GAPDH Mouse Monoclonal Antibody [5-E10]
cat.: EM1101
Product Type: Mouse monoclonal IgM, primary antibodies
Species reactivity: Human, Mouse, Rat, Zebrafish, Rabbit
Applications: WB, IF-Cell, IHC-P
Clonality: Monoclonal
Clone number: 5-E10
Form: Liquid
Storage condition: Store at +4℃ after thawing. Aliquot store at -20℃ or -80℃. Avoid repeated freeze / thaw cycles.
Storage buffer: 1*PBS (pH7.4), 0.2% BSA, 40% Glycerol. Preservative: 0.05% Sodium Azide.
Concentration: 2ug/ul
Purification: Protein L affinity purified.
Molecular weight: Predicted band size: 36 kDa
Isotype: IgM
Immunogen: Synthetic peptide within human GAPDH aa 10-50.
Positive control: MDA-MB-231 cell lysate, HeLa cell lysate, MCF7 cell lysate, SK-Br-3 cell lysate, JAR cell lysate, NIH/3T3 cell lysate, C2C12 cell lysate, PC-12 cell lysate, Mouse kidney tissue lysate, Rat liver tissue lysate, HeLa, F9, zebrafish cell/tissue lysates, human liver tissue, mouse liver tissue, human spleen tissue, rat liver tissue, rat spleen tissue.
Subcellular location: Cytoplasm
Recommended Dilutions:
  WB
  IF-Cell
  IHC-P

1:10,000-1:50,000
1:200-1:500
1:200-1:1,000
Uniprot #: SwissProt: P04406 Human | P16858 Mouse | P04797 Rat
Alternative names: 38 kDa BFA-dependent ADP-ribosylation substrate aging associated gene 9 protein Aging-associated gene 9 protein BARS-38 cb609 EC 1.2.1.12 Epididymis secretory sperm binding protein Li 162eP G3P_HUMAN G3PD G3PDH GAPD GAPDH Glyceraldehyde 3 phosphate dehydrogenase Glyceraldehyde-3-phosphate dehydrogenase HEL-S-162eP KNC-NDS6 MGC102544 MGC102546 MGC103190 MGC103191 MGC105239 MGC127711 MGC88685 OCAS, p38 component OCT1 coactivator in S phase, 38-KD component peptidyl cysteine S nitrosylase GAPDH Peptidyl-cysteine S-nitrosylase GAPDH wu:fb33a10
Images
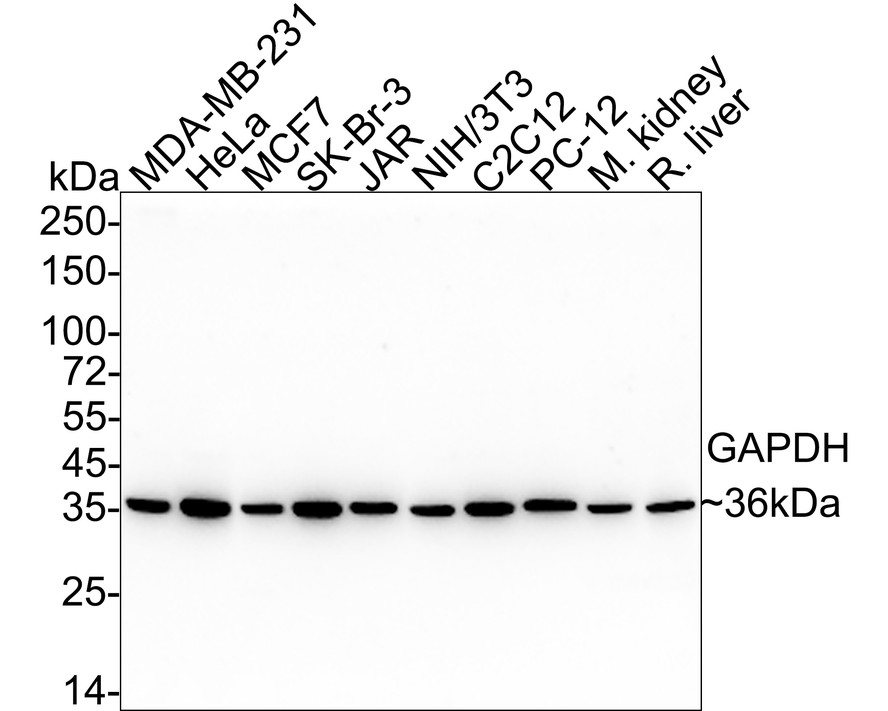
EM1101_1.jpg Fig1: Western blot analysis of GAPDH on different lysates with Mouse anti-GAPDH antibody (EM1101) at 1/10,000 dilution.

