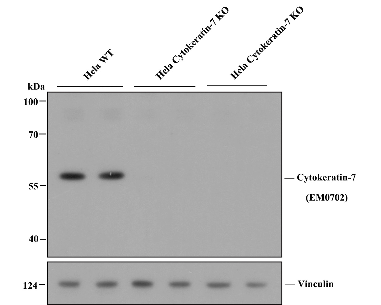
EM0702_1.jpg Fig1: All lanes: Western blot analysis of Cytokeratin-7 with anti-Cytokeratin-7 antibody [3-G3-D8] (EM0702) at 1:1,000 dilution.

Lane 1/2: Wild-type Hela whole cell lysate.
Lane 3/4: Cytokeratin-7 fragment 1 knockout Hela whole cell lysate.
Lane 5/6: Cytokeratin-7 fragment 2 knockout Hela whole cell lysate.

EM0702 was shown to specifically react with Cytokeratin-7 in wild-type Hela cells. No band was observed when Cytokeratin-7 knockout samples were tested. Wild-type and Cytokeratin-7 knockout samples were subjected to SDS-PAGE. Proteins were transferred to a PVDF membrane and blocked with 5% NFDM in TBST for 1 hour at room temperature. The primary antibody (EM0702, 1/1,000) and Loading control antibody(Rabbit anti-Vinculin, ET1705-94, 1/5,000) was used in 5% BSA at room temperature for 2 hours. Goat Anti-Mouse IgG-HRP Secondary Antibody (HA1006) at 1:20,000 dilution was used for 1 hour at room temperature.
EM0702_2.jpg Fig2: Western blot analysis of Cytokeratin 7 on different lysates with Mouse anti-Cytokeratin 7 antibody (EM0702) at 1/2,000 dilution.

Lane 1: A549 cell lysate
Lane 2: HeLa cell lysate
Lane 3: HepG2 cell lysate
Lane 4: SK-Br-3 cell lysate
Lane 5: SK-OV-3 cell lysate
Lane 6: SW1990 cell lysate

Lysates/proteins at 20 µg/Lane.

Predicted band size: 51 kDa
Observed band size: 51 kDa

Exposure time: 24 seconds;

4-20% SDS-PAGE gel.

Proteins were transferred to a PVDF membrane and blocked with 5% NFDM/TBST for 1 hour at room temperature. The primary antibody (EM0702) at 1/2,000 dilution was used in 5% NFDM/TBST at room temperature for 2 hours. Goat Anti-Mouse IgG - HRP Secondary Antibody (HA1006) at 1/50,000 dilution was used for 1 hour at room temperature.
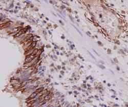
EM0702_3.jpg Fig3: Immunohistochemical analysis of paraffin-embedded human lung bronchus tissue using anti-Cytokeratin 7 antibody. The section was pre-treated using heat mediated antigen retrieval with Tris-EDTA buffer (pH 8.0-8.4) for 20 minutes.The tissues were blocked in 5% BSA for 30 minutes at room temperature, washed with ddH2O and PBS, and then probed with the primary antibody (EM0702, 1/200) for 30 minutes at room temperature. The detection was performed using an HRP conjugated compact polymer system. DAB was used as the chromogen. Tissues were counterstained with hematoxylin and mounted with DPX.
EM0702_4.jpg Fig4: Immunohistochemical analysis of paraffin-embedded human breast tissue with Mouse anti-Cytokeratin 7 antibody (EM0702) at 1/800 dilution.

