 
	            	| Product Type: | Mouse monoclonal IgG1, primary antibodies | 
|---|---|
| Species reactivity: | Human | 
| Applications: | WB, FC, IHC-P | 
| Clonality: | Monoclonal | 
| Clone number: | A3D12 | 
| Form: | Liquid | 
| Storage condition: | Shipped at 4℃. Store at +4℃ short term (1-2 weeks). It is recommended to aliquot into single-use upon delivery. Store at -20℃ long term. | 
| Storage buffer: | 1*PBS (pH7.4), 0.2% BSA, 50% Glycerol. Preservative: 0.05% Sodium Azide. | 
| Concentration: | 2ug/ul | 
| Purification: | Protein G affinity purified. | 
| Molecular weight: | 48 kDa | 
| Isotype: | IgG1 | 
| Immunogen: | Synthetic peptide within Human Cytokeratin 20 aa 29-78 / 424. | 
| Positive control: | Lovo cell lysates, human small intestine tissue, human colon carcinoma tissue, human stomach carcinoma tissue, JAR. | 
| Subcellular location: | Cytoplasm. | 
| Recommended Dilutions: WB FC | 1:500-1:1,000 1:50-1:100 | 
| Uniprot #: | SwissProt: P35900 Human | 
| Alternative names: | CK 20 CK-20 CK20 Cytokeratin-20 Cytokeratin20 K1C20_HUMAN K20 KA20 Keratin 20 keratin 20, type I keratin 21, rat, homolog of Keratin Keratin type I cytoskeletal 20 Keratin-20 Keratin20 KRT 20 KRT 21 KRT20 KRT21 MGC35423 OTTHUMP00000164518 Protein IT type I cytoskeletal 20 | 
|   | Fig1: Western blot analysis of Cytokeratin 20 on Lovo cell lysates. Proteins were transferred to a PVDF membrane and blocked with 5% BSA in PBS for 1 hour at room temperature. The primary antibody (EM1901-96, 1/500) was used in 5% BSA at room temperature for 2 hours. Goat Anti-Mouse IgG - HRP Secondary Antibody (HA1006) at 1:5,000 dilution was used for 1 hour at room temperature. | 
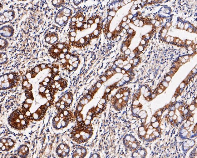
|   | Fig2: Immunohistochemical analysis of paraffin-embedded human small intestine tissue using anti-Cytokeratin 20 antibody. The section was pre-treated using heat mediated antigen retrieval with Tris-EDTA buffer (pH 8.0-8.4) for 20 minutes.The tissues were blocked in 5% BSA for 30 minutes at room temperature, washed with ddH2O and PBS, and then probed with the primary antibody (EM1901-96, 1/400) for 30 minutes at room temperature. The detection was performed using an HRP conjugated compact polymer system. DAB was used as the chromogen. Tissues were counterstained with hematoxylin and mounted with DPX. | 
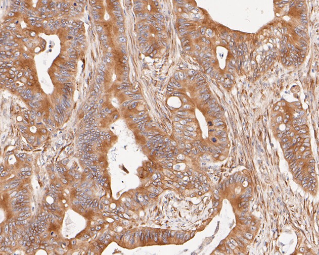
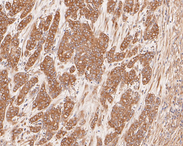
|   | Fig3: Immunohistochemical analysis of paraffin-embedded human colon carcinoma tissue using anti-Cytokeratin 20 antibody. The section was pre-treated using heat mediated antigen retrieval with Tris-EDTA buffer (pH 8.0-8.4) for 20 minutes.The tissues were blocked in 5% BSA for 30 minutes at room temperature, washed with ddH2O and PBS, and then probed with the primary antibody (EM1901-96, 1/500) for 30 minutes at room temperature. The detection was performed using an HRP conjugated compact polymer system. DAB was used as the chromogen. Tissues were counterstained with hematoxylin and mounted with DPX. | 
|   | Fig4: Immunohistochemical analysis of paraffin-embedded human stomach carcinoma tissue using anti-Cytokeratin 20 antibody. The section was pre-treated using heat mediated antigen retrieval with Tris-EDTA buffer (pH 8.0-8.4) for 20 minutes.The tissues were blocked in 5% BSA for 30 minutes at room temperature, washed with ddH2O and PBS, and then probed with the primary antibody (EM1901-96, 1/500) for 30 minutes at room temperature. The detection was performed using an HRP conjugated compact polymer system. DAB was used as the chromogen. Tissues were counterstained with hematoxylin and mounted with DPX. | 
|   | Fig5: Flow cytometric analysis of Cytokeratin 20 was done on JAR cells. The cells were fixed, permeabilized and stained with the primary antibody (EM1901-96, 1/50) (red). After incubation of the primary antibody at room temperature for an hour, the cells were stained with a Alexa Fluor 488-conjugated Goat anti-Mouse IgG Secondary antibody at 1/1000 dilution for 30 minutes.Unlabelled sample was used as a control (cells without incubation with primary antibody; black). |