ROBO1 Mouse Monoclonal Antibody [10E2]
cat.: EM1901-72
Product Type: Mouse monoclonal IgG1, primary antibodies
Species reactivity: Human, Mouse, Rat
Applications: WB, IHC-P
Clonality: Monoclonal
Clone number: 10E2
Form: Liquid
Storage condition: Shipped at 4℃. Store at +4℃ short term (1-2 weeks). It is recommended to aliquot into single-use upon delivery. Store at -20℃ long term.
Storage buffer: 1*PBS (pH7.4), 0.2% BSA, 50% Glycerol. Preservative: 0.05% Sodium Azide.
Concentration: 2ug/ul
Purification: Protein G affinity purified.
Molecular weight: Predicted band size: 181 kDa
Isotype: IgG1
Immunogen: Recombinant protein within Human ROBO1 aa 41-286 / 1,651.
Positive control: 293T cell lysate, Hela cell lysate, PC-3 cell lysate, human breast tissue, human placenta tissue, mouse brain tissue, rat brain tissue.
Subcellular location: Cell membrane, Cell projection, axon, Endoplasmic reticulum-Golgi intermediate compartment membrane, cytoplasm.
Recommended Dilutions:
  WB
  IHC-P

1:1,000-1:5,000
1:50-1:1,000
Uniprot #: SwissProt: Q9Y6N7 Human | O89026 Mouse | O55005 Rat
Alternative names: Deleted in U twenty twenty DUTT 1 DUTT1 FLJ21882 H Robo 1 H-Robo-1 hRobo 1 Robo 1 Robo1 ROBO1_HUMAN Roundabout 1 Roundabout axon guidance receptor homolog 1 Roundabout homolog 1 Roundabout homolog1 precurser Roundabout1 SAX 3 SAX3
Images
EM1901-72_1.jpg Fig1: Western blot analysis of ROBO1 on different lysates with Mouse anti-ROBO1 antibody (EM1901-72) at 1/500 dilution.

Lane 1: 293T cell lysate
Lane 2: Hela cell lysate
Lane 3: PC-3 cell lysate

Lysates/proteins at 10 µg/Lane.

Predicted band size: 181 kDa
Observed band size: 181 kDa

Exposure time: 30 seconds;
6% SDS-PAGE gel.

Proteins were transferred to a PVDF membrane and blocked with 5% NFDM/TBST for 1 hour at room temperature. The primary antibody (EM1901-72) at 1/500 dilution was used in 5% NFDM/TBST at room temperature for 2 hours. Goat Anti-Mouse IgG - HRP Secondary Antibody (HA1006) at 1:100,000 dilution was used for 1 hour at room temperature.
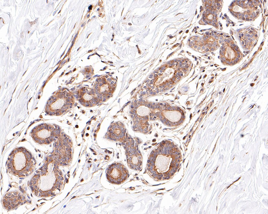
EM1901-72_2.jpg Fig2: Immunohistochemical analysis of paraffin-embedded human breast tissue with Mouse anti-ROBO1 antibody (EM1901-72) at 1/600 dilution.

The section was pre-treated using heat mediated antigen retrieval with Tris-EDTA buffer (pH 9.0) for 20 minutes. The tissues were blocked in 1% BSA for 20 minutes at room temperature, washed with ddH2O and PBS, and then probed with the primary antibody (EM1901-72) at 1/600 dilution for 1 hour at room temperature. The detection was performed using an HRP conjugated compact polymer system. DAB was used as the chromogen. Tissues were counterstained with hematoxylin and mounted with DPX.
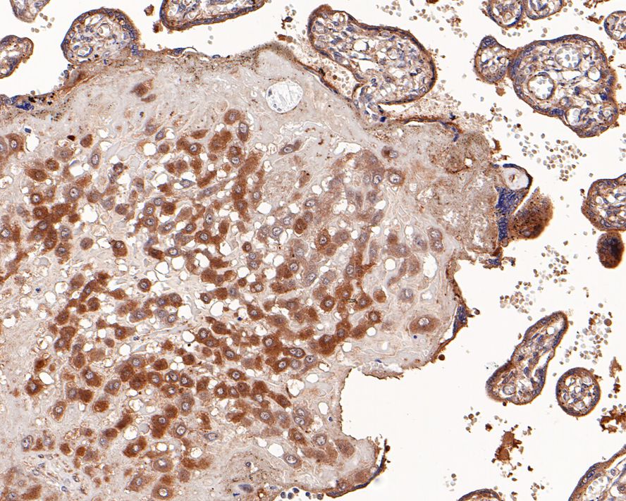
EM1901-72_3.jpg Fig3: Immunohistochemical analysis of paraffin-embedded human placenta tissue with Mouse anti-ROBO1 antibody (EM1901-72) at 1/200 dilution.

The section was pre-treated using heat mediated antigen retrieval with Tris-EDTA buffer (pH 9.0) for 20 minutes. The tissues were blocked in 1% BSA for 20 minutes at room temperature, washed with ddH2O and PBS, and then probed with the primary antibody (EM1901-72) at 1/200 dilution for 1 hour at room temperature. The detection was performed using an HRP conjugated compact polymer system. DAB was used as the chromogen. Tissues were counterstained with hematoxylin and mounted with DPX.
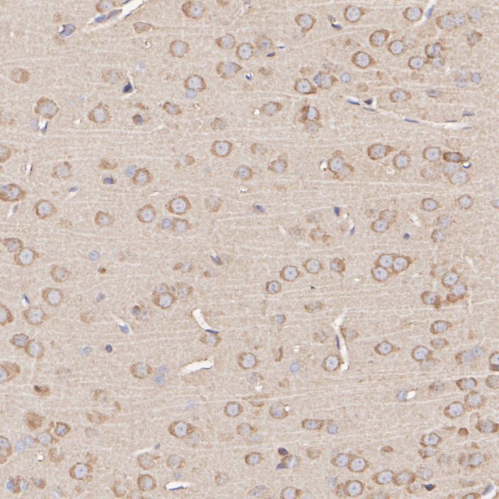
EM1901-72_4.jpg Fig4: Immunohistochemical analysis of paraffin-embedded mouse brain tissue using anti-ROBO1 antibody. The section was pre-treated using heat mediated antigen retrieval with Tris-EDTA buffer (pH 8.0-8.4) for 20 minutes.The tissues were blocked in 5% BSA for 30 minutes at room temperature, washed with ddH2O and PBS, and then probed with the primary antibody (EM1901-72, 1/100) for 30 minutes at room temperature. The detection was performed using an HRP conjugated compact polymer system. DAB was used as the chromogen. Tissues were counterstained with hematoxylin and mounted with DPX.
EM1901-72_5.jpg Fig5: Immunohistochemical analysis of paraffin-embedded rat brain tissue with Mouse anti-ROBO1 antibody (EM1901-72) at 1/1,000 dilution.

The section was pre-treated using heat mediated antigen retrieval with Tris-EDTA buffer (pH 9.0) for 20 minutes. The tissues were blocked in 1% BSA for 20 minutes at room temperature, washed with ddH2O and PBS, and then probed with the primary antibody (EM1901-72) at 1/1,000 dilution for 1 hour at room temperature. The detection was performed using an HRP conjugated compact polymer system. DAB was used as the chromogen. Tissues were counterstained with hematoxylin and mounted with DPX.
Note: All products are “FOR RESEARCH USE ONLY AND ARE NOT INTENDED FOR DIAGNOSTIC OR THERAPEUTIC USE”.