HSPA1L Mouse Monoclonal Antibody [7D1]
cat.: EM1701-78
Product Type: Mouse monoclonal IgG1, primary antibodies
Species reactivity: Human, Mouse, Rat
Applications: WB, IHC-P
Clonality: Monoclonal
Clone number: 7D1
Form: Liquid
Storage condition: Shipped at 4℃. Store at +4℃ short term (1-2 weeks). It is recommended to aliquot into single-use upon delivery. Store at -20℃ long term.
Storage buffer: 1*PBS (pH7.4), 0.2% BSA, 50% Glycerol. Preservative: 0.05% Sodium Azide.
Concentration: 2ug/ul
Purification: Immunogen affinity purified.
Molecular weight: Predicted band size: 70 kDa
Isotype: IgG1
Immunogen: Recombinant protein with Human HSPA1L aa 335-639 / 641.
Positive control: 293 cell lysate, mouse testis tissue lysate, rat testis tissue lysate, rat testis tissue, mouse testis tissue.
Subcellular location: Cytosol. Secreted.
Recommended Dilutions:
  WB
  IHC-P

1:10,000-1:50,000
1:50-1:100
Uniprot #: SwissProt: P34931 Human | P16627 Mouse | P55063 Rat
Alternative names: Heat shock 70 kDa protein 1 Hom Heat shock 70 kDa protein 1 like Heat shock 70 kDa protein 1-Hom Heat shock 70 kDa protein 1-like Heat shock 70 kDa protein 1L Heat shock 70kD protein like 1 HS71L_HUMAN HSP70 1L HSP70 HOM HSP70-Hom HSPA1L hum70t Spermatid specific heat shock protein 70
Images
EM1701-78_1.jpg Fig1: Western blot analysis of HSPA1L on different lysates with Mouse anti-HSPA1L antibody (EM1701-78) at 1/5,000 dilution.

Lane 1: 293 cell lysate (10 µg/Lane)
Lane 2: Mouse testis tissue lysate (20 µg/Lane)
Lane 3: Rat testis tissue lysate (20 µg/Lane)

Predicted band size: 70 kDa
Observed band size: 70 kDa

Exposure time: 2 minutes;

8% SDS-PAGE gel.

Proteins were transferred to a PVDF membrane and blocked with 5% NFDM/TBST for 1 hour at room temperature. The primary antibody (EM1701-78) at 1/5,000 dilution was used in 5% NFDM/TBST at room temperature for 2 hours. Goat Anti-Mouse IgG - HRP Secondary Antibody (HA1006) at 1:100,000 dilution was used for 1 hour at room temperature.
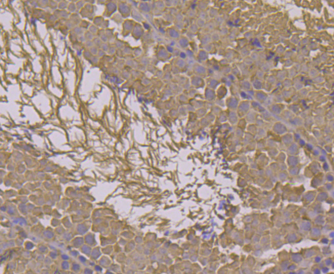
EM1701-78_2.jpg Fig2: Immunohistochemical analysis of paraffin-embedded rat testis tissue using anti-HSPA1L antibody. Counter stained with hematoxylin.
EM1701-78_3.jpg Fig3: Immunohistochemical analysis of paraffin-embedded mouse testis tissue using anti-HSPA1L antibody. Counter stained with hematoxylin.
Note: All products are “FOR RESEARCH USE ONLY AND ARE NOT INTENDED FOR DIAGNOSTIC OR THERAPEUTIC USE”.