HNP-1 Mouse Monoclonal Antibody [2D2]
cat.: EM1701-52
Product Type: Mouse monoclonal IgG1, primary antibodies
Species reactivity: Human, Mouse, Rat
Applications: WB, IHC-P
Clonality: Monoclonal
Clone number: 2D2
Form: Liquid
Storage condition: Shipped at 4℃. Store at +4℃ short term (1-2 weeks). It is recommended to aliquot into single-use upon delivery. Store at -20℃ long term.
Storage buffer: 1*PBS (pH7.4), 0.2% BSA, 50% Glycerol. Preservative: 0.05% Sodium Azide.
Concentration: 2ug/ul
Purification: Protein G affinity purified.
Molecular weight: Predicted band size: 10 kDa
Isotype: IgG1
Immunogen: Synthetic peptide within Human HNP-1 aa 1-50 / 94.
Positive control: Rat spleen tissue lysates, human bone marrow tissue, mouse bone marrow tissue, mouse spleen tissue, rat bone marrow tissue, rat spleen tissue.
Subcellular location: Secreted.
Recommended Dilutions:
  WB
  IHC-P

1:500-1:2,000
1:2,000-1:5,000
Uniprot #: SwissProt: P59665 Human | P11477 Mouse
Alternative names: alpha 1 DEF1 DEF1_HUMAN DEFA1 DEFA1B DEFA2 Defensin 1 Defensin Defensin, alpha 1 Defensin, alpha 1, myeloid related sequence Defensin, alpha 2 HNP-1 HNP-2 HNP1 HP-1 HP-2 HP1 HP2 MRS Myeloid related sequence Neutrophil defensin 1 Neutrophil defensin 2
Images
EM1701-52_1.jpg Fig1: Immunohistochemical analysis of paraffin-embedded human bone marrow tissue with Mouse anti-HNP-1 antibody (EM1701-52) at 1/2,000 dilution.

The section was pre-treated using heat mediated antigen retrieval with Tris-EDTA buffer (pH 9.0) for 20 minutes. The tissues were blocked in 1% BSA for 20 minutes at room temperature, washed with ddH2O and PBS, and then probed with the primary antibody (EM1701-52) at 1/2,000 dilution for 1 hour at room temperature. The detection was performed using an HRP conjugated compact polymer system. DAB was used as the chromogen. Tissues were counterstained with hematoxylin and mounted with DPX.
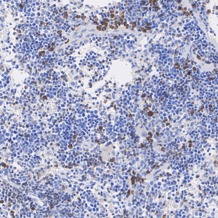
EM1701-52_2.jpg Fig2: Immunohistochemical analysis of paraffin-embedded mouse bone marrow tissue with Mouse anti-HNP-1 antibody (EM1701-52) at 1/2,000 dilution.

