Peroxiredoxin 2 Mouse Monoclonal Antibody [7F2]
cat.: EM1701-70
Product Type: Mouse monoclonal IgG1, primary antibodies
Species reactivity: Human
Applications: WB, IHC-P, FC, IF-Cell
Clonality: Monoclonal
Clone number: 7F2
Form: Liquid
Storage condition: Store at +4℃ after thawing. Aliquot store at -20℃. Avoid repeated freeze / thaw cycles.
Storage buffer: 1*PBS (pH7.4), 0.2% BSA, 50% Glycerol. Preservative: 0.05% Sodium Azide.
Concentration: 2ug/ul
Purification: Protein G affinity purified.
Molecular weight: Predicted band size: 22 kDa
Isotype: IgG1
Immunogen: Recombinant full length protein of Human PRDX2.
Positive control: PC-3M cell lysate, MCF-7 cell lysate, human liver carcinoma tissue, human thyroid carcinoma tissue, human prostate cancer tissue, human kidney tissue, human placenta tissue, Jurkat, PC-3.
Subcellular location: Cytoplasm.
Recommended Dilutions:
  WB
  IHC-P
  FC
  IF-Cell

1:2000-1:5000
1:50-1:1,000
1:50-1:200
1:50
Uniprot #: SwissProt: P32119 Human
Alternative names: Epididymis secretory sperm binding protein Li 2a HEL S 2a MGC4104 Natural killer cell enhancing factor B Natural killer cell-enhancing factor B Natural Killer Enhancing Factor B NKEF B NKEF-B NKEFB Peroxiredoxin-2 PRDX 2 PRDX2 PRDX2_HUMAN PrP PRX2 PRXII PTX1 TDPX1 Thiol Specific Antioxidant 1 Thiol specific antioxidant protein Thiol-specific antioxidant protein Thioredoxin Dependent Peroxide Reductase 1 Thioredoxin peroxidase 1 Thioredoxin-dependent peroxide reductase 1 Torin TPX1 TSA
Images
EM1701-70_1.jpg Fig1: Western blot analysis of Peroxiredoxin 2 on different lysates with Mouse anti-Peroxiredoxin 2 antibody (EM1701-70) at 1/5,000 dilution.

Lane 1: PC-3M cell lysate
Lane 2: MCF-7 cell lysate

Lysates/proteins at 10 µg/Lane.

Predicted band size: 22 kDa
Observed band size: 22 kDa

Exposure time: 30 seconds;

15% SDS-PAGE gel.

Proteins were transferred to a PVDF membrane and blocked with 5% NFDM/TBST for 1 hour at room temperature. The primary antibody (EM1701-70) at 1/5,000 dilution was used in 5% NFDM/TBST at room temperature for 2 hours. Goat Anti-Mouse IgG - HRP Secondary Antibody (HA1006) at 1:100,000 dilution was used for 1 hour at room temperature.
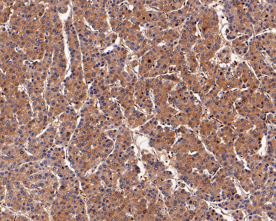
EM1701-70_2.jpg Fig2: Immunohistochemical analysis of paraffin-embedded human liver carcinoma tissue with Mouse anti-Peroxiredoxin 2 antibody (EM1701-70) at 1/1,000 dilution.

The section was pre-treated using heat mediated antigen retrieval with Tris-EDTA buffer (pH 9.0) for 20 minutes. The tissues were blocked in 1% BSA for 20 minutes at room temperature, washed with ddH2O and PBS, and then probed with the primary antibody (EM1701-70) at 1/1,000 dilution for 1 hour at room temperature. The detection was performed using an HRP conjugated compact polymer system. DAB was used as the chromogen. Tissues were counterstained with hematoxylin and mounted with DPX.
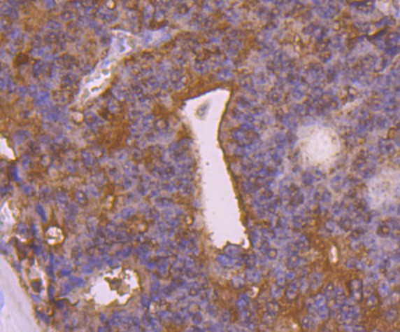
EM1701-70_3.jpg Fig3: Immunohistochemical analysis of paraffin-embedded human thyroid carcinoma tissue with Mouse anti-Peroxiredoxin 2 antibody (EM1701-70) at 1/200 dilution.

