CD133 Mouse Monoclonal Antibody [D2-B1]
cat.: EM1701-28
Product Type: Mouse monoclonal IgG1, primary antibodies
Species reactivity: Human, Mouse
Applications: IHC-P, IF-Cell
Clonality: Monoclonal
Clone number: D2-B1
Form: Liquid
Storage condition: Store at +4℃ after thawing. Aliquot store at -20℃ or -80℃. Avoid repeated freeze / thaw cycles.
Storage buffer: 1*PBS (pH7.4), 0.2% BSA, 50% Glycerol. Preservative: 0.05% Sodium Azide.
Concentration: 2ug/ul
Purification: Immunogen affinity purified.
Molecular weight: Predicted band size 97 kDa
Isotype: IgG1
Immunogen: Synthetic peptide within human CD133 aa 800-865 (Cytoplasmic).
Positive control: LOVO, N2A, human colon cancer tissue, human uterus tissue, mouse kidney tissue.
Subcellular location: Endoplasmic reticulum. Plasma membrane. Cell projection.
Recommended Dilutions:
  IF-Cell
  IHC-P

1:100-1:500
1:50-1:200
Uniprot #: SwissProt: O43490 Human | O54990 Mouse
Alternative names: AC133 Antigen AC133 CD133 CORD12 Hematopoietic stem cell antigen hProminin MCDR2 MSTP061 OTTHUMP00000217744 OTTHUMP00000217745 OTTHUMP00000217746 PROM1 PROM1_HUMAN Prominin I Prominin like 1 Prominin like protein 1 precursor Prominin mouse like 1 Prominin-1 Prominin-like protein 1 Prominin1 PROML1 RP41 STGD4
Images
EM1701-28_1.jpg Fig1: ICC staining CD133 (green) in LOVO cells. The nuclear counter stain is DAPI (blue). Cells were fixed in paraformaldehyde, permeabilised with 0.25% Triton X100/PBS.
EM1701-28_2.jpg Fig2: ICC staining CD133 (green) in N2A cells. The nuclear counter stain is DAPI (blue). Cells were fixed in paraformaldehyde, permeabilised with 0.25% Triton X100/PBS.
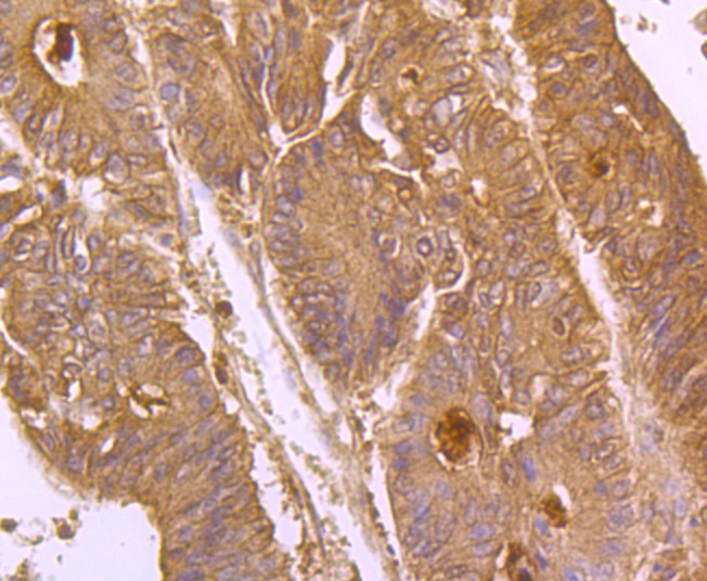
EM1701-28_3.jpg Fig3: Immunohistochemical analysis of paraffin-embedded human colon cancer tissue using anti-CD133 antibody. Counter stained with hematoxylin.
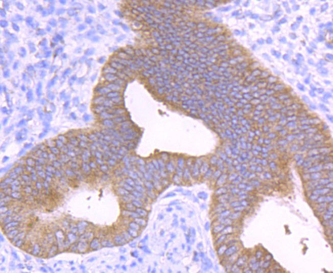
EM1701-28_4.jpg Fig4: Immunohistochemical analysis of paraffin-embedded human uterus tissue using anti-CD133 antibody. Counter stained with hematoxylin.
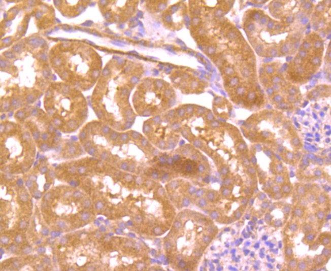
EM1701-28_5.jpg Fig5: Immunohistochemical analysis of paraffin-embedded mouse kidney tissue using anti-CD133 antibody. Counter stained with hematoxylin.
Note: All products are “FOR RESEARCH USE ONLY AND ARE NOT INTENDED FOR DIAGNOSTIC OR THERAPEUTIC USE”.