 
	            	| Product Type: | Mouse monoclonal IgG2b, primary antibodies | 
|---|---|
| Species reactivity: | Human, Mouse, Rat | 
| Applications: | WB, IHC-P | 
| Clonality: | Monoclonal | 
| Clone number: | 10G3 | 
| Form: | Liquid | 
| Storage condition: | Shipped at 4℃. Store at +4℃ short term (1-2 weeks). It is recommended to aliquot into single-use upon delivery. Store at -20℃ long term. | 
| Storage buffer: | 1*PBS (pH7.4), 0.2% BSA, 50% Glycerol. Preservative: 0.05% Sodium Azide. | 
| Concentration: | 2ug/ul | 
| Purification: | Protein G affinity purified. | 
| Molecular weight: | Predicted band size: 105 kDa | 
| Isotype: | IgG2b | 
| Immunogen: | Synthetic peptide within N-terminal residues of Human MSH2. | 
| Positive control: | K562 cells lysates, Wild-type SCC7 whole cell lysates, human breast cancer tissue, human kidney tissue, human placenta tissue, mouse colon tissue, rat brain tissue. | 
| Subcellular location: | Nucleus, Chromosome. | 
| Recommended Dilutions: WB IHC-P | 1:2,000-1:5,000 1:100-1:1,000 | 
| Uniprot #: | SwissProt: P43246 Human | P43247 Mouse | P54275 Rat | 
| Alternative names: | BAT26 COCA 1 COCA1 DNA mismatch repair protein Msh2 FCC 1 FCC1 hMSH2 HNPCC 1 HNPCC HNPCC1 LCFS2 MSH 2 Msh2 MSH2_HUMAN MutS homolog 2 MutS homolog 2 colon cancer nonpolyposis type 1 MutS protein homolog 2 | 
|   | Fig1:
	        				All lanes: Western blot analysis of MSH2 with anti-MSH2 antibody (EM1801-05) at 1:1/1,000 dilution. Lane 1: Wild-type SCC7 whole cell lysate. Lane 2: MSH2 knockout SCC7 whole cell lysate. EM1801-06 was shown to specifically react with MSH2 in Wild-type SCC7 cells. No band was observed when MSH2 knockout sample was tested. Wild-type and MSH2 knockout samples were subjected to SDS-PAGE. Proteins were transferred to a PVDF membrane and blocked with 5% NFDM in TBST for 1 hour at room temperature. The primary Anti-MSH2 antibody (EM1801-06, 1/1,000) and Anti-HSP90 antibody (ET1605-56, 1/10,000) were used in 5% BSA at room temperature for 2 hours. Goat Anti-Mouse IgG HRP Secondary Antibody (HA1006) at 1:20,000 dilution was used for 1 hour at room temperature. | 
|   | Fig2:
