CD68 Mouse Monoclonal Antibody [A3C2]
cat.: EM1901-93
Product Type: Mouse monoclonal IgG1, primary antibodies
Species reactivity: Human
Applications: WB, IHC-P, FC
Clonality: Monoclonal
Clone number: A3C2
Form: Liquid
Storage condition: Shipped at 4℃. Store at +4℃ short term (1-2 weeks). It is recommended to aliquot into single-use upon delivery. Store at -20℃ long term.
Storage buffer: 1*PBS (pH7.4), 0.2% BSA, 50% Glycerol. Preservative: 0.05% Sodium Azide.
Concentration: 2ug/ul
Purification: Protein G affinity purified.
Molecular weight: Predicted band size: 37 kDa.
Isotype: IgG1
Immunogen: Synthetic peptide within human CD68 aa 320-354.
Positive control: A431 cell lysate, THP-1 cell lysate, U-937 cell lysate, human tonsil tissue, human spleen tissue, human liver tissue, human hepatic carcinoma tissue, THP-1.
Subcellular location: Cell membrane. Endosome membrane, lysosome membrane.
Recommended Dilutions:
  WB
  IHC-P
  FC

1:500-1:1,000
1:50-1:200
1:50-1:100
Uniprot #: SwissProt: P34810 Human
Alternative names: CD 68 CD68 CD68 antigen CD68 molecule CD68_HUMAN DKFZp686M18236 gp11 Gp110 LAMP4 Macrophage antigen CD68 (microsialin) MACROPHAGE ANTIGEN CD68 Macrosialin SCARD1 Scavenger receptor class D member 1
Images
EM1901-93_1.jpg Fig1: Western blot analysis of CD68 on different lysates with Mouse anti-CD68 antibody (EM1901-93) at 1/1,000 dilution.

Lane 1: A431 cell lysate
Lane 2: THP-1 cell lysate
Lane 3: U-937 cell lysate
Lane 4: Jurkat cell lysate (negative)

Lysates/proteins at 20 µg/Lane.

Predicted band size: 37 kDa
Observed band size: 100-150 kDa

Exposure time: 1 minute 4 seconds;

4-20% SDS-PAGE gel.

Proteins were transferred to a PVDF membrane and blocked with 5% NFDM/TBST for 1 hour at room temperature. The primary antibody (EM1901-93) at 1/1,000 dilution was used in 5% NFDM/TBST at 4℃ overnight. Goat Anti-Mouse IgG - HRP Secondary Antibody (HA1006) at 1/50,000 dilution was used for 1 hour at room temperature.
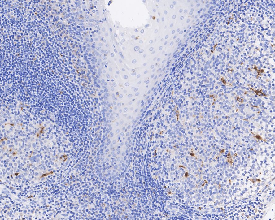
EM1901-93_2.jpg Fig2: Immunohistochemical analysis of paraffin-embedded human tonsil tissue with Mouse anti-CD68 antibody (EM1901-93) at 1/1,000 dilution.

