 
	            	| Product Type: | Mouse monoclonal IgG2b, primary antibodies | 
|---|---|
| Species reactivity: | Human | 
| Applications: | WB, IHC-P, FC, IF-Cell | 
| Clonality: | Monoclonal | 
| Clone number: | A2B10 | 
| Form: | Liquid | 
| Storage condition: | Shipped at 4℃. Store at +4℃ short term (1-2 weeks). It is recommended to aliquot into single-use upon delivery. Store at -20℃ long term. | 
| Storage buffer: | 1*PBS (pH7.4), 0.2% BSA, 50% Glycerol. Preservative: 0.05% Sodium Azide. | 
| Concentration: | 2ug/ul | 
| Purification: | Protein G affinity purified. | 
| Molecular weight: | Predicted band size: 48 kDa | 
| Isotype: | IgG2b | 
| Immunogen: | Synthetic peptide within Human Cytokeratin 17 aa 383-432 / 432. | 
| Positive control: | HeLa cell lysate, A431 cell lysate, MCF7 cell lysate, HepG2 cell lysate, HeLa, human cervical cancer tissue, human lung adenocarcinoma tissue, human skin tissue, SiHa. | 
| Subcellular location: | Cytoplasm. | 
| Recommended Dilutions: WB IHC-P FC IF-Cell | 1:500-1:2,000 1:50-1:200 1:50-1:100 1:200 | 
| Uniprot #: | SwissProt: Q04695 Human | 
| Alternative names: | 39.1 CK 17 CK17 CK-17 Cytokeratin-17 K17 K1C17_HUMAN Keratin 17 keratin 17 epitope S1 keratin 17 epitope S2 keratin 17 epitope S4 Keratin 17, type I Keratin Keratin type I cytoskeletal 17 keratin, type i cytoskeletal 17 [version 1] Keratin-17 KRT17 PC PC2 PCHC1 type I cytoskeletal 17 | 
|   | Fig1:
	        				Western blot analysis of Cytokeratin 17 on different lysates with Mouse anti-Cytokeratin 17 antibody (EM1901-29) at 1/1,000 dilution. Lane 1: HeLa cell lysate Lane 2: A431 cell lysate Lane 3: MCF7 cell lysate (negative) Lane 4: HepG2 cell lysate Lysates/proteins at 20 µg/Lane. Predicted band size: 48 kDa Observed band size: 48 kDa Exposure time: 5 seconds; 4-20% SDS-PAGE gel. Proteins were transferred to a PVDF membrane and blocked with 5% NFDM/TBST for 1 hour at room temperature. The primary antibody (EM1901-29) at 1/1,000 dilution was used in 5% NFDM/TBST at 4℃ overnight. Goat Anti-Mouse IgG - HRP Secondary Antibody (HA1006) at 1/50,000 dilution was used for 1 hour at room temperature. | 
|   | Fig2:
	        				Immunocytochemistry analysis of HeLa cells labeling Cytokeratin 17 with Mouse anti-Cytokeratin 17 antibody (EM1901-29) at 1/200 dilution. Cells were fixed in 4% paraformaldehyde for 20 minutes at room temperature, permeabilized with 0.1% Triton X-100 in PBS for 5 minutes at room temperature, then blocked with 1% BSA in 10% negative goat serum for 1 hour at room temperature. Cells were then incubated with Mouse anti-Cytokeratin 17 antibody (EM1901-29) at 1/200 dilution in 1% BSA in PBST overnight at 4 ℃. Goat Anti-Mouse IgG H&L (iFluor™ 488, HA1125) was used as the secondary antibody at 1/1,000 dilution. PBS instead of the primary antibody was used as the secondary antibody only control. Nuclear DNA was labelled in blue with DAPI. beta Tubulin (ET1602-4, red) was stained at 1/100 dilution overnight at +4℃. Goat Anti-Rabbit IgG H&L (iFluor™ 594, HA1122) were used as the secondary antibody at 1/1,000 dilution. | 
