ALDH1A1 Mouse Monoclonal Antibody [8F1]
cat.: EM1801-07
Product Type: Mouse monoclonal IgG1, primary antibodies
Species reactivity: Human, Rat, Mouse
Applications: WB, IHC-P, IF-Cell, FC, IHC-Fr
Clonality: Monoclonal
Clone number: 8F1
Form: Liquid
Storage condition: Shipped at 4℃. Store at +4℃ short term (1-2 weeks). It is recommended to aliquot into single-use upon delivery. Store at -20℃ long term.
Storage buffer: 1*PBS (pH7.4), 0.2% BSA, 50% Glycerol. Preservative: 0.05% Sodium Azide.
Concentration: 2ug/ul
Purification: Protein G affinity purified.
Molecular weight: Predicted band size: 55 kDa
Isotype: IgG1
Immunogen: Recombinant protein within Human ALDH1A1 aa 1-501 / 501.
Positive control: A549 cell lysate, HT-29 cell lysate, HepG2 cell lysate, K-562 cell lysate, human liver tissue lysate, human lung tissue lysate, A549, rat epididymis tissue, human liver tissue, human pancreas tissue, mouse hippocampus tissue, mouse cerebral cortex tissue, mouse substantia nigra tissue.
Subcellular location: Cell projection, Cytoplasm.
Recommended Dilutions:
  WB
  IHC-P
  IF-Cell
  FC
  IHC-Fr

1:2,000-1:10,000
1:50-1:200
1:100
1:1,000
1:50
Uniprot #: SwissProt: P00352 Human | P51647 Rat
Alternative names: Acetaldehyde dehydrogenase 1 AHD2 AL1A1_HUMAN ALDC Aldehyde dehydrogenase 1 family member A1 Aldehyde dehydrogenase 1 soluble Aldehyde dehydrogenase 1A1 Aldehyde dehydrogenase Aldehyde dehydrogenase cytosolic Aldehyde dehydrogenase family 1 member A1 Aldehyde dehydrogenase liver cytosolic ALDH 1 ALDH 1A1 ALDH class 1 ALDH, liver cytosolic ALDH-E1 ALDH1 A1 ALDH1 ALDH11 ALDH1A1 ALHDII cytosolic epididymis luminal protein 12 epididymis luminal protein 9 epididymis secretory sperm binding protein Li 53e HEL-S-53e MGC2318 PUMB1 RALDH 1 RalDH1 Retinal dehydrogenase 1
Images
EM1801-07_1.jpg Fig1: Western blot analysis of ALDH1A1 on different lysates with Mouse anti-ALDH1A1 antibody (EM1801-07) at 1/1,000 dilution.

Lane 1: A549 cell lysate (20 µg/Lane)
Lane 2: HT-29 cell lysate (20 µg/Lane)
Lane 3: HepG2 cell lysate (20 µg/Lane)
Lane 4: K-562 cell lysate (20 µg/Lane)
Lane 5: Human liver tissue lysate (40 µg/Lane)
Lane 6: Human lung tissue lysate (40 µg/Lane)

Predicted band size: 55 kDa
Observed band size: 50 kDa

Exposure time: 5 seconds;

4-20% SDS-PAGE gel.

Proteins were transferred to a PVDF membrane and blocked with 5% NFDM/TBST for 1 hour at room temperature. The primary antibody (EM1801-07) at 1/1,000 dilution was used in 5% NFDM/TBST at room temperature for 2 hours. Goat Anti-Mouse IgG - HRP Secondary Antibody (HA1006) at 1/50,000 dilution was used for 1 hour at room temperature.
EM1801-07_2.jpg Fig2: Western blot analysis of ALDH1A1 on different lysates with Mouse anti-ALDH1A1 antibody (EM1801-07) at 1/2,000 dilution.

Lane 1: A549-WT cell lysate
Lane 2: A549-KD ALDH1A1 cell lysate

Lysates/proteins at 10 µg/Lane.

Predicted band size: 55 kDa
Observed band size: 50 kDa

Exposure time: 5 seconds; ECL: K1801;

4-20% SDS-PAGE gel.