Lane 1: MDA-MB-231 cell lysate (20 µg/Lane)
Lane 2: HeLa cell lysate (20 µg/Lane)
Lane 3: MCF7 cell lysate (20 µg/Lane)
Lane 4: SK-Br-3 cell lysate (20 µg/Lane)
Lane 5: JAR cell lysate (20 µg/Lane)
Lane 6: NIH/3T3 cell lysate (20 µg/Lane)
Lane 7: C2C12 cell lysate (20 µg/Lane)
Lane 8: PC-12 cell lysate (20 µg/Lane)
Lane 9: Mouse kidney tissue lysate (40 µg/Lane)
Lane 10: Rat liver tissue lysate (40 µg/Lane)

Predicted band size: 36 kDa
Observed band size: 36 kDa

Exposure time: 1 minute 30 seconds;

4-20% SDS-PAGE gel.

Proteins were transferred to a PVDF membrane and blocked with 5% NFDM/TBST for 1 hour at room temperature. The primary antibody (EM1101) at 1/10,000 dilution was used in 5% NFDM/TBST at room temperature for 2 hours. Goat Anti-Mouse IgG - HRP Secondary Antibody (HA1006) at 1/50,000 dilution was used for 1 hour at room temperature.
EM1101_2.jpg Fig2: Immunocytochemistry analysis of HeLa cells labeling GAPDH with Mouse anti-GAPDH antibody (EM1101) at 1/100 dilution.

Cells were fixed in 4% paraformaldehyde for 20 minutes at room temperature, permeabilized with 0.1% Triton X-100 in PBS for 5 minutes at room temperature, then blocked with 1% BSA in 10% negative goat serum for 1 hour at room temperature. Cells were then incubated with Mouse anti-GAPDH antibody (EM1101) at 1/100 dilution in 1% BSA in PBST overnight at 4 ℃. Goat Anti-Mouse IgG H&L (iFluor™ 488, HA1125) was used as the secondary antibody at 1/1,000 dilution. PBS instead of the primary antibody was used as the secondary antibody only control. Nuclear DNA was labelled in blue with DAPI.

beta Tubulin (ET1602-4, red) was stained at 1/100 dilution overnight at +4℃. Goat Anti-Rabbit IgG H&L (iFluor™ 594, HA1122) were used as the secondary antibody at 1/1,000 dilution.
EM1101_3.jpg Fig3: Immunocytochemistry analysis of F9 cells labeling GAPDH with Mouse anti-GAPDH antibody (EM1101) at 1/100 dilution.

Cells were fixed in 4% paraformaldehyde for 20 minutes at room temperature, permeabilized with 0.1% Triton X-100 in PBS for 5 minutes at room temperature, then blocked with 1% BSA in 10% negative goat serum for 1 hour at room temperature. Cells were then incubated with Mouse anti-GAPDH antibody (EM1101) at 1/100 dilution in 1% BSA in PBST overnight at 4 ℃. Goat Anti-Mouse IgG H&L (iFluor™ 488, HA1125) was used as the secondary antibody at 1/1,000 dilution. PBS instead of the primary antibody was used as the secondary antibody only control. Nuclear DNA was labelled in blue with DAPI.

beta Tubulin (ET1602-4, red) was stained at 1/100 dilution overnight at +4℃. Goat Anti-Rabbit IgG H&L (iFluor™ 594, HA1122) were used as the secondary antibody at 1/1,000 dilution.
EM1101_4.jpg Fig4: Western blot analysis of GAPDH on zebrafish cell/tissue lysates with Mouse anti-GAPDH antibody (EM1101) at 1/10,000 dilution.

