CD1a Mouse Monoclonal Antibody [A3F9]
cat.: EM1901-89
Product Type: Mouse monoclonal IgG1, primary antibodies
Species reactivity: Human
Applications: WB, IHC-P
Clonality: Monoclonal
Clone number: A3F9
Form: Liquid
Storage condition: Shipped at 4℃. Store at +4℃ short term (1-2 weeks). It is recommended to aliquot into single-use upon delivery. Store at -20℃ long term.
Storage buffer: 1*PBS (pH7.4), 0.2% BSA, 50% Glycerol. Preservative: 0.05% Sodium Azide.
Concentration: 2ug/ul
Purification: Protein G affinity purified.
Molecular weight: Predicted band size: 37 kDa
Isotype: IgG1
Immunogen: Recombinant protein within human CD1a aa 50-250.
Positive control: K562 cell lysates, human skin tissue.
Subcellular location: Cell membrane, endosome membrane, membrane raft.
Recommended Dilutions:
  WB
  IHC-P

1:500-1:1,000
1:1,000
Uniprot #: SwissProt: P06126 Human
Alternative names: CD 1a CD1 CD1a CD1A Antigen CD1A antigen, a polypeptide CD1a molecule CD1A_HUMAN cluster of differentiation 1 A cortical thymocyte antigen CD1A differentiation antigen CD1 alpha 3 epidermal dendritic cell marker CD1a FCB 6 FCB6 HTA 1 HTA1 hTa1 thymocyte antigen OTTHUMP00000018907 R 4 R4 T 6 T-cell surface antigen T6/Leu-6 T-cell surface glycoprotein CD1a T6
Images
EM1901-89_1.jpg Fig1: Western blot analysis of CD1a on K562 cell lysates. Proteins were transferred to a PVDF membrane and blocked with 5% BSA in PBS for 1 hour at room temperature. The primary antibody (EM1901-89, 1/500) was used in 5% BSA at room temperature for 2 hours. Goat Anti-Mouse IgG - HRP Secondary Antibody (HA1006) at 1:5,000 dilution was used for 1 hour at room temperature.
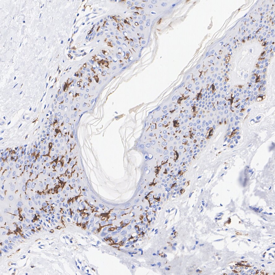
EM1901-89_2.jpg Fig2: Immunohistochemical analysis of paraffin-embedded human skin tissue with Mouse anti-CD1a antibody (EM1901-89) at 1/1,000 dilution.

The section was pre-treated using heat mediated antigen retrieval with Tris-EDTA buffer (pH 9.0) for 20 minutes. The tissues were blocked in 1% BSA for 20 minutes at room temperature, washed with ddH2O and PBS, and then probed with the primary antibody (EM1901-89) at 1/1,000 dilution for 1 hour at room temperature. The detection was performed using an HRP conjugated compact polymer system. DAB was used as the chromogen. Tissues were counterstained with hematoxylin and mounted with DPX.
Note: All products are “FOR RESEARCH USE ONLY AND ARE NOT INTENDED FOR DIAGNOSTIC OR THERAPEUTIC USE”.