Antithrombin III / ATIII / SERPINC1 Mouse Monoclonal Antibody [15F1]
cat.: EM1901-11
Product Type: Mouse monoclonal IgG1, primary antibodies
Species reactivity: Human, Mouse, Rat, Zebrafish
Applications: WB, IHC-P, FC
Clonality: Monoclonal
Clone number: 15F1
Form: Liquid
Storage condition: Shipped at 4℃. Store at +4℃ short term (1-2 weeks). It is recommended to aliquot into single-use upon delivery. Store at -20℃ long term.
Storage buffer: 1*PBS (pH7.4), 0.2% BSA, 50% Glycerol. Preservative: 0.05% Sodium Azide.
Concentration: 2ug/ul
Purification: Protein A affinity purified.
Molecular weight: Predicted band size: 53 kDa
Isotype: IgG1
Immunogen: Recombinant protein within Human SERPINC1 aa 150-370 / 464.
Positive control: Mouse liver tissue lysate, HL-60 cell lysates, HepG2 cell lysate, SiHa cell lysate, U937 cell lysate, zebrafish tissue lysates, rat testis tissue, human lung carcinoma tissue, human liver tissue, mouse kidney tissue, HCT116.
Subcellular location: Extracellular space or secreted.
Recommended Dilutions:
  WB
  ICC/ IHC-P
  FC

1:500-1:2,000
1:50-1:200
1:50-1:100
Uniprot #: SwissProt: P01008 Human | P32261 Mouse | Q5M7T5 Rat
Alternative names: ANT3_HUMAN Antithrombin Antithrombin III Antithrombin-III AntithrombinIII AT 3 AT III AT3 AT3D ATIII Heparin cofactor I MGC22579 Serine (or cysteine) proteinase inhibitor clade C (antithrombin) member 1 Serine cysteine proteinase inhibitor clade C member 1 Serine proteinase inhibitor clade C member 1 Serpin C1 Serpin family C member 1 Serpin peptidase inhibitor clade C (antithrombin) member 1 SERPINC1 THPH7
Images
EM1901-11_1.jpg Fig1: Western blot analysis of Antithrombin III / ATIII / SERPINC1 on different lysates with Mouse anti-Antithrombin III / ATIII / SERPINC1 antibody (EM1901-11) at 1/1,000 dilution.

Lane 1: Mouse liver tissue lysate
Lane 2: Mouse brain tissue lysate (low expression)

Lysates/proteins at 20 µg/Lane.

Predicted band size: 53 kDa
Observed band size: 53 kDa

Exposure time: 23 seconds; ECL: K1801;

4-20% SDS-PAGE gel.

