AFP Mouse Monoclonal Antibody [A5-G3]
cat.: EM1701-31
Product Type: Mouse monoclonal IgG1, primary antibodies
Species reactivity: Human
Applications: WB, IHC-P
Clonality: Monoclonal
Clone number: A5-G3
Form: Liquid
Storage condition: Shipped at 4℃. Store at +4℃ short term (1-2 weeks). It is recommended to aliquot into single-use upon delivery. Store at -20℃ long term.
Storage buffer: 1*PBS (pH7.4), 0.2% BSA, 50% Glycerol. Preservative: 0.05% Sodium Azide.
Concentration: 2ug/ul
Purification: Protein A affinity purified.
Molecular weight: Predicted band size: 69 kDa
Isotype: IgG1
Immunogen: Recombinant protein within Human AFP aa 1-200 / 609.
Positive control: Human placenta tissue lysates, A549 cell lysate, Hela cell lysate, HepG2 cell lysate, human liver cancer tissue, human lung cancer tissue, human liver tissue.
Subcellular location: Secreted.
Recommended Dilutions:
  WB
  IHC-P

1:500-1:2,000
1:50-1:200
Uniprot #: SwissProt: P02771 Human
Alternative names: Afp AFPD Alpha fetoglobulin Alpha fetoprotein Alpha fetoprotein precursor Alpha-1-fetoprotein Alpha-fetoglobulin Alpha-fetoprotein alpha-fetoprotein, Hereditary persistence of, included FETA FETA_HUMAN Hereditary persistence of alpha fetoprotein HPAFP
Images
EM1701-31_1.jpg Fig1: Western blot analysis of AFP on human placenta tissue lysate using anti-AFP antibody at 1/1,000 dilution.
EM1701-31_2.jpg Fig2: Western blot analysis of AFP on different lysates with Mouse anti-AFP antibody (EM1701-31) at 1/1,000 dilution.

Lane 1: A549-WT cell lysate (10 µg/Lane)
Lane 2: A549-KD AFP cell lysate (10 µg/Lane)

Predicted band size: 69 kDa
Observed band size: 80 kDa

Exposure time: 30 seconds; ECL: K1801;
4-20% SDS-PAGE gel.

Proteins were transferred to a PVDF membrane and blocked with 5% NFDM/TBST for 1 hour at room temperature. The primary antibody (EM1701-31) at 1/1,000 dilution was used in 5% NFDM/TBST at 4℃ overnight. Goat Anti-Mouse IgG - HRP Secondary Antibody (HA1006) at 1/50,000 dilution was used for 1 hour at room temperature.
EM1701-31_3.jpg Fig3: Western blot analysis of AFP on different lysates with Mouse anti-AFP antibody (EM1701-31) at 1/500 dilution.

Lane 1: Hela cell lysate
Lane 2: HepG2 cell lysate

Lysates/proteins at 10 µg/Lane.

Predicted band size: 69 kDa
Observed band size: 80 kDa

Exposure time: 2 minutes;
10% SDS-PAGE gel.

Proteins were transferred to a PVDF membrane and blocked with 5% NFDM/TBST for 1 hour at room temperature. The primary antibody (EM1701-31) at 1/500 dilution was used in 5% NFDM/TBST at room temperature for 2 hours. Goat Anti-Mouse IgG - HRP Secondary Antibody (HA1006) at 1/100,000 dilution was used for 1 hour at room temperature.
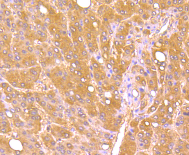
EM1701-31_4.jpg Fig4: Immunohistochemical analysis of paraffin-embedded human liver cancer tissue using anti-AFP antibody. Counter stained with hematoxylin.
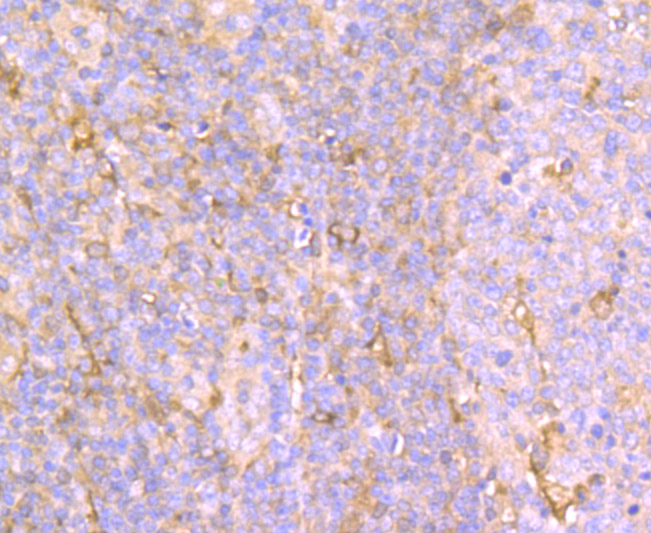
EM1701-31_5.jpg Fig5: Immunohistochemical analysis of paraffin-embedded human lung cancer tissue using anti-AFP antibody. Counter stained with hematoxylin.
EM1701-31_6.jpg Fig6: Immunohistochemical analysis of paraffin-embedded human liver tissue using anti-AFP antibody. Counter stained with hematoxylin.
Note: All products are “FOR RESEARCH USE ONLY AND ARE NOT INTENDED FOR DIAGNOSTIC OR THERAPEUTIC USE”.