Proteins were transferred to a PVDF membrane and blocked with 5% NFDM/TBST for 1 hour at room temperature. The primary antibody (EM1801-07) at 1/2,000 dilution was used in 5% NFDM/TBST at 4℃ overnight. Goat Anti-Mouse IgG - HRP Secondary Antibody (HA1006) at 1/50,000 dilution was used for 1 hour at room temperature.
EM1801-07_3.jpg Fig3: Immunocytochemistry analysis of A549 cells labeling ALDH1A1 with Mouse anti-ALDH1A1 antibody (EM1801-07) at 1/100 dilution.

Cells were fixed in 4% paraformaldehyde for 20 minutes at room temperature, permeabilized with 0.1% Triton X-100 in PBS for 5 minutes at room temperature, then blocked with 1% BSA in 10% negative goat serum for 1 hour at room temperature. Cells were then incubated with Mouse anti-ALDH1A1 antibody (EM1801-07) at 1/100 dilution in 1% BSA in PBST overnight at 4 ℃. Goat Anti-Mouse IgG H&L (iFluor™ 488, HA1125) was used as the secondary antibody at 1/1,000 dilution. PBS instead of the primary antibody was used as the secondary antibody only control. Nuclear DNA was labelled in blue with DAPI.

beta Tubulin (ET1602-4, red) was stained at 1/100 dilution overnight at +4℃. Goat Anti-Rabbit IgG H&L (iFluor™ 594, HA1122) were used as the secondary antibody at 1/1,000 dilution.
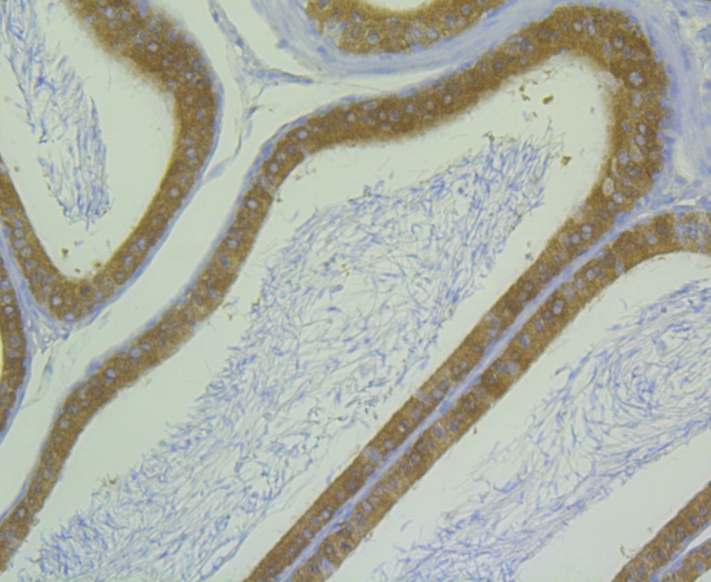
EM1801-07_4.jpg Fig4: Immunohistochemical analysis of paraffin-embedded rat epididymis tissue using anti-ALDH1A1 antibody. Counter stained with hematoxylin.
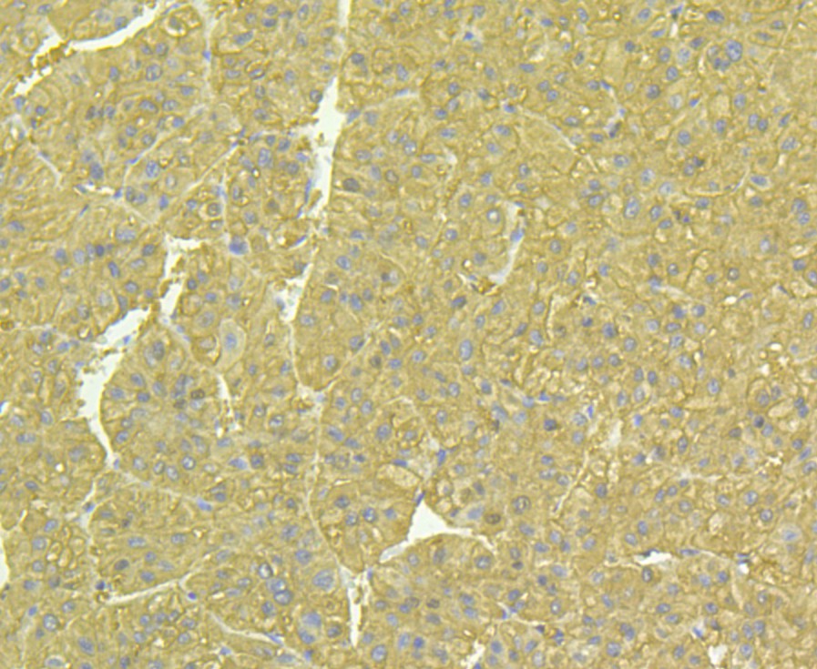
EM1801-07_5.jpg Fig5: Immunohistochemical analysis of paraffin-embedded human liver tissue using anti-ALDH1A1 antibody. Counter stained with hematoxylin.
EM1801-07_6.jpg Fig6: Immunohistochemical analysis of paraffin-embedded human pancreas tissue using anti-ALDH1A1 antibody. Counter stained with hematoxylin.
EM1801-07_7.jpg Fig7: Flow cytometric analysis of A549 cells labeling ALDH1A1.

