Carbonic anhydrase 2 Mouse Monoclonal Antibody [11A1]
cat.: EM1801-08
Product Type: Mouse monoclonal IgG2a, primary antibodies
Species reactivity: Human, Mouse, Rat
Applications: WB, IF-Cell, IHC-P
Clonality: Monoclonal
Clone number: 11A1
Form: Liquid
Storage condition: Shipped at 4℃. Store at +4℃ short term (1-2 weeks). It is recommended to aliquot into single-use upon delivery. Store at -20℃ long term.
Storage buffer: 1*PBS (pH7.4), 0.2% BSA, 50% Glycerol. Preservative: 0.05% Sodium Azide.
Concentration: 2ug/ul
Purification: Immunogen affinity purified.
Molecular weight: Predicted band size: 29 kDa
Isotype: IgG2a
Immunogen: Recombinant protein within Human Carbonic anhydrase 2 aa 63-240 / 260.
Positive control: THP-1 cell lysate, HL-60 cell lysate, 293T cells, AGS cells, rat liver tissue, human colon tissue, human kidney tissue, human stomach cancer tissue, mouse brain tissue.
Subcellular location: Cytoplasm, Cell membrane, Membrane.
Recommended Dilutions:
  WB
  IF-Cell
  IHC-P

1:500-1:2,000
1:50-1:200
1:50-1:200
Uniprot #: SwissProt: P00918 Human | P00920 Mouse | P27139 Rat
Alternative names: CA 2 CA II CA-II Ca2 CAC CAH2_HUMAN CAII Car 2 Car2 Carbonate dehydratase II Carbonic anhydrase 2 Carbonic anhydrase B Carbonic anhydrase C Carbonic anhydrase C, formerly Carbonic anhydrase II Carbonic dehydratase epididymis luminal protein 76 Epididymis secretory protein Li 282 HEL-76 HEL-S-282
Images
EM1801-08_1.jpg Fig1: Western blot analysis of Carbonic anhydrase 2 on different cell lysates. Proteins were transferred to a PVDF membrane and blocked with 5% BSA in PBS for 1 hour at room temperature. The primary antibody was used at a 1/1,000 dilution in 5% BSA at room temperature for 2 hours. Goat Anti-Mouse IgG - HRP Secondary Antibody (HA1006) at 1:5,000 dilution was used for 1 hour at room temperature.
Positive control:
Lane 1: THP-1 cell lysate, untreated
Lane 2: HL-60 cell lysate, untreated
EM1801-08_2.jpg Fig2: Western blot analysis of Carbonic anhydrase 2 on different lysates with Mouse anti-Carbonic anhydrase 2 antibody (EM1801-08) at 1/500 dilution.

Lane 1: A431 cell lysate
Lane 2: 293 cell lysate
Lane 3: Human kidney tissue lysate(20 µg/Lane)

Lysates/proteins at 10 µg/Lane.

Predicted band size: 29 kDa
Observed band size: 29 kDa

Exposure time: 2 minutes;

12% SDS-PAGE gel.

