UBA3 Mouse Monoclonal Antibody [1B6-6-5]
cat.: EM1901-64
Product Type: Mouse monoclonal IgG1, primary antibodies
Species reactivity: Human, Rat
Applications: WB, IHC-P, FC
Clonality: Monoclonal
Clone number: 1B6-6-5
Form: Liquid
Storage condition: Shipped at 4℃. Store at +4℃ short term (1-2 weeks). It is recommended to aliquot into single-use upon delivery. Store at -20℃ long term.
Storage buffer: 1*PBS (pH7.4), 0.2% BSA, 50% Glycerol. Preservative: 0.05% Sodium Azide.
Concentration: 2ug/ul
Purification: Protein A affinity purified.
Molecular weight: Predicted band size: 52 kDa
Isotype: IgG1
Immunogen: Recombinant protein within Human UBA3 aa 220-424 / 463.
Positive control: 293T cell lysates, 293 cell lysate, HL-60 cell lysate, human lung tissue, human lung carcinoma tissue, human breast carcinoma tissue, SiHa.
Subcellular location: Cytoplasm, cytosol, nucleus.
Recommended Dilutions:
  WB
  IHC-P
  FC

1:500-1:2,000
1:50-1:200
1:50-1:100
Uniprot #: SwissProt: Q8TBC4 Human
Alternative names: DKFZp566J164 EC 6.3.2. hUba3 MGC22384 NEDD8 activating enzyme E1 catalytic subunit NEDD8 activating enzyme E1C Nedd8 activating enzyme hUba3 NEDD8-activating enzyme E1 catalytic subunit NEDD8-activating enzyme E1C uba3 UBA3 ubiquitin activating enzyme E1 homolog UBA3_HUMAN UBE1C Ubiquitin activating enzyme 3 Ubiquitin activating enzyme E1C Ubiquitin-activating enzyme 3 Ubiquitin-activating enzyme E1C Ubiquitin-like modifier-activating enzyme 3
Images
EM1901-64_1.jpg Fig1: Western blot analysis of UBA3 on 293T cell lysates. Proteins were transferred to a PVDF membrane and blocked with 5% BSA in PBS for 1 hour at room temperature. The primary antibody (EM1901-64, 1/500) was used in 5% BSA at room temperature for 2 hours. Goat Anti-Mouse IgG - HRP Secondary Antibody (HA1006) at 1:5,000 dilution was used for 1 hour at room temperature.
EM1901-64_2.jpg Fig2: Western blot analysis of UBA3 on different lysates with Mouse anti-UBA3 antibody (EM1901-64) at 1/500 dilution.

Lane 1: 293 cell lysate
Lane 2: HL-60 cell lysate

Lysates/proteins at 10 µg/Lane.

Predicted band size: 52 kDa
Observed band size: 52 kDa

Exposure time: 2 minutes;

10% SDS-PAGE gel.

Proteins were transferred to a PVDF membrane and blocked with 5% NFDM/TBST for 1 hour at room temperature. The primary antibody (EM1901-64) at 1/500 dilution was used in 5% NFDM/TBST at room temperature for 2 hours. Goat Anti-Mouse IgG - HRP Secondary Antibody (HA1006) at 1:150,000 dilution was used for 1 hour at room temperature.
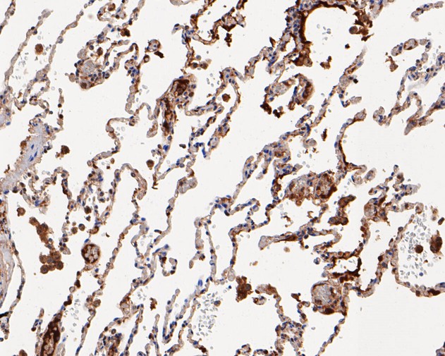
EM1901-64_3.jpg Fig3: Immunohistochemical analysis of paraffin-embedded human lung tissue using anti-UBA3 antibody. The section was pre-treated using heat mediated antigen retrieval with sodium citrate buffer (pH 6.0) for 20 minutes. The tissues were blocked in 5% BSA for 30 minutes at room temperature, washed with ddH2O and PBS, and then probed with the primary antibody (EM1901-64, 1/200) for 30 minutes at room temperature. The detection was performed using an HRP conjugated compact polymer system. DAB was used as the chromogen. Tissues were counterstained with hematoxylin and mounted with DPX.
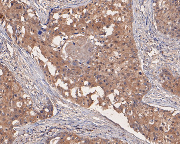
EM1901-64_4.jpg Fig4: Immunohistochemical analysis of paraffin-embedded human lung carcinoma tissue using anti-UBA3 antibody. The section was pre-treated using heat mediated antigen retrieval with sodium citrate buffer (pH 6.0) for 20 minutes. The tissues were blocked in 5% BSA for 30 minutes at room temperature, washed with ddH2O and PBS, and then probed with the primary antibody (EM1901-64, 1/200) for 30 minutes at room temperature. The detection was performed using an HRP conjugated compact polymer system. DAB was used as the chromogen. Tissues were counterstained with hematoxylin and mounted with DPX.
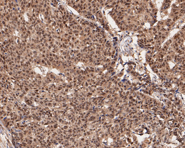
EM1901-64_5.jpg Fig5: Immunohistochemical analysis of paraffin-embedded human breast carcinoma tissue using anti-UBA3 antibody. The section was pre-treated using heat mediated antigen retrieval with sodium citrate buffer (pH 6.0) for 20 minutes. The tissues were blocked in 5% BSA for 30 minutes at room temperature, washed with ddH2O and PBS, and then probed with the primary antibody (EM1901-64, 1/200) for 30 minutes at room temperature. The detection was performed using an HRP conjugated compact polymer system. DAB was used as the chromogen. Tissues were counterstained with hematoxylin and mounted with DPX.
EM1901-64_6.jpg Fig6: Flow cytometric analysis of UBA3 was done on SiHa cells. The cells were fixed, permeabilized and stained with the primary antibody (EM1901-64, 1/50) (red). After incubation of the primary antibody at room temperature for an hour, the cells were stained with a Alexa Fluor 488-conjugated Goat anti-Mouse IgG Secondary antibody at 1/1,000 dilution for 30 minutes.Unlabelled sample was used as a control (cells without incubation with primary antibody; black).
Note: All products are “FOR RESEARCH USE ONLY AND ARE NOT INTENDED FOR DIAGNOSTIC OR THERAPEUTIC USE”.