The section was pre-treated using heat mediated antigen retrieval with Tris-EDTA buffer (pH 9.0) for 20 minutes. The tissues were blocked in 1% BSA for 20 minutes at room temperature, washed with ddH2O and PBS, and then probed with the primary antibody (EM0702) at 1/800 dilution for 1 hour at room temperature. The detection was performed using an HRP conjugated compact polymer system. DAB was used as the chromogen. Tissues were counterstained with hematoxylin and mounted with DPX.
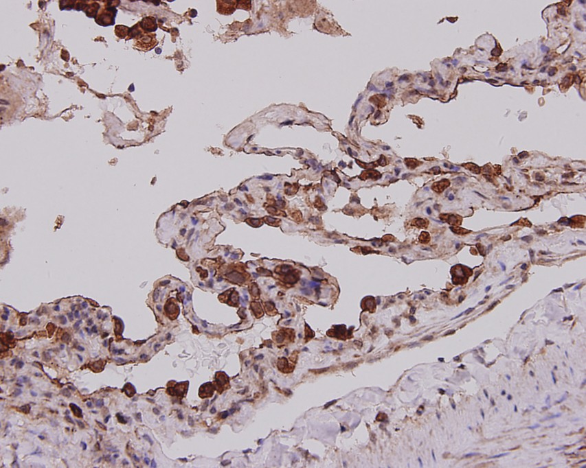
EM0702_5.jpg Fig5: Immunohistochemical analysis of paraffin-embedded human lung tissue using anti-Cytokeratin 7 antibody. The section was pre-treated using heat mediated antigen retrieval with Tris-EDTA buffer (pH 8.0-8.4) for 20 minutes.The tissues were blocked in 5% BSA for 30 minutes at room temperature, washed with ddH2O and PBS, and then probed with the primary antibody (EM0702, 1/200) for 30 minutes at room temperature. The detection was performed using an HRP conjugated compact polymer system. DAB was used as the chromogen. Tissues were counterstained with hematoxylin and mounted with DPX.
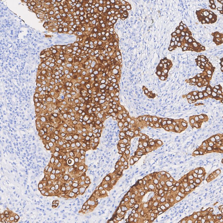
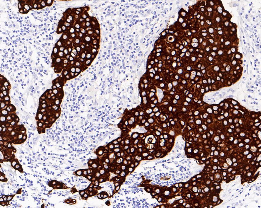
EM0702_6.jpg Fig6: Immunohistochemical analysis of paraffin-embedded human breast carcinoma tissue with Mouse anti-Cytokeratin 7 antibody (EM0702) at 1/200 dilution.

The section was pre-treated using heat mediated antigen retrieval with Tris-EDTA buffer (pH 9.0) for 20 minutes. The tissues were blocked in 1% BSA for 20 minutes at room temperature, washed with ddH2O and PBS, and then probed with the primary antibody (EM0702) at 1/200 dilution for 1 hour at room temperature. The detection was performed using an HRP conjugated compact polymer system. DAB was used as the chromogen. Tissues were counterstained with hematoxylin and mounted with DPX.
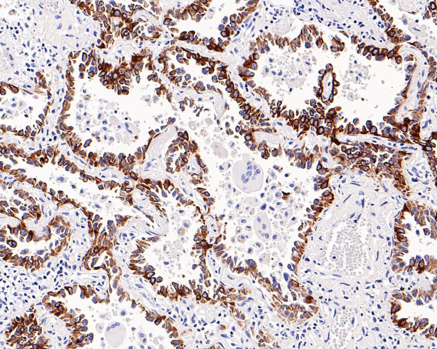
EM0702_7.jpg Fig7: Immunohistochemical analysis of paraffin-embedded human lung carcinoma tissue with Mouse anti-Cytokeratin 7 antibody (EM0702) at 1/200 dilution.

The section was pre-treated using heat mediated antigen retrieval with Tris-EDTA buffer (pH 9.0) for 20 minutes. The tissues were blocked in 1% BSA for 20 minutes at room temperature, washed with ddH2O and PBS, and then probed with the primary antibody (EM0702) at 1/200 dilution for 1 hour at room temperature. The detection was performed using an HRP conjugated compact polymer system. DAB was used as the chromogen. Tissues were counterstained with hematoxylin and mounted with DPX.
EM0702_8.jpg Fig8: Immunohistochemical analysis of paraffin-embedded human breast tissue with Mouse anti-Cytokeratin 7 antibody (EM0702) at 1/1,000 dilution.

