 
	            	| Product Type: | Mouse monoclonal IgG1, primary antibodies | 
|---|---|
| Species reactivity: | Human, Mouse | 
| Applications: | WB, IHC-P, FC | 
| Clonality: | Monoclonal | 
| Clone number: | 12H4 | 
| Form: | Liquid | 
| Storage condition: | Shipped at 4℃. Store at +4℃ short term (1-2 weeks). It is recommended to aliquot into single-use upon delivery. Store at -20℃ long term. | 
| Storage buffer: | 1*PBS (pH7.4), 0.2% BSA, 50% Glycerol. Preservative: 0.05% Sodium Azide. | 
| Concentration: | 2ug/ul | 
| Purification: | Immunogen affinity purified. | 
| Molecular weight: | Predicted band size: 36 kDa | 
| Isotype: | IgG1 | 
| Immunogen: | Recombinant protein within Human APE1 aa 20-318/318. | 
| Positive control: | HL-60, human liver tissue, human prostate cancer tissue, human kidney tissue, mouse colon tissue, SiHa. | 
| Subcellular location: | Nucleus. Endoplasmic reticulum. | 
| Recommended Dilutions: WB IHC-P FC | 1:1,000-1:5,000 1:50-1:200 1:50-1:100 | 
| Uniprot #: | SwissProt: P27695 Human | P28352 Mouse | 
| Alternative names: | AP endonuclease 1 AP endonuclease class I AP lyase APE 1 APE APE-1 APEN APEX 1 APEX APEX nuclease (multifunctional DNA repair enzyme) 1 Apex nuclease 1 APEX nuclease APEX1 APEX1_HUMAN Apurinic endonuclease Apurinic-apyrimidinic endonuclease 1 Apurinic/apyrimidinic (abasic) endonuclease Apurinic/apyrimidinic endonuclease 1 Apurinic/apyrimidinic exonuclease APX BAP1 Deoxyribonuclease (apurinic or apyrimidinic) DNA (apurinic or apyrimidinic site) lyase DNA-(apurinic or apyrimidinic site) lyase, mitochondrial EC 4.2.99.18 HAP 1 HAP1 Human Apurinic endonuclease 1 MGC139790 Multifunctional DNA repair enzyme Redox factor 1 Redox factor-1 REF 1 REF 1 protein REF-1 REF1 REF1 protein | 
|   | Fig1:
	        				Western blot analysis of APE1 on different lysates with Mouse anti-APE1 antibody (EM1801-13) at 1/5,000 dilution. Lane 1: A549-WT cell lysate Lane 2: A549-KD APE1 cell lysate Lysates/proteins at 10 µg/Lane. Predicted band size: 36 kDa Observed band size: 36 kDa Exposure time: 3 minutes; ECL: K1801; 4-20% SDS-PAGE gel. Proteins were transferred to a PVDF membrane and blocked with 5% NFDM/TBST for 1 hour at room temperature. The primary antibody (EM1801-13) at 1/5,000 dilution was used in 5% NFDM/TBST at 4℃ overnight. Goat Anti-Mouse IgG - HRP Secondary Antibody (HA1006) at 1/50,000 dilution was used for 1 hour at room temperature. | 
|   | Fig2: Western blot analysis of APE1 on HL-60 cell lysates. Proteins were transferred to a PVDF membrane and blocked with 5% BSA in PBS for 1 hour at room temperature. The primary antibody was used at a 1/1,000 dilution in 5% BSA at room temperature for 2 hours. Goat Anti-Mouse IgG - HRP Secondary Antibody (HA1006) at 1:5,000 dilution was used for 1 hour at room temperature. | 
|   | Fig3: Immunohistochemical analysis of paraffin-embedded human liver tissue using anti-APE1 antibody. The section was pre-treated using heat mediated antigen retrieval with sodium citrate buffer (pH 6.0) for 20 minutes. The tissues were blocked in 5% BSA for 30 minutes at room temperature, washed with ddH2O and PBS, and then probed with the antibody (EM1801-13) at 1/200 dilution, for 30 minutes at room temperature and detected using an HRP conjugated compact polymer system. DAB was used as the chrogen. Counter stained with hematoxylin and mounted with DPX. | 
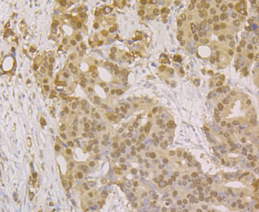
|   | Fig4: Immunohistochemical analysis of paraffin-embedded human prostate cancer tissue using anti-APE1 antibody. The section was pre-treated using heat mediated antigen retrieval with sodium citrate buffer (pH 6.0) for 20 minutes. The tissues were blocked in 5% BSA for 30 minutes at room temperature, washed with ddH2O and PBS, and then probed with the antibody (EM1801-13) at 1/200 dilution, for 30 minutes at room temperature and detected using an HRP conjugated compact polymer system. DAB was used as the chrogen. Counter stained with hematoxylin and mounted with DPX. | 
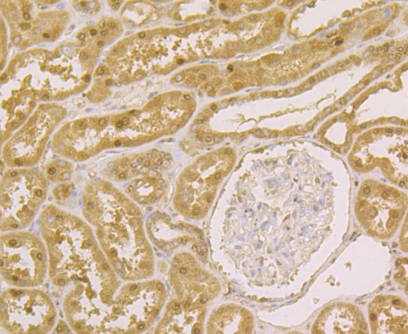
|   | Fig5: Immunohistochemical analysis of paraffin-embedded human kidney tissue using anti-APE1 antibody. The section was pre-treated using heat mediated antigen retrieval with sodium citrate buffer (pH 6.0) for 20 minutes. The tissues were blocked in 5% BSA for 30 minutes at room temperature, washed with ddH2O and PBS, and then probed with the antibody (EM1801-13) at 1/200 dilution, for 30 minutes at room temperature and detected using an HRP conjugated compact polymer system. DAB was used as the chrogen. Counter stained with hematoxylin and mounted with DPX. | 
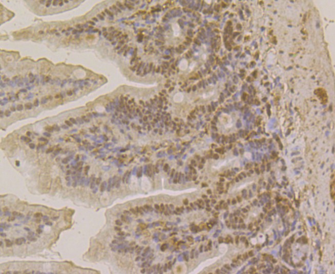
|   | Fig6: Immunohistochemical analysis of paraffin-embedded mouse colon tissue using anti-APE1 antibody. The section was pre-treated using heat mediated antigen retrieval with sodium citrate buffer (pH 6.0) for 20 minutes. The tissues were blocked in 5% BSA for 30 minutes at room temperature, washed with ddH2O and PBS, and then probed with the antibody (EM1801-13) at 1/200 dilution, for 30 minutes at room temperature and detected using an HRP conjugated compact polymer system. DAB was used as the chrogen. Counter stained with hematoxylin and mounted with DPX. | 
|   | Fig7: Flow cytometric analysis of APE1 was done on SiHa cells. The cells were fixed, permeabilized and stained with APE1 antibody at 1/100 dilution (red) compared with an unlabelled control (cells without incubation with primary antibody; black). After incubation of the primary antibody on room temperature for an hour, the cells was stained with a Alexa Fluor™ 488-conjugated goat anti-mouse IgG Secondary antibody at 1/500 dilution for 30 minutes. |