Albumin Mouse Monoclonal Antibody [C5-A8]
cat.: EM1901-80
Product Type: Mouse monoclonal IgG1, primary antibodies
Species reactivity: Human, Rat
Applications: WB, IHC-P, FC, ELISA
Clonality: Monoclonal
Clone number: C5-A8
Form: Liquid
Storage condition: Shipped at 4℃. Store at +4℃ short term (1-2 weeks). It is recommended to aliquot into single-use upon delivery. Store at -20℃ long term.
Storage buffer: 1*PBS (pH7.4), 0.2% BSA, 50% Glycerol. Preservative: 0.05% Sodium Azide.
Concentration: 2ug/ul
Purification: Protein A affinity purified.
Molecular weight: Predicted band size: 69 kDa
Isotype: IgG1
Immunogen: Native protein.
Positive control: Human plasma tissue lysate, HepG2 cell lysate, rat kidney tissue, human prostate cancer tissue, human placenta tissue, HepG2.
Subcellular location: Secreted.
Recommended Dilutions:
  WB
  IHC-P
  FC
  ELISA

1:10,000-1:100,000
1:50-1:100
1:50-1:100
Use at an assay dependent concentration.
Uniprot #: SwissProt: P02768 Human | P02770 Rat
Alternative names: alb ALBU_HUMAN Albumin (32 AA) Albumin (AA 34) Albumin Analbuminemia Bisalbuminemia Cell growth inhibiting protein 42 DKFZp779N1935 Dysalbuminemic hyperthyroxinemia Growth inhibiting protein 20 HSA Hyperthyroxinemia dysalbuminemic PRO0883 PRO0903 PRO1341 Serum albumin
Images
EM1901-80_1.jpg Fig1: Western blot analysis of Albumin on different lysates. Proteins were transferred to a PVDF membrane and blocked with 5% BSA in PBS for 1 hour at room temperature. The primary antibody (EM1901-80, 1/50000) was used in 5% BSA at room temperature for 2 hours. Goat Anti-Mouse IgG - HRP Secondary Antibody (HA1006) at 1:5,000 dilution was used for 1 hour at room temperature.
Positive control:
Lane 1: Human plasma sample
Lane 2: HepG2 cell lysate
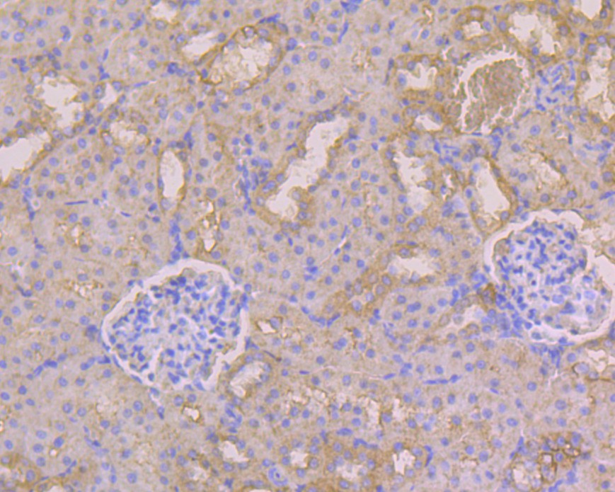
EM1901-80_2.jpg Fig2: Immunohistochemical analysis of paraffin-embedded rat kidney tissue using anti-Albumin antibody. The section was pre-treated using heat mediated antigen retrieval with Tris-EDTA buffer (pH 8.0-8.4) for 20 minutes.The tissues were blocked in 5% BSA for 30 minutes at room temperature, washed with ddH2O and PBS, and then probed with the primary antibody (EM1901-80, 1/50) for 30 minutes at room temperature. The detection was performed using an HRP conjugated compact polymer system. DAB was used as the chromogen. Tissues were counterstained with hematoxylin and mounted with DPX.
EM1901-80_3.jpg Fig3: Immunohistochemical analysis of paraffin-embedded human prostate cancer tissue using anti-Albumin antibody. The section was pre-treated using heat mediated antigen retrieval with Tris-EDTA buffer (pH 8.0-8.4) for 20 minutes.The tissues were blocked in 5% BSA for 30 minutes at room temperature, washed with ddH2O and PBS, and then probed with the primary antibody (EM1901-80, 1/100) for 30 minutes at room temperature. The detection was performed using an HRP conjugated compact polymer system. DAB was used as the chromogen. Tissues were counterstained with hematoxylin and mounted with DPX.
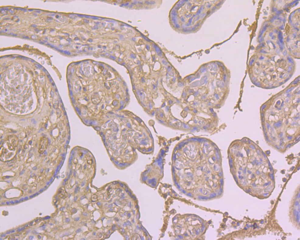
EM1901-80_4.jpg Fig4: Immunohistochemical analysis of paraffin-embedded human placenta tissue using anti-Albumin antibody. The section was pre-treated using heat mediated antigen retrieval with Tris-EDTA buffer (pH 8.0-8.4) for 20 minutes.The tissues were blocked in 5% BSA for 30 minutes at room temperature, washed with ddH2O and PBS, and then probed with the primary antibody (EM1901-80, 1/100) for 30 minutes at room temperature. The detection was performed using an HRP conjugated compact polymer system. DAB was used as the chromogen. Tissues were counterstained with hematoxylin and mounted with DPX.
EM1901-80_5.jpg Fig5: Flow cytometric analysis of Albumin was done on HepG2 cells. The cells were fixed, permeabilized and stained with the primary antibody (EM1901-80, 1/100) (red). After incubation of the primary antibody at room temperature for an hour, the cells were stained with a Alexa FluorTM488 Goat anti-Mouse IgG Secondary antibody at 1/500 dilution for 30 minutes.Unlabelled sample was used as a control (cells without incubation with primary antibody; black).
Note: All products are “FOR RESEARCH USE ONLY AND ARE NOT INTENDED FOR DIAGNOSTIC OR THERAPEUTIC USE”.