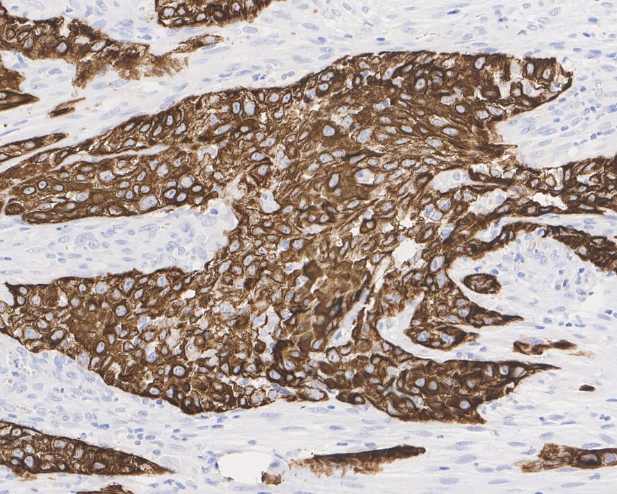
|   | Fig3:
		        				Immunohistochemical analysis of paraffin-embedded human cervical cancer tissue with Mouse anti-Cytokeratin 17 antibody (EM1901-29) at 1/1,000 dilution. The section was pre-treated using heat mediated antigen retrieval with Tris-EDTA buffer (pH 9.0) for 20 minutes. The tissues were blocked in 1% BSA for 20 minutes at room temperature, washed with ddH2O and PBS, and then probed with the primary antibody (EM1901-29) at 1/1,000 dilution for 1 hour at room temperature. The detection was performed using an HRP conjugated compact polymer system. DAB was used as the chromogen. Tissues were counterstained with hematoxylin and mounted with DPX. | 
|   | Fig4:
		        				Immunohistochemical analysis of paraffin-embedded human lung adenocarcinoma tissue with Mouse anti-Cytokeratin 17 antibody (EM1901-29) at 1/1,000 dilution. The section was pre-treated using heat mediated antigen retrieval with Tris-EDTA buffer (pH 9.0) for 20 minutes. The tissues were blocked in 1% BSA for 20 minutes at room temperature, washed with ddH2O and PBS, and then probed with the primary antibody (EM1901-29) at 1/1,000 dilution for 1 hour at room temperature. The detection was performed using an HRP conjugated compact polymer system. DAB was used as the chromogen. Tissues were counterstained with hematoxylin and mounted with DPX. | 
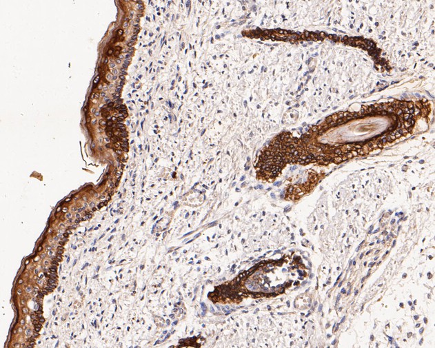
|   | Fig5: Immunohistochemical analysis of paraffin-embedded human skin tissue using anti-Cytokeratin 17 antibody. The section was pre-treated using heat mediated antigen retrieval with Tris-EDTA buffer (pH 8.0-8.4) for 20 minutes.The tissues were blocked in 5% BSA for 30 minutes at room temperature, washed with ddH2O and PBS, and then probed with the primary antibody (EM1901-29, 1/50) for 30 minutes at room temperature. The detection was performed using an HRP conjugated compact polymer system. DAB was used as the chromogen. Tissues were counterstained with hematoxylin and mounted with DPX. | 
|   | Fig6: Flow cytometric analysis of Cytokeratin 17 was done on SiHa cells. The cells were fixed, permeabilized and stained with the primary antibody (EM1901-29, 1/100) (red). After incubation of the primary antibody at room temperature for an hour, the cells were stained with a Alexa Fluor 488-conjugated goat anti-Mouse IgG Secondary antibody at 1/500 dilution for 30 minutes.Unlabelled sample was used as a control (cells without incubation with primary antibody; black). |