The section was pre-treated using heat mediated antigen retrieval with Tris-EDTA buffer (pH 9.0) for 20 minutes. The tissues were blocked in 1% BSA for 20 minutes at room temperature, washed with ddH2O and PBS, and then probed with the primary antibody (EM1701-52) at 1/2,000 dilution for 1 hour at room temperature. The detection was performed using an HRP conjugated compact polymer system. DAB was used as the chromogen. Tissues were counterstained with hematoxylin and mounted with DPX.
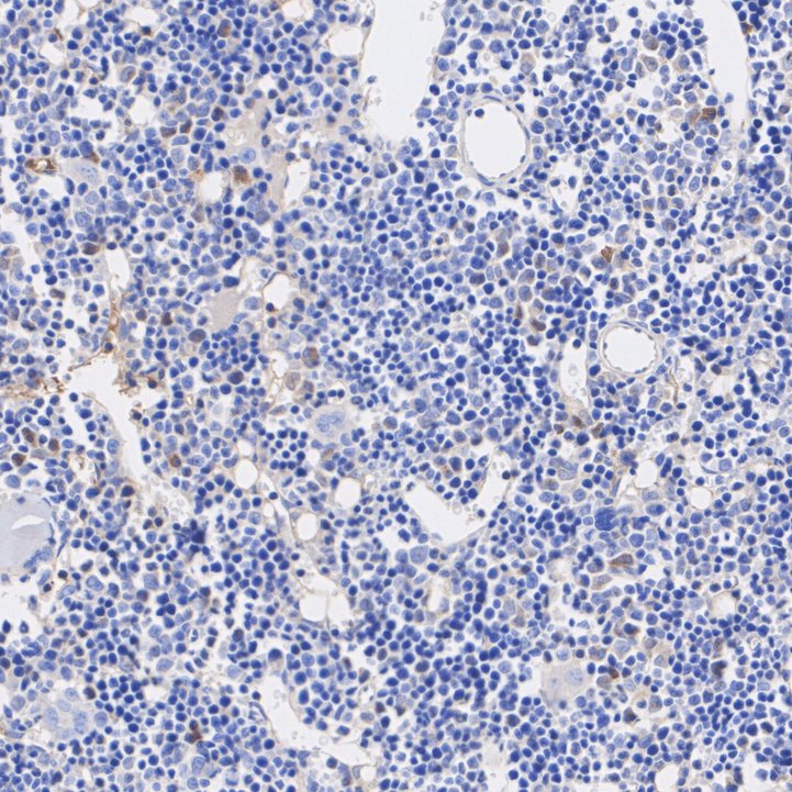
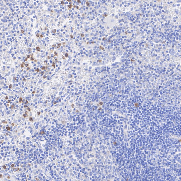
EM1701-52_3.jpg Fig3: Immunohistochemical analysis of paraffin-embedded mouse spleen tissue with Mouse anti-HNP-1 antibody (EM1701-52) at 1/5,000 dilution.

The section was pre-treated using heat mediated antigen retrieval with Tris-EDTA buffer (pH 9.0) for 20 minutes. The tissues were blocked in 1% BSA for 20 minutes at room temperature, washed with ddH2O and PBS, and then probed with the primary antibody (EM1701-52) at 1/5,000 dilution for 1 hour at room temperature. The detection was performed using an HRP conjugated compact polymer system. DAB was used as the chromogen. Tissues were counterstained with hematoxylin and mounted with DPX.
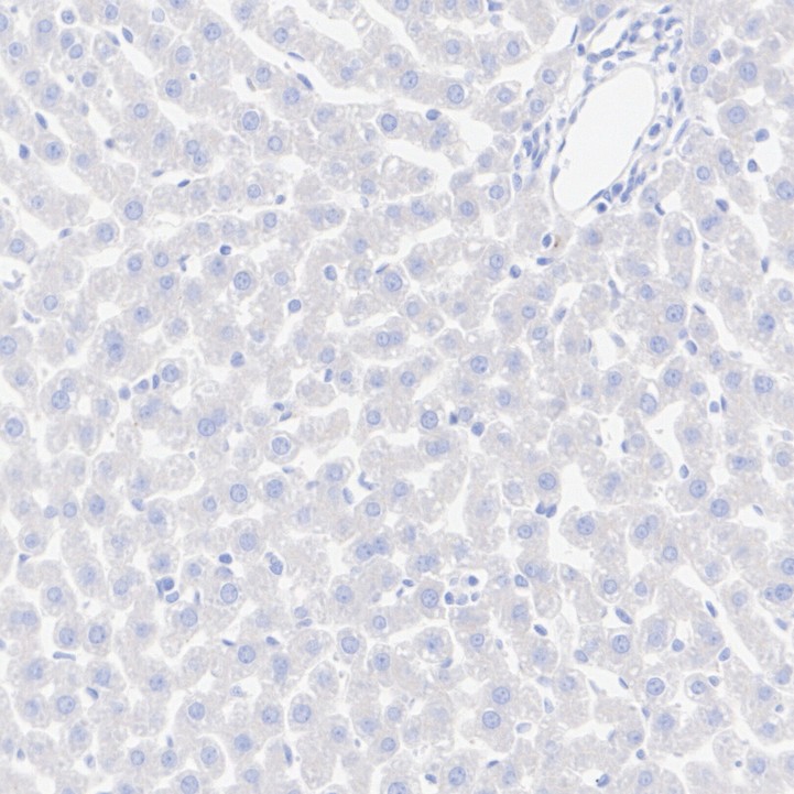
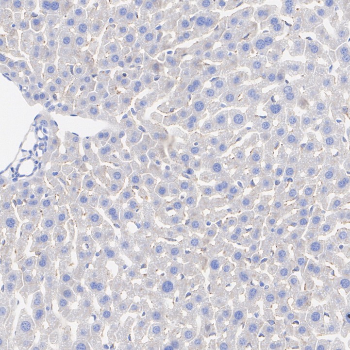
EM1701-52_4.jpg Fig4: Immunohistochemical analysis of paraffin-embedded mouse liver tissue (negative) with Mouse anti-HNP-1 antibody (EM1701-52) at 1/2,000 dilution.