The section was pre-treated using heat mediated antigen retrieval with Tris-EDTA buffer (pH 9.0) for 20 minutes. The tissues were blocked in 1% BSA for 20 minutes at room temperature, washed with ddH2O and PBS, and then probed with the primary antibody (EM0702) at 1/1,000 dilution for 1 hour at room temperature. The detection was performed using an HRP conjugated compact polymer system. DAB was used as the chromogen. Tissues were counterstained with hematoxylin and mounted with DPX.
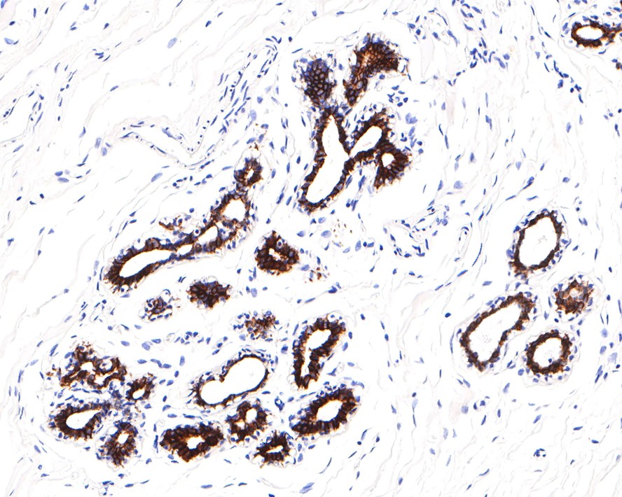
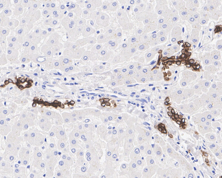
EM0702_9.jpg Fig9: Immunohistochemical analysis of paraffin-embedded human liver tissue with Mouse anti-Cytokeratin 7 antibody (EM0702) at 1/1,000 dilution.

The section was pre-treated using heat mediated antigen retrieval with Tris-EDTA buffer (pH 9.0) for 20 minutes. The tissues were blocked in 1% BSA for 20 minutes at room temperature, washed with ddH2O and PBS, and then probed with the primary antibody (EM0702) at 1/1,000 dilution for 1 hour at room temperature. The detection was performed using an HRP conjugated compact polymer system. DAB was used as the chromogen. Tissues were counterstained with hematoxylin and mounted with DPX.
EM0702_10.jpg Fig10: Immunocytochemistry analysis of A549 cells labeling Cytokeratin 7 with Mouse anti-Cytokeratin 7 antibody (EM0702) at 1/100 dilution.

Cells were fixed in 4% paraformaldehyde for 20 minutes at room temperature, permeabilized with 0.1% Triton X-100 in PBS for 5 minutes at room temperature, then blocked with 1% BSA in 10% negative goat serum for 1 hour at room temperature. Cells were then incubated with Mouse anti-Cytokeratin 7 antibody (EM0702) at 1/100 dilution in 1% BSA in PBST overnight at 4 ℃. Goat Anti-Mouse IgG H&L (iFluor™ 488, HA1125) was used as the secondary antibody at 1/1,000 dilution. PBS instead of the primary antibody was used as the secondary antibody only control. Nuclear DNA was labelled in blue with DAPI.

beta Tubulin (ET1602-4, red) was stained at 1/100 dilution overnight at +4℃. Goat Anti-Rabbit IgG H&L (iFluor™ 594, HA1122) were used as the secondary antibody at 1/1,000 dilution.
EM0702_11.jpg Fig11: Application: IF-Tissue

Species: Human

Site: lung carcinoma

Sample: Paraffin-embedded section

Antibody concentration: 1/1,000
EM0702_12.jpg Fig12: Application: Immunohistochemistry (IHC-P)

Species: Human
Tissue: Breast cancer
Sample: Paraffin-embedded section

Primary antibody dilution: 1/500
Antigen retrieval: ER2
Platform: Leica Biosystems BOND® RX
Note: All products are “FOR RESEARCH USE ONLY AND ARE NOT INTENDED FOR DIAGNOSTIC OR THERAPEUTIC USE”.