The section was pre-treated using heat mediated antigen retrieval with Tris-EDTA buffer (pH 9.0) for 20 minutes. The tissues were blocked in 1% BSA for 20 minutes at room temperature, washed with ddH2O and PBS, and then probed with the primary antibody (EM1901-93) at 1/1,000 dilution for 1 hour at room temperature. The detection was performed using an HRP conjugated compact polymer system. DAB was used as the chromogen. Tissues were counterstained with hematoxylin and mounted with DPX.
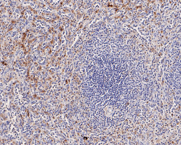
EM1901-93_3.jpg Fig3: Immunohistochemical analysis of paraffin-embedded human spleen tissue using anti-CD68 antibody. The section was pre-treated using heat mediated antigen retrieval with Tris-EDTA buffer (pH 8.0-8.4) for 20 minutes.The tissues were blocked in 5% BSA for 30 minutes at room temperature, washed with ddH2O and PBS, and then probed with the primary antibody (EM1901-93, 1/200) for 30 minutes at room temperature. The detection was performed using an HRP conjugated compact polymer system. DAB was used as the chromogen. Tissues were counterstained with hematoxylin and mounted with DPX.
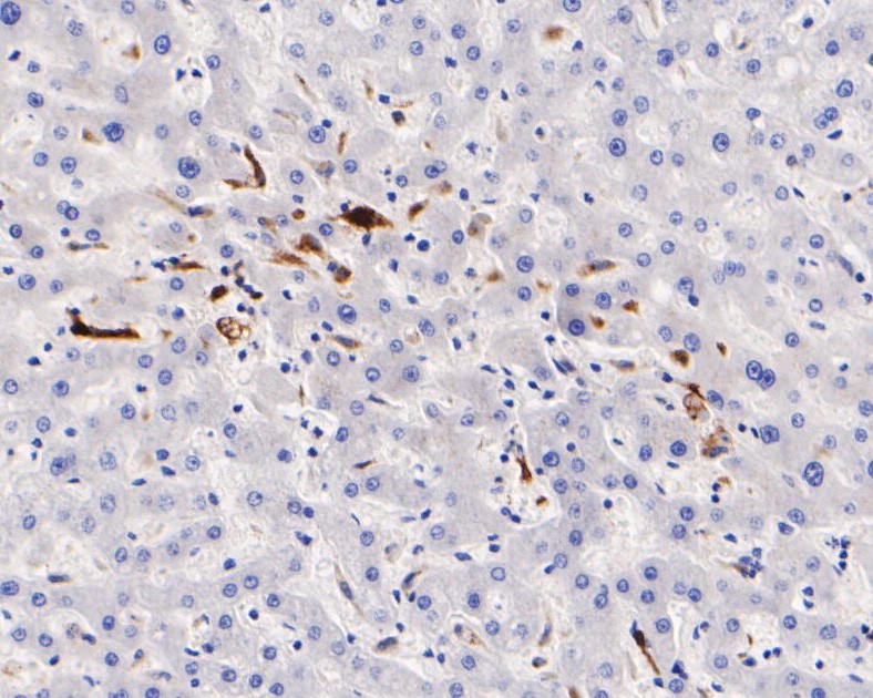
EM1901-93_4.jpg Fig4: Immunohistochemical analysis of paraffin-embedded human liver tissue using anti-CD68 antibody. The section was pre-treated using heat mediated antigen retrieval with Tris-EDTA buffer (pH 8.0-8.4) for 20 minutes.The tissues were blocked in 5% BSA for 30 minutes at room temperature, washed with ddH2O and PBS, and then probed with the primary antibody (EM1901-93, 1/200) for 30 minutes at room temperature. The detection was performed using an HRP conjugated compact polymer system. DAB was used as the chromogen. Tissues were counterstained with hematoxylin and mounted with DPX.
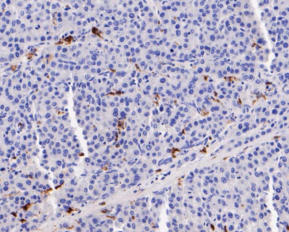
EM1901-93_5.jpg Fig5: Immunohistochemical analysis of paraffin-embedded human hepatic carcinoma tissue using anti-CD68 antibody. The section was pre-treated using heat mediated antigen retrieval with Tris-EDTA buffer (pH 8.0-8.4) for 20 minutes.The tissues were blocked in 5% BSA for 30 minutes at room temperature, washed with ddH2O and PBS, and then probed with the primary antibody (EM1901-93, 1/200) for 30 minutes at room temperature. The detection was performed using an HRP conjugated compact polymer system. DAB was used as the chromogen. Tissues were counterstained with hematoxylin and mounted with DPX.
EM1901-93_6.jpg Fig6: Flow cytometric analysis of CD68 was done on THP-1 cells. The cells were fixed, permeabilized and stained with the primary antibody (EM1901-93, 1/50) (red). After incubation of the primary antibody at room temperature for an hour, the cells were stained with a Alexa Fluor 488-conjugated Goat anti-Mouse IgG Secondary antibody at 1/1000 dilution for 30 minutes.Unlabelled sample was used as a control (cells without incubation with primary antibody; black).
Note: All products are “FOR RESEARCH USE ONLY AND ARE NOT INTENDED FOR DIAGNOSTIC OR THERAPEUTIC USE”.