	        				Western blot analysis of MSH2 on K562 cell lysates. Proteins were transferred to a PVDF membrane and blocked with 5% BSA in PBS for 1 hour at room temperature. The primary antibody was used in 5% BSA at room temperature for 2 hours. Goat Anti-Mouse IgG - HRP Secondary Antibody (HA1006) at 1:40,000 dilution was used for 1 hour at room temperature. Positive control: Lane 1: Anti-MSH2 antibody, 1:500. Lane 2: Anti-MSH2 antibody, 1:5,000. | 
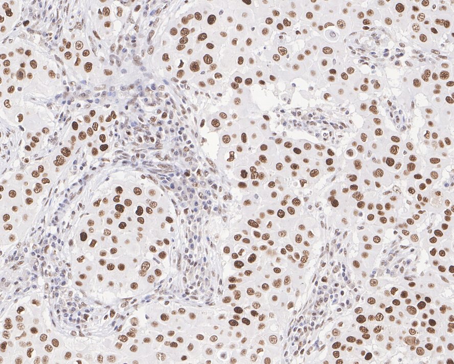
|   | Fig3:
	        				Immunohistochemical analysis of paraffin-embedded human breast cancer tissue with Mouse anti-MSH2 antibody (EM1801-06) at 1/1,000 dilution. The section was pre-treated using heat mediated antigen retrieval with sodium citrate buffer (pH 6.0) for 2 minutes. The tissues were blocked in 1% BSA for 20 minutes at room temperature, washed with ddH2O and PBS, and then probed with the primary antibody (EM1801-06) at 1/1,000 dilution for 1 hour at room temperature. The detection was performed using an HRP conjugated compact polymer system. DAB was used as the chromogen. Tissues were counterstained with hematoxylin and mounted with DPX. | 
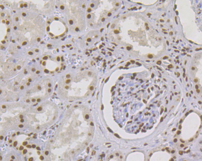
|   | Fig4: Immunohistochemical analysis of paraffin-embedded human kidney tissue using anti-MSH2 antibody. Counter stained with hematoxylin. The section was pre-treated using heat mediated antigen retrieval with sodium citrate buffer (pH6) for 20 mins. | 
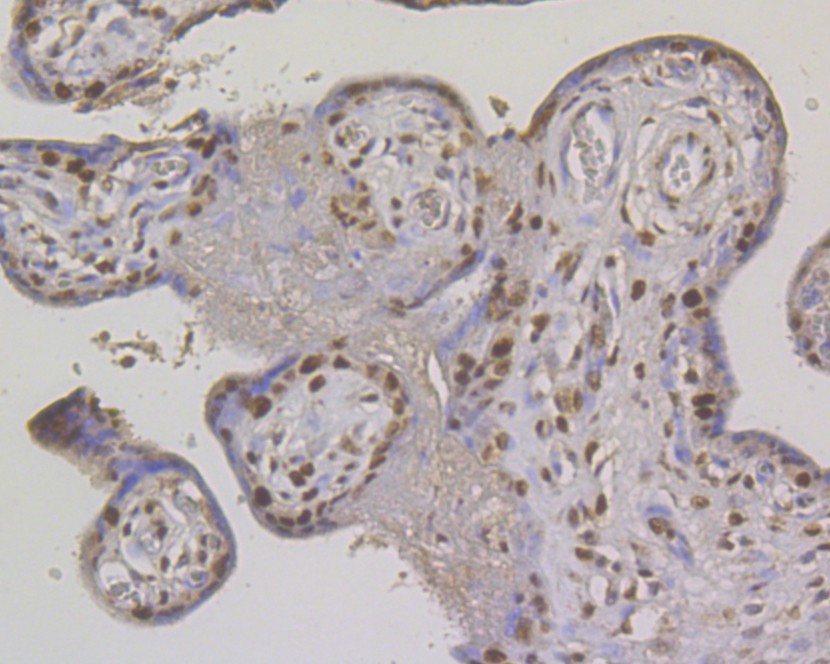
|   | Fig5: Immunohistochemical analysis of paraffin-embedded human placenta tissue using anti-MSH2 antibody. Counter stained with hematoxylin. The section was pre-treated using heat mediated antigen retrieval with sodium citrate buffer (pH6) for 20 mins. | 
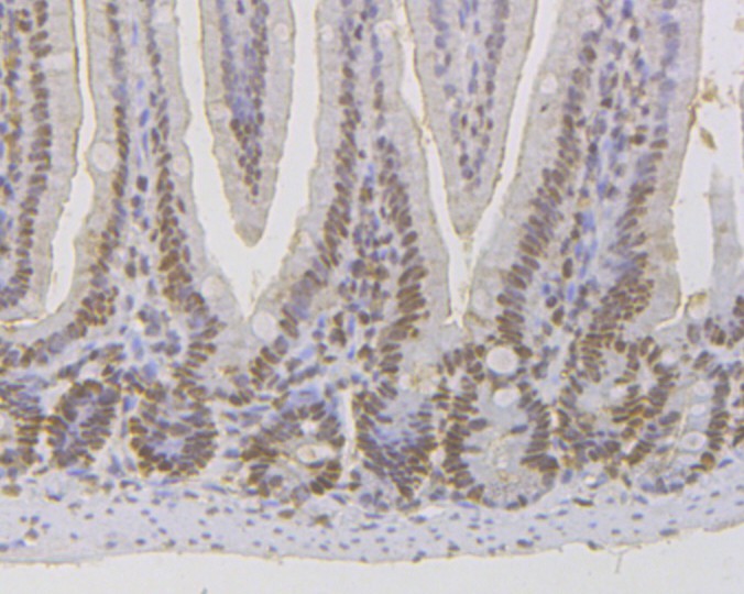
|   | Fig6: Immunohistochemical analysis of paraffin-embedded mouse colon tissue using anti-MSH2 antibody. Counter stained with hematoxylin. The section was pre-treated using heat mediated antigen retrieval with sodium citrate buffer (pH6) for 20 mins. | 
|   | Fig7: Immunohistochemical analysis of paraffin-embedded rat brain tissue using anti-MSH2 antibody. Counter stained with hematoxylin. The section was pre-treated using heat mediated antigen retrieval with sodium citrate buffer (pH6) for 20 mins. |