The section was pre-treated using heat mediated antigen retrieval with Tris-EDTA buffer (pH 9.0) for 20 minutes. The tissues were blocked in 1% BSA for 20 minutes at room temperature, washed with ddH2O and PBS, and then probed with the primary antibody (EM1701-52) at 1/2,000 dilution for 1 hour at room temperature. The detection was performed using an HRP conjugated compact polymer system. DAB was used as the chromogen. Tissues were counterstained with hematoxylin and mounted with DPX.
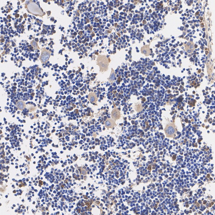
EM1701-52_5.jpg Fig5: Immunohistochemical analysis of paraffin-embedded rat bone marrow tissue with Mouse anti-HNP-1 antibody (EM1701-52) at 1/2,000 dilution.

The section was pre-treated using heat mediated antigen retrieval with Tris-EDTA buffer (pH 9.0) for 20 minutes. The tissues were blocked in 1% BSA for 20 minutes at room temperature, washed with ddH2O and PBS, and then probed with the primary antibody (EM1701-52) at 1/2,000 dilution for 1 hour at room temperature. The detection was performed using an HRP conjugated compact polymer system. DAB was used as the chromogen. Tissues were counterstained with hematoxylin and mounted with DPX.
EM1701-52_6.jpg Fig6: Immunohistochemical analysis of paraffin-embedded rat spleen tissue with Mouse anti-HNP-1 antibody (EM1701-52) at 1/5,000 dilution.

The section was pre-treated using heat mediated antigen retrieval with Tris-EDTA buffer (pH 9.0) for 20 minutes. The tissues were blocked in 1% BSA for 20 minutes at room temperature, washed with ddH2O and PBS, and then probed with the primary antibody (EM1701-52) at 1/5,000 dilution for 1 hour at room temperature. The detection was performed using an HRP conjugated compact polymer system. DAB was used as the chromogen. Tissues were counterstained with hematoxylin and mounted with DPX.
EM1701-52_7.jpg Fig7: Immunohistochemical analysis of paraffin-embedded rat liver tissue (negative) with Mouse anti-HNP-1 antibody (EM1701-52) at 1/2,000 dilution.

The section was pre-treated using heat mediated antigen retrieval with Tris-EDTA buffer (pH 9.0) for 20 minutes. The tissues were blocked in 1% BSA for 20 minutes at room temperature, washed with ddH2O and PBS, and then probed with the primary antibody (EM1701-52) at 1/2,000 dilution for 1 hour at room temperature. The detection was performed using an HRP conjugated compact polymer system. DAB was used as the chromogen. Tissues were counterstained with hematoxylin and mounted with DPX.
EM1701-52_8.jpg Fig8: Western blot analysis of HNP-1 cell lysate on rat spleen tissue lysates using anti-HNP-1 antibody at 1/500 dilution.
Note: All products are “FOR RESEARCH USE ONLY AND ARE NOT INTENDED FOR DIAGNOSTIC OR THERAPEUTIC USE”.