Smad2 Mouse Monoclonal Antibody [C9-B0]
cat.: EM1701-44
Product Type: Mouse monoclonal IgG1, primary antibodies
Species reactivity: Human, Mouse, Rat
Applications: WB, IHC-P, IF-Cell
Clonality: Monoclonal
Clone number: C9-B0
Form: Liquid
Storage condition: Store at +4℃ after thawing. Aliquot store at -20℃ or -80℃. Avoid repeated freeze / thaw cycles.
Storage buffer: 1*PBS (pH7.4), 0.2% BSA, 50% Glycerol. Preservative: 0.05% Sodium Azide.
Concentration: 2ug/ul
Purification: Protein G affinity purified.
Molecular weight: 58 kDa
Isotype: IgG1
Immunogen: Recombinant protein within Human Smad2 aa 151-450 / 467.
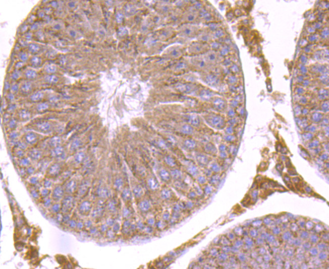
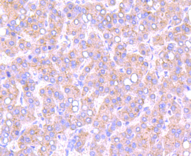
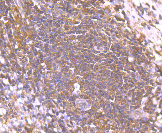
Positive control: Hela, A549, HUVEC, rat testis tissue, human tonsil tissue, human liver cancer tissue, mouse brain tissue.
Subcellular location: Cytoplasm. Nucleus.
Recommended Dilutions:
  WB
  IF-Cell
  IHC-P

1:500
1:50-1:200
1:50-1:200
Uniprot #: SwissProt: Q15796 Human | Q62432 Mouse | O70436 Rat
Alternative names: Drosophila, homolog of, MADR2 hMAD-2 HsMAD2 JV18 JV18-1 JV181 MAD MAD homolog 2 MAD Related Protein 2 Mad-related protein 2 MADH2 MADR2 MGC22139 MGC34440 Mother against DPP homolog 2 Mothers against decapentaplegic homolog 2 Mothers against decapentaplegic, Drosophila, homolog of, 2 Mothers against DPP homolog 2 OTTHUMP00000163489 Sma and Mad related protein 2 Sma- and Mad-related protein 2 MAD SMAD 2 SMAD family member 2 SMAD, mothers against DPP homolog 2 SMAD2 SMAD2_HUMAN
Images
EM1701-44_1.jpg Fig1: Western blot analysis of Smad2 on Hela cell lysate using anti-Smad2 antibody at 1/500 dilution.
EM1701-44_2.jpg Fig2: ICC staining Smad2 (green) in HUVEC cells. The nuclear counter stain is DAPI (blue). Cells were fixed in paraformaldehyde, permeabilised with 0.25% Triton X100/PBS.
EM1701-44_3.jpg Fig3: ICC staining Smad2 (green) in A549 cells. The nuclear counter stain is DAPI (blue). Cells were fixed in paraformaldehyde, permeabilised with 0.25% Triton X100/PBS.
EM1701-44_4.jpg Fig4: ICC staining Smad2 (green) in Hela cells. The nuclear counter stain is DAPI (blue). Cells were fixed in paraformaldehyde, permeabilised with 0.25% Triton X100/PBS.
EM1701-44_5.jpg Fig5: Immunohistochemical analysis of paraffin-embedded mouse brain tissue using anti-Smad2 antibody. Counter stained with hematoxylin.
EM1701-44_6.jpg Fig6: Immunohistochemical analysis of paraffin-embedded human tonsil tissue using anti-Smad2 antibody. Counter stained with hematoxylin.
EM1701-44_7.jpg Fig7: Immunohistochemical analysis of paraffin-embedded human liver cancer tissue using anti-Smad2 antibody. Counter stained with hematoxylin.
Note: All products are “FOR RESEARCH USE ONLY AND ARE NOT INTENDED FOR DIAGNOSTIC OR THERAPEUTIC USE”.