Lysates/proteins at 20 µg/Lane.

Predicted band size: 36 kDa
Observed band size: 36 kDa

Exposure time: 14 seconds; ECL: K1801;
4-20% SDS-PAGE gel.

Proteins were transferred to a PVDF membrane and blocked with 5% NFDM/TBST for 1 hour at room temperature. The primary antibody (EM1101) at 1/10,000 dilution was used in 5% NFDM/TBST at 4℃ overnight. Goat Anti-Mouse IgG - HRP Secondary Antibody (HA1006) at 1/50,000 dilution was used for 1 hour at room temperature.
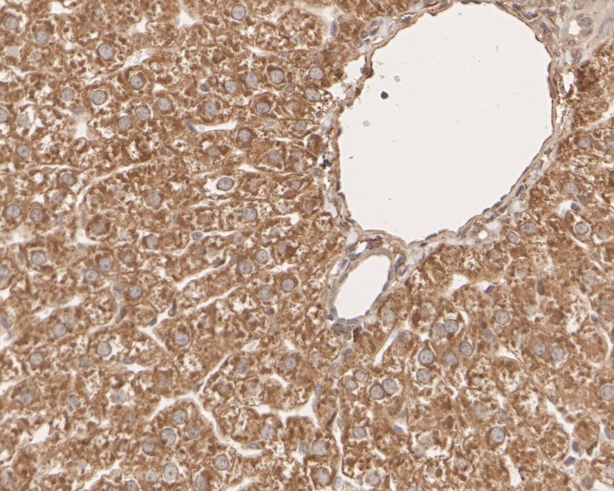
EM1101_5.jpg Fig5: Immunohistochemical analysis of paraffin-embedded human liver tissue with Mouse anti-GAPDH antibody (EM1101) at 1/200 dilution.

The section was pre-treated using heat mediated antigen retrieval with Tris-EDTA buffer (pH 9.0) for 20 minutes. The tissues were blocked in 1% BSA for 20 minutes at room temperature, washed with ddH2O and PBS, and then probed with the primary antibody (EM1101) at 1/1,000 dilution for 1 hour at room temperature. The detection was performed using an HRP conjugated compact polymer system. DAB was used as the chromogen. Tissues were counterstained with hematoxylin and mounted with DPX.
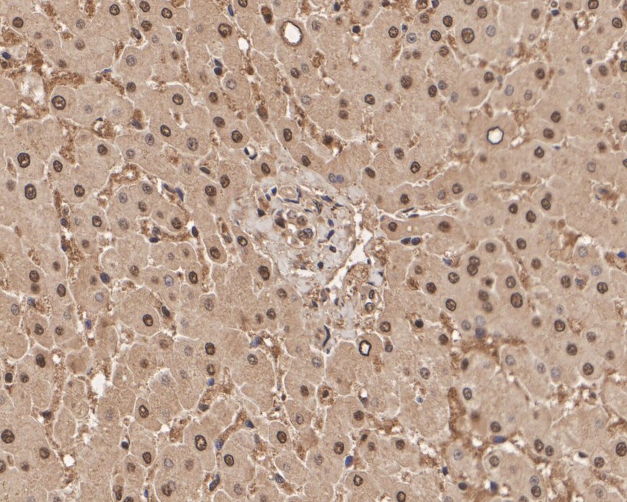
EM1101_6.jpg Fig6: Immunohistochemical analysis of paraffin-embedded mouse liver tissue with Mouse anti-GAPDH antibody (EM1101) at 1/200 dilution.