Cells were fixed and permeabilized. Then stained with the primary antibody (EM1801-07, 1μg/mL) (red) compared with Mouse IgG1 Isotype Control (green). After incubation of the primary antibody at +4℃ for an hour, the cells were stained with a iFluor™ 488 conjugate-Goat anti-Mouse IgG Secondary antibody (HA1125) at 1/1,000 dilution for 30 minutes at +4℃. Unlabelled sample was used as a control (cells without incubation with primary antibody; black).
EM1801-07_8.jpg Fig8: Immunofluorescence analysis of frozen mouse hippocampus tissue labeling ALDH1A1 with Mouse anti-ALDH1A1 antibody (EM1801-07).

The tissues were blocked in 3% BSA for 30 minutes at room temperature, washed with PBS, and then probed with the primary antibody (EM1801-07, green) at 1/50 dilution overnight at 4℃, washed with PBS. Goat Anti-Mouse IgG H&L (Alexa Fluor® 488) was used as the secondary antibody at 1/200 dilution. Nuclei were counterstained with DAPI (blue). Image acquisition was performed with KFBIO KF-FL-400 Scanner.
EM1801-07_9.jpg Fig9: Immunofluorescence analysis of frozen mouse cerebral cortex tissue labeling ALDH1A1 with Mouse anti-ALDH1A1 antibody (EM1801-07).

The tissues were blocked in 3% BSA for 30 minutes at room temperature, washed with PBS, and then probed with the primary antibody (EM1801-07, green) at 1/50 dilution overnight at 4℃, washed with PBS. Goat Anti-Mouse IgG H&L (Alexa Fluor® 488) was used as the secondary antibody at 1/200 dilution. Nuclei were counterstained with DAPI (blue). Image acquisition was performed with KFBIO KF-FL-400 Scanner.
EM1801-07_10.jpg Fig10: Immunofluorescence analysis of frozen mouse substantia nigra tissue labeling ALDH1A1 with Mouse anti-ALDH1A1 antibody (EM1801-07).

The tissues were blocked in 3% BSA for 30 minutes at room temperature, washed with PBS, and then probed with the primary antibody (EM1801-07, green) at 1/50 dilution overnight at 4℃, washed with PBS. Goat Anti-Mouse IgG H&L (Alexa Fluor® 488) was used as the secondary antibody at 1/200 dilution. Nuclei were counterstained with DAPI (blue). Image acquisition was performed with KFBIO KF-FL-400 Scanner.
Note: All products are “FOR RESEARCH USE ONLY AND ARE NOT INTENDED FOR DIAGNOSTIC OR THERAPEUTIC USE”.