C7 Mouse Monoclonal Antibody [15D1]
cat.: EM1901-14
Product Type: Mouse monoclonal IgG1, primary antibodies
Species reactivity: Human, Mouse, Rat
Applications: WB, IF-Cell, FC
Clonality: Monoclonal
Clone number: 15D1
Form: Liquid
Storage condition: Shipped at 4℃. Store at +4℃ short term (1-2 weeks). It is recommended to aliquot into single-use upon delivery. Store at -20℃ long term.
Storage buffer: 1*PBS (pH7.4), 0.2% BSA, 50% Glycerol. Preservative: 0.05% Sodium Azide.
Concentration: 2ug/ul
Purification: Protein A affinity purified.
Molecular weight: 94 kDa
Isotype: IgG1
Immunogen: Recombinant protein within Human C7 aa 498-641 / 843.
Positive control: HepG2 cell lysate, K562 cell lysate, HUVEC cell lysate, HepG2 cells,HCT116 cell, SHG-44 cell.
Subcellular location: Secreted.
Recommended Dilutions:
  WB
  IF-Cell
  IF-Cell/FC

1:500-1:2,000
1:50-1:200
1:50-1:100
Uniprot #: SwissProt: P10643 Human
Alternative names: C7 CO7_HUMAN complement component 7 Complement component C7
Images
EM1901-14_1.jpg Fig1: Western blot analysis of C7 on different lysates. Proteins were transferred to a PVDF membrane and blocked with 5% BSA in PBS for 1 hour at room temperature. The primary antibody (EM1901-14, 1/500) was used in 5% BSA at room temperature for 2 hours. Goat Anti-Mouse IgG - HRP Secondary Antibody (HA1006) at 1:5,000 dilution was used for 1 hour at room temperature.
Positive control:
Lane 1: HepG2 cell lysate
Lane 2: K562 cell lysate
Lane 3: HUVEC cell lysate
EM1901-14_2.jpg Fig2: ICC staining of C7 in HepG2 cells (green). Formalin fixed cells were permeabilized with 0.1% Triton X-100 in TBS for 10 minutes at room temperature and blocked with 1% Blocker BSA for 15 minutes at room temperature. Cells were probed with the primary antibody (EM1901-14, 1/100) for 1 hour at room temperature, washed with PBS. Alexa Fluor®488 Goat anti-Mouse IgG was used as the secondary antibody at 1/1,000 dilution. The nuclear counter stain is DAPI (blue).
EM1901-14_3.jpg Fig3: ICC staining of C7 in HCT116 cells (green). Formalin fixed cells were permeabilized with 0.1% Triton X-100 in TBS for 10 minutes at room temperature and blocked with 1% Blocker BSA for 15 minutes at room temperature. Cells were probed with the primary antibody (EM1901-14, 1/50) for 1 hour at room temperature, washed with PBS. Alexa Fluor®488 Goat anti-Mouse IgG was used as the secondary antibody at 1/1,000 dilution. The nuclear counter stain is DAPI (blue).
EM1901-14_4.jpg Fig4: ICC staining of C7 in SHG-44 cells (green). Formalin fixed cells were permeabilized with 0.1% Triton X-100 in TBS for 10 minutes at room temperature and blocked with 1% Blocker BSA for 15 minutes at room temperature. Cells were probed with the primary antibody (EM1901-14, 1/50) for 1 hour at room temperature, washed with PBS. Alexa Fluor®488 Goat anti-Mouse IgG was used as the secondary antibody at 1/1,000 dilution. The nuclear counter stain is DAPI (blue).
EM1901-14_5.jpg Fig5: Flow cytometric analysis of HCT 116 cells labeling C7.

Cells were fixed and permeabilized. Then stained with the primary antibody (EM1901-14, 1μg/mL) (red) compared with Mouse IgG Isotype Control (green). After incubation of the primary antibody at +4℃ for an hour, the cells were stained with a iFluor™ 488 conjugate-Goat anti-Mouse IgG Secondary antibody (HA1125) at 1/1,000 dilution for 30 minutes at +4℃. Unlabelled sample was used as a control (cells without incubation with primary antibody; black).
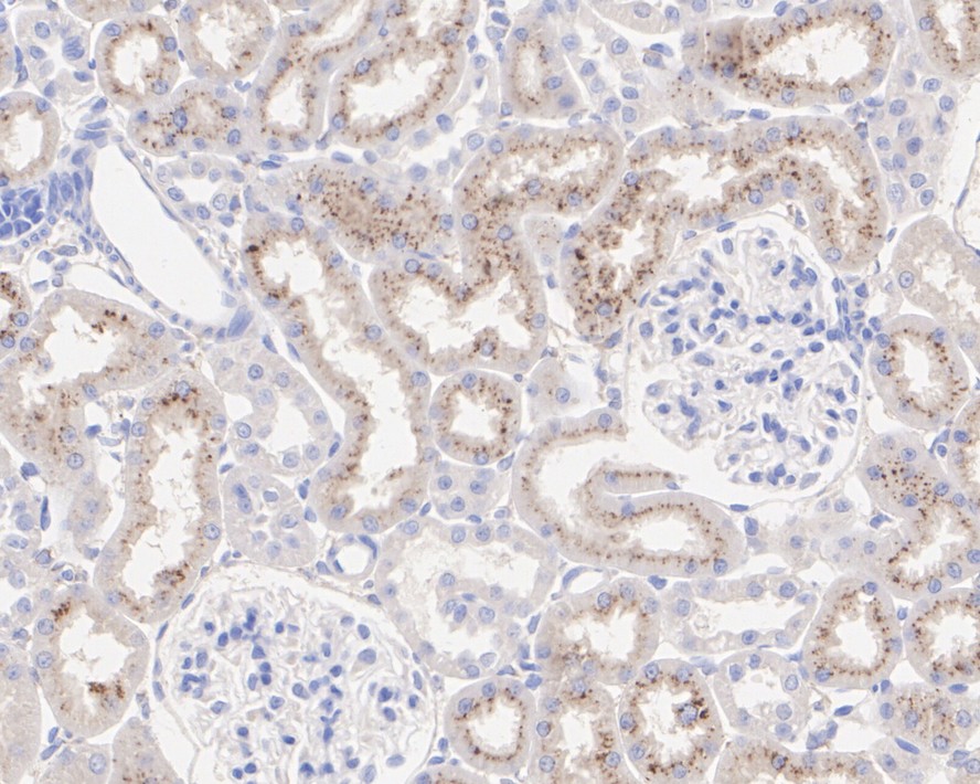
EM1901-14_6.jpg Fig6: Immunohistochemical analysis of paraffin-embedded rat kidney tissue with Mouse anti-C7 antibody (EM1901-14) at 1/1,000 dilution.

The section was pre-treated using heat mediated antigen retrieval with Tris-EDTA buffer (pH 9.0) for 20 minutes. The tissues were blocked in 1% BSA for 20 minutes at room temperature, washed with ddH2O and PBS, and then probed with the primary antibody (EM1901-14) at 1/1,000 dilution for 1 hour at room temperature. The detection was performed using an HRP conjugated compact polymer system. DAB was used as the chromogen. Tissues were counterstained with hematoxylin and mounted with DPX.
Note: All products are “FOR RESEARCH USE ONLY AND ARE NOT INTENDED FOR DIAGNOSTIC OR THERAPEUTIC USE”.