CD34 Mouse Monoclonal Antibody [15H1]
cat.: EM1901-01
Product Type: Mouse monoclonal IgG1, primary antibodies
Species reactivity: Human, Mouse, Rat
Applications: IHC-P, FC
Clonality: Monoclonal
Clone number: 15H1
Form: Liquid
Storage condition: Shipped at 4℃. Store at +4℃ short term (1-2 weeks). It is recommended to aliquot into single-use upon delivery. Store at -20℃ long term.
Storage buffer: 1*PBS (pH7.4), 0.2% BSA, 50% Glycerol. Preservative: 0.05% Sodium Azide.
Concentration: 2ug/ul
Purification: Protein G affinity purified.
Molecular weight: 41 kDa (Predicted band size)
Isotype: IgG1
Immunogen: Recombinant protein within Human CD34 aa 32-322 / 385.
Positive control: Rat brain tissue, rat kidney tissue, human liver carcinoma tissue, mouse kidney tissue, human placenta tissue, human endometrium tissue, THP-1.
Subcellular location: Plasma membrane.
Recommended Dilutions:
  IHC-P
  FC

1:200-1:500
1:50-1:100
Uniprot #: SwissProt: P28906 Human | Q64314 Mouse | B1PLB1 Rat
Alternative names: CD34 CD34 antigen CD34 molecule CD34_HUMAN Cluster designation 34 Hematopoietic progenitor cell antigen CD34 HPCA1 Mucosialin OTTHUMP00000034733 OTTHUMP00000034734
Images
EM1901-01_1.jpg Fig1: Immunohistochemical analysis of paraffin-embedded rat brain tissue using anti-CD34 antibody. The section was pre-treated using heat mediated antigen retrieval with Tris-EDTA buffer (pH 9.0) for 20 minutes.The tissues were blocked in 1% BSA for 30 minutes at room temperature, washed with ddH2O and PBS, and then probed with the primary antibody (EM1901-01, 1/200) for 30 minutes at room temperature. The detection was performed using an HRP conjugated compact polymer system. DAB was used as the chromogen. Tissues were counterstained with hematoxylin and mounted with DPX.
EM1901-01_2.jpg Fig2: Immunohistochemical analysis of paraffin-embedded rat kidney tissue using anti-CD34 antibody. The section was pre-treated using heat mediated antigen retrieval with Tris-EDTA buffer (pH 9.0) for 20 minutes.The tissues were blocked in 1% BSA for 30 minutes at room temperature, washed with ddH2O and PBS, and then probed with the primary antibody (EM1901-01, 1/200) for 30 minutes at room temperature. The detection was performed using an HRP conjugated compact polymer system. DAB was used as the chromogen. Tissues were counterstained with hematoxylin and mounted with DPX.
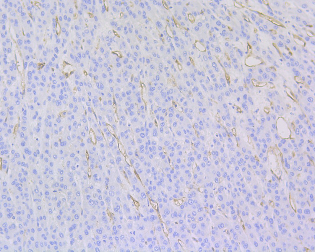
EM1901-01_3.jpg Fig3: Immunohistochemical analysis of paraffin-embedded human liver carcinoma tissue using anti-CD34 antibody. The section was pre-treated using heat mediated antigen retrieval with Tris-EDTA buffer (pH 9.0) for 20 minutes.The tissues were blocked in 1% BSA for 30 minutes at room temperature, washed with ddH2O and PBS, and then probed with the primary antibody (EM1901-01, 1/200) for 30 minutes at room temperature. The detection was performed using an HRP conjugated compact polymer system. DAB was used as the chromogen. Tissues were counterstained with hematoxylin and mounted with DPX.
EM1901-01_4.jpg Fig4: Immunohistochemical analysis of paraffin-embedded mouse kidney tissue using anti-CD34 antibody. The section was pre-treated using heat mediated antigen retrieval with Tris-EDTA buffer (pH 9.0) for 20 minutes.The tissues were blocked in 1% BSA for 30 minutes at room temperature, washed with ddH2O and PBS, and then probed with the primary antibody (EM1901-01, 1/200) for 30 minutes at room temperature. The detection was performed using an HRP conjugated compact polymer system. DAB was used as the chromogen. Tissues were counterstained with hematoxylin and mounted with DPX.
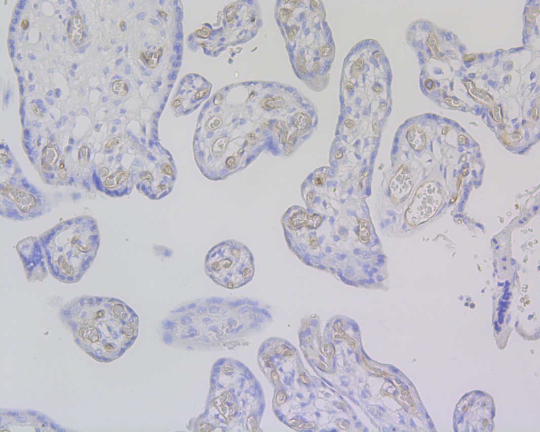
EM1901-01_5.jpg Fig5: Immunohistochemical analysis of paraffin-embedded human placenta tissue using anti-CD34 antibody. The section was pre-treated using heat mediated antigen retrieval with Tris-EDTA buffer (pH 9.0) for 20 minutes.The tissues were blocked in 1% BSA for 30 minutes at room temperature, washed with ddH2O and PBS, and then probed with the primary antibody (EM1901-01, 1/200) for 30 minutes at room temperature. The detection was performed using an HRP conjugated compact polymer system. DAB was used as the chromogen. Tissues were counterstained with hematoxylin and mounted with DPX.
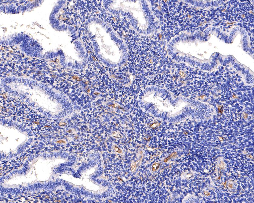
EM1901-01_6.jpg Fig6: Immunohistochemical analysis of paraffin-embedded human endometrium tissue using anti-CD34 antibody. The section was pre-treated using heat mediated antigen retrieval with Tris-EDTA buffer (pH 9.0) for 20 minutes.The tissues were blocked in 1% BSA for 30 minutes at room temperature, washed with ddH2O and PBS, and then probed with the primary antibody (EM1901-01, 1/400) for 30 minutes at room temperature. The detection was performed using an HRP conjugated compact polymer system. DAB was used as the chromogen. Tissues were counterstained with hematoxylin and mounted with DPX.
EM1901-01_7.jpg Fig7: Flow cytometric analysis of CD34 was done on THP-1 cells. The cells were fixed, permeabilized and stained with the primary antibody (EM1901-01, 1/50) (red). After incubation of the primary antibody at room temperature for an hour, the cells were stained with a Alexa Fluor 488-conjugated Goat anti-Mouse IgG Secondary antibody at 1/1000 dilution for 30 minutes.Unlabelled sample was used as a control (cells without incubation with primary antibody; black).
Note: All products are “FOR RESEARCH USE ONLY AND ARE NOT INTENDED FOR DIAGNOSTIC OR THERAPEUTIC USE”.