The section was pre-treated using heat mediated antigen retrieval with Tris-EDTA buffer (pH 9.0) for 20 minutes. The tissues were blocked in 1% BSA for 20 minutes at room temperature, washed with ddH2O and PBS, and then probed with the primary antibody (EM1701-70) at 1/200 dilution for 1 hour at room temperature. The detection was performed using an HRP conjugated compact polymer system. DAB was used as the chromogen. Tissues were counterstained with hematoxylin and mounted with DPX.
EM1701-70_4.jpg Fig4: Immunohistochemical analysis of paraffin-embedded human prostate cancer tissue using anti- Peroxiredoxin 2 antibody. Counter stained with hematoxylin.
EM1701-70_5.jpg Fig5: Immunohistochemical analysis of paraffin-embedded human kidney tissue using anti- Peroxiredoxin 2 antibody. Counter stained with hematoxylin.
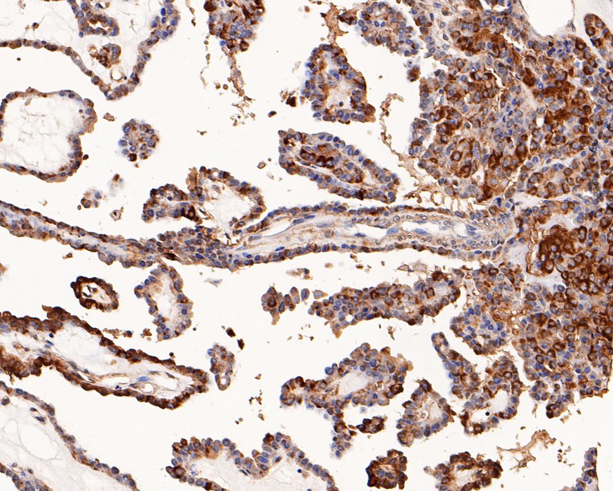
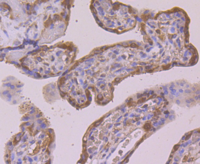
EM1701-70_6.jpg Fig6: Immunohistochemical analysis of paraffin-embedded human placenta tissue using anti- Peroxiredoxin 2 antibody. Counter stained with hematoxylin.
EM1701-70_7.jpg Fig7: Flow cytometric analysis of Jurkat cells with Peroxiredoxin 2 antibody at 1/100 dilution (red) compared with an unlabelled control (cells without incubation with primary antibody; black). Alexa Fluor 488-conjugated goat anti-mouse IgG was used as the secondary antibody.
EM1701-70_8.jpg Fig8: Immunocytochemistry analysis of PC-3 cells labeling Peroxiredoxin 2 with Mouse anti-Peroxiredoxin 2 antibody (EM1701-70) at 1/50 dilution.

Cells were fixed in 4% paraformaldehyde for 30 minutes, permeabilized with 0.1% Triton X-100 in PBS for 15 minutes, and then blocked with 2% BSA for 30 minutes at room temperature. Cells were then incubated with Mouse anti-Peroxiredoxin 2 antibody (EM1701-70) at 1/100 dilution in 2% BSA overnight at 4 ℃. Goat Anti-Mouse IgG H&L (iFluor™ 488, HA1125) was used as the secondary antibody at 1/1,000 dilution. PBS instead of the primary antibody was used as the secondary antibody only control. Nuclear DNA was labelled in blue with DAPI.
Note: All products are “FOR RESEARCH USE ONLY AND ARE NOT INTENDED FOR DIAGNOSTIC OR THERAPEUTIC USE”.