The section was pre-treated using heat mediated antigen retrieval with Tris-EDTA buffer (pH 9.0) for 20 minutes. The tissues were blocked in 1% BSA for 20 minutes at room temperature, washed with ddH2O and PBS, and then probed with the primary antibody (EM1101) at 1/1,000 dilution for 1 hour at room temperature. The detection was performed using an HRP conjugated compact polymer system. DAB was used as the chromogen. Tissues were counterstained with hematoxylin and mounted with DPX.
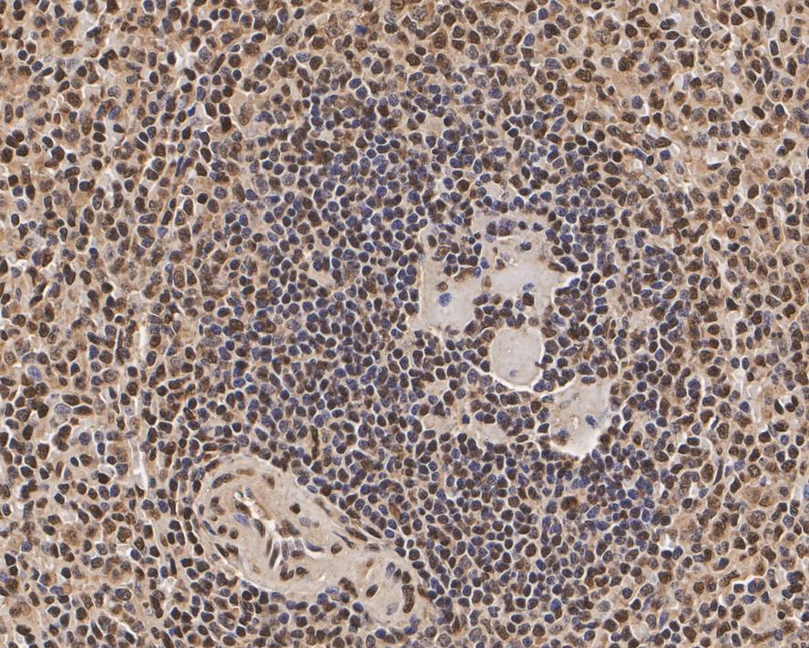
EM1101_7.jpg Fig7: Immunohistochemical analysis of paraffin-embedded human spleen tissue with Mouse anti-GAPDH antibody (EM1101) at 1/200 dilution.

The section was pre-treated using heat mediated antigen retrieval with Tris-EDTA buffer (pH 9.0) for 20 minutes. The tissues were blocked in 1% BSA for 20 minutes at room temperature, washed with ddH2O and PBS, and then probed with the primary antibody (EM1101) at 1/1,000 dilution for 1 hour at room temperature. The detection was performed using an HRP conjugated compact polymer system. DAB was used as the chromogen. Tissues were counterstained with hematoxylin and mounted with DPX.
EM1101_8.jpg Fig8: Immunohistochemical analysis of paraffin-embedded rat liver tissue with Mouse anti-GAPDH antibody (EM1101) at 1/200 dilution.

The section was pre-treated using heat mediated antigen retrieval with Tris-EDTA buffer (pH 9.0) for 20 minutes. The tissues were blocked in 1% BSA for 20 minutes at room temperature, washed with ddH2O and PBS, and then probed with the primary antibody (EM1101) at 1/1,000 dilution for 1 hour at room temperature. The detection was performed using an HRP conjugated compact polymer system. DAB was used as the chromogen. Tissues were counterstained with hematoxylin and mounted with DPX.
EM1101_9.jpg Fig9: Immunohistochemical analysis of paraffin-embedded rat spleen tissue with Mouse anti-GAPDH antibody (EM1101) at 1/200 dilution.

The section was pre-treated using heat mediated antigen retrieval with Tris-EDTA buffer (pH 9.0) for 20 minutes. The tissues were blocked in 1% BSA for 20 minutes at room temperature, washed with ddH2O and PBS, and then probed with the primary antibody (EM1101) at 1/1,000 dilution for 1 hour at room temperature. The detection was performed using an HRP conjugated compact polymer system. DAB was used as the chromogen. Tissues were counterstained with hematoxylin and mounted with DPX.
Note: All products are “FOR RESEARCH USE ONLY AND ARE NOT INTENDED FOR DIAGNOSTIC OR THERAPEUTIC USE”.