Proteins were transferred to a PVDF membrane and blocked with 5% NFDM/TBST for 1 hour at room temperature. The primary antibody (EM1801-08) at 1/500 dilution was used in 5% NFDM/TBST at room temperature for 2 hours. Goat Anti-Mouse IgG - HRP Secondary Antibody (HA1006) at 1:20,000 dilution was used for 1 hour at room temperature.
EM1801-08_3.jpg Fig3: ICC staining Carbonic anhydrase 2 in 293T cells (green). Formalin fixed cells were permeabilized with 0.1% Triton X-100 in TBS for 10 minutes at room temperature and blocked with 1% Blocker BSA for 15 minutes at room temperature. Cells were probed with Carbonic anhydrase 2 monoclonal antibody at a dilution of 1/100 for at least 1 hour at room temperature, washed with PBS. Alexa Fluor™ 488 Goat anti-Mouse IgG was used as the secondary antibody at 1/100 dilution. The nuclear counter stain is DAPI (blue).
EM1801-08_4.jpg Fig4: ICC staining Carbonic anhydrase 2 in AGS cells (green). Formalin fixed cells were permeabilized with 0.1% Triton X-100 in TBS for 10 minutes at room temperature and blocked with 1% Blocker BSA for 15 minutes at room temperature. Cells were probed with Carbonic anhydrase 2 monoclonal antibody at a dilution of 1/100 for at least 1 hour at room temperature, washed with PBS. Alexa Fluor™ 488 Goat anti-Mouse IgG was used as the secondary antibody at 1/100 dilution. The nuclear counter stain is DAPI (blue).
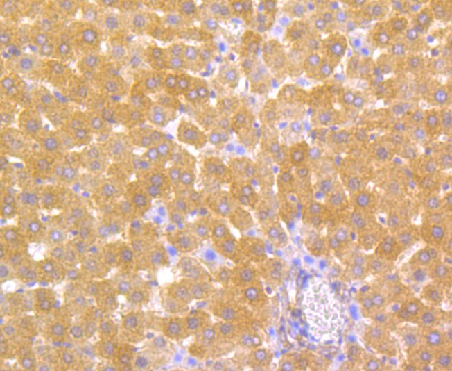
EM1801-08_5.jpg Fig5: Immunohistochemical analysis of paraffin-embedded rat liver tissue using anti-Carbonic anhydrase 2 antibody. The section was pre-treated using heat mediated antigen retrieval with Tris-EDTA buffer (pH 8.0-8.4) for 20 minutes.The tissues were blocked in 5% BSA for 30 minutes at room temperature, washed with ddH2O and PBS, and then probed with the antibody (EM1801-08) at 1/100 dilution, for 30 minutes at room temperature and detected using an HRP conjugated compact polymer system. DAB was used as the chrogen. Counter stained with hematoxylin and mounted with DPX.
EM1801-08_6.jpg Fig6: Immunohistochemical analysis of paraffin-embedded human colon tissue using anti-Carbonic anhydrase 2 antibody. The section was pre-treated using heat mediated antigen retrieval with Tris-EDTA buffer (pH 8.0-8.4) for 20 minutes.The tissues were blocked in 5% BSA for 30 minutes at room temperature, washed with ddH2O and PBS, and then probed with the antibody (EM1801-08) at 1/100 dilution, for 30 minutes at room temperature and detected using an HRP conjugated compact polymer system. DAB was used as the chrogen. Counter stained with hematoxylin and mounted with DPX.
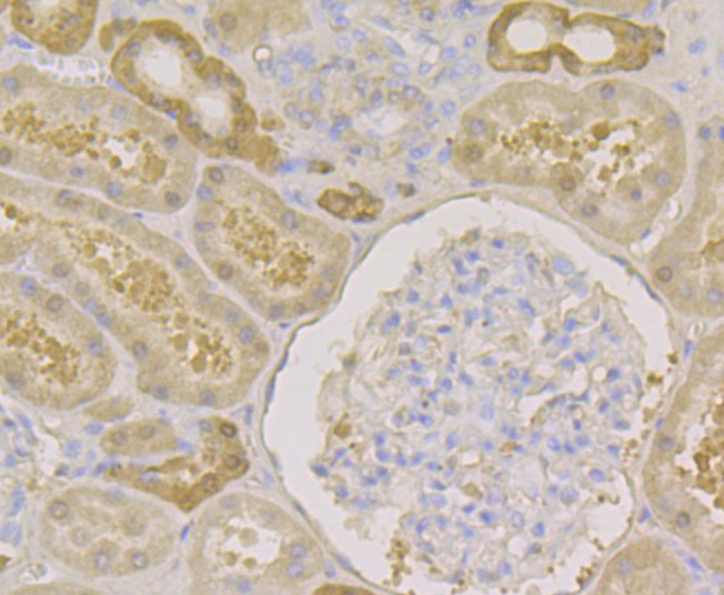
EM1801-08_7.jpg Fig7: Immunohistochemical analysis of paraffin-embedded human kidney tissue using anti-Carbonic anhydrase 2 antibody. The section was pre-treated using heat mediated antigen retrieval with Tris-EDTA buffer (pH 8.0-8.4) for 20 minutes.The tissues were blocked in 5% BSA for 30 minutes at room temperature, washed with ddH2O and PBS, and then probed with the antibody (EM1801-08) at 1/100 dilution, for 30 minutes at room temperature and detected using an HRP conjugated compact polymer system. DAB was used as the chrogen. Counter stained with hematoxylin and mounted with DPX.
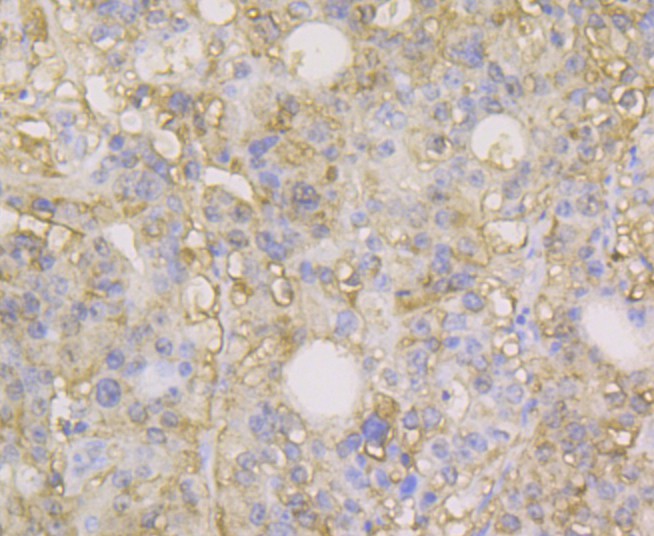
EM1801-08_8.jpg Fig8: Immunohistochemical analysis of paraffin-embedded human stomach cancer tissue using anti-Carbonic anhydrase 2 antibody. The section was pre-treated using heat mediated antigen retrieval with Tris-EDTA buffer (pH 8.0-8.4) for 20 minutes.The tissues were blocked in 5% BSA for 30 minutes at room temperature, washed with ddH2O and PBS, and then probed with the antibody (EM1801-08) at 1/100 dilution, for 30 minutes at room temperature and detected using an HRP conjugated compact polymer system. DAB was used as the chrogen. Counter stained with hematoxylin and mounted with DPX.
EM1801-08_9.jpg Fig9: Immunohistochemical analysis of paraffin-embedded mouse brain tissue using anti-Carbonic anhydrase 2 antibody. The section was pre-treated using heat mediated antigen retrieval with Tris-EDTA buffer (pH 8.0-8.4) for 20 minutes.The tissues were blocked in 5% BSA for 30 minutes at room temperature, washed with ddH2O and PBS, and then probed with the antibody (EM1801-08) at 1/100 dilution, for 30 minutes at room temperature and detected using an HRP conjugated compact polymer system. DAB was used as the chrogen. Counter stained with hematoxylin and mounted with DPX.
Note: All products are “FOR RESEARCH USE ONLY AND ARE NOT INTENDED FOR DIAGNOSTIC OR THERAPEUTIC USE”.