Proteins were transferred to a PVDF membrane and blocked with 5% NFDM/TBST for 1 hour at room temperature. The primary antibody (EM1901-11) at 1/1,000 dilution was used in 5% NFDM/TBST at 4℃ overnight. Goat Anti-Mouse IgG - HRP Secondary Antibody (HA1006) at 1/50,000 dilution was used for 1 hour at room temperature.
EM1901-11_2.jpg Fig2: Western blot analysis of Antithrombin III / ATIII / SERPINC1 on HL-60 cell lysates. Proteins were transferred to a PVDF membrane and blocked with 5% BSA in PBS for 1 hour at room temperature. The primary antibody (EM1901-11, 1/500) was used in 5% BSA at room temperature for 2 hours. Goat Anti-Mouse IgG - HRP Secondary Antibody (HA1006) at 1:5,000 dilution was used for 1 hour at room temperature.
EM1901-11_3.jpg Fig3: Western blot analysis of Antithrombin III / ATIII / SERPINC1 on different lysates. Proteins were transferred to a PVDF membrane and blocked with 5% BSA in PBS for 1 hour at room temperature. The primary antibody (EM1901-11, 1/500) was used in 5% BSA at room temperature for 2 hours. Goat Anti-Mouse IgG - HRP Secondary Antibody (HA1006) at 1:5,000 dilution was used for 1 hour at room temperature.
Positive control:
Lane 1: HepG2 cell lysate
Lane 2: SiHa cell lysate
Lane 3: U937 cell lysate
EM1901-11_4.jpg Fig4: Western blot analysis of Antithrombin III / ATIII / SERPINC1 on zebrafish tissue lysates. Proteins were transferred to a PVDF membrane and blocked with 5% BSA in PBS for 1 hour at room temperature. The primary antibody (EM1901-11, 1/500) was used in 5% BSA at room temperature for 2 hours. Goat Anti-Mouse IgG - HRP Secondary Antibody (HA1006) at 1:5,000 dilution was used for 1 hour at room temperature.
EM1901-11_5.jpg Fig5: Immunohistochemical analysis of paraffin-embedded rat testis tissue using anti-Antithrombin III / ATIII / SERPINC1 antibody. The section was pre-treated using heat mediated antigen retrieval with Tris-EDTA buffer (pH 8.0-8.4) for 20 minutes.The tissues were blocked in 5% BSA for 30 minutes at room temperature, washed with ddH2O and PBS, and then probed with the primary antibody (EM1901-11, 1/50) for 30 minutes at room temperature. The detection was performed using an HRP conjugated compact polymer system. DAB was used as the chromogen. Tissues were counterstained with hematoxylin and mounted with DPX.
EM1901-11_6.jpg Fig6: Immunohistochemical analysis of paraffin-embedded human lung carcinoma tissue using anti-Antithrombin III / ATIII / SERPINC1 antibody. The section was pre-treated using heat mediated antigen retrieval with Tris-EDTA buffer (pH 8.0-8.4) for 20 minutes.The tissues were blocked in 5% BSA for 30 minutes at room temperature, washed with ddH2O and PBS, and then probed with the primary antibody (EM1901-11, 1/50) for 30 minutes at room temperature. The detection was performed using an HRP conjugated compact polymer system. DAB was used as the chromogen. Tissues were counterstained with hematoxylin and mounted with DPX.
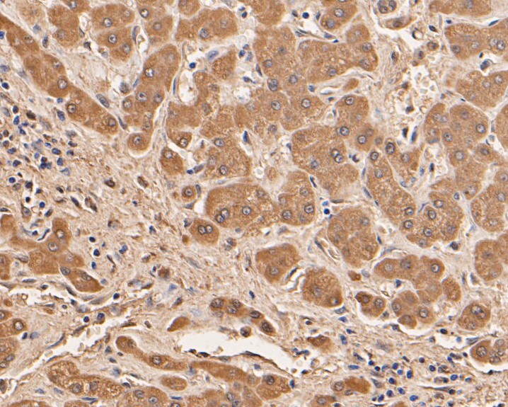
EM1901-11_7.jpg Fig7: Immunohistochemical analysis of paraffin-embedded human liver tissue using anti-Antithrombin III / ATIII / SERPINC1 antibody. The section was pre-treated using heat mediated antigen retrieval with Tris-EDTA buffer (pH 8.0-8.4) for 20 minutes.The tissues were blocked in 5% BSA for 30 minutes at room temperature, washed with ddH2O and PBS, and then probed with the primary antibody (EM1901-11, 1/200) for 30 minutes at room temperature. The detection was performed using an HRP conjugated compact polymer system. DAB was used as the chromogen. Tissues were counterstained with hematoxylin and mounted with DPX.
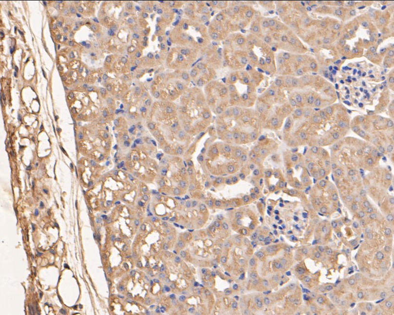
EM1901-11_8.jpg Fig8: Immunohistochemical analysis of paraffin-embedded mouse kidney tissue using anti-Antithrombin III / ATIII / SERPINC1 antibody. The section was pre-treated using heat mediated antigen retrieval with Tris-EDTA buffer (pH 8.0-8.4) for 20 minutes.The tissues were blocked in 5% BSA for 30 minutes at room temperature, washed with ddH2O and PBS, and then probed with the primary antibody (EM1901-11, 1/50) for 30 minutes at room temperature. The detection was performed using an HRP conjugated compact polymer system. DAB was used as the chromogen. Tissues were counterstained with hematoxylin and mounted with DPX.
EM1901-11_9.jpg Fig9: Flow cytometric analysis of Antithrombin III / ATIII / SERPINC1 was done on HCT116 cells. The cells were fixed, permeabilized and stained with the primary antibody (EM1901-11, 1/50) (red). After incubation of the primary antibody at room temperature for an hour, the cells were stained with a Alexa Fluor 488-conjugated Goat anti-Mouse IgG Secondary antibody at 1/1000 dilution for 30 minutes.Unlabelled sample was used as a control (cells without incubation with primary antibody; black).
Note: All products are “FOR RESEARCH USE ONLY AND ARE NOT INTENDED FOR DIAGNOSTIC OR THERAPEUTIC USE”.