RAP80 Mouse Monoclonal Antibody [A1B11]
cat.: EM1902-05
Product Type: Mouse monoclonal IgG1, primary antibodies
Species reactivity: Human, Mouse, Rat
Applications: WB, IHC-P, FC
Clonality: Monoclonal
Clone number: A1B11
Form: Liquid
Storage condition: Shipped at 4℃. Store at +4℃ short term (1-2 weeks). It is recommended to aliquot into single-use upon delivery. Store at -20℃ long term.
Storage buffer: 1*PBS (pH7.4), 0.2% BSA, 50% Glycerol. Preservative: 0.05% Sodium Azide.
Concentration: 2ug/ul
Purification: Protein A affinity purified.
Molecular weight: 80 kDa
Isotype: IgG1
Immunogen: Recombinant protein within Human RAP80 aa 330-524 / 719.
Positive control: Siha cell lysates, rat testis tissue, mouse testis tissue, SiHa cell.
Subcellular location: Nucleus.
Recommended Dilutions:
  WB
  IHC-P
  FC

1:500-1:1000
1:50-1:200
1:50-1:100
Uniprot #: SwissProt: Q96RL1 Human | Q5U5Q9 Mouse | Q5PQK4 Rat
Alternative names: BRCA1-A complex subunit RAP80 Nuclear zinc finger protein RAP80 OTTHUMP00000161441 OTTHUMP00000223372 OTTHUMP00000223374 RAP80 Receptor associated protein 80 Receptor-associated protein 80 Retinoid X receptor interacting protein 110 Retinoid x receptor interacting protein Retinoid X receptor-interacting protein 110 RIP110 Rxrip110 Ubiquitin interaction motif containing 1 Ubiquitin interaction motif containing protein 1 Ubiquitin interaction motif-containing protein 1 UIMC1 UIMC1_HUMAN X2HRIP110
Images
EM1902-05_1.jpg Fig1: Western blot analysis of RAP80 on Siha cell lysates. Proteins were transferred to a PVDF membrane and blocked with 5% BSA in PBS for 1 hour at room temperature. The primary antibody (EM1902-05, 1/500) was used in 5% BSA at room temperature for 2 hours. Goat Anti-Mouse IgG - HRP Secondary Antibody (HA1006) at 1:5,000 dilution was used for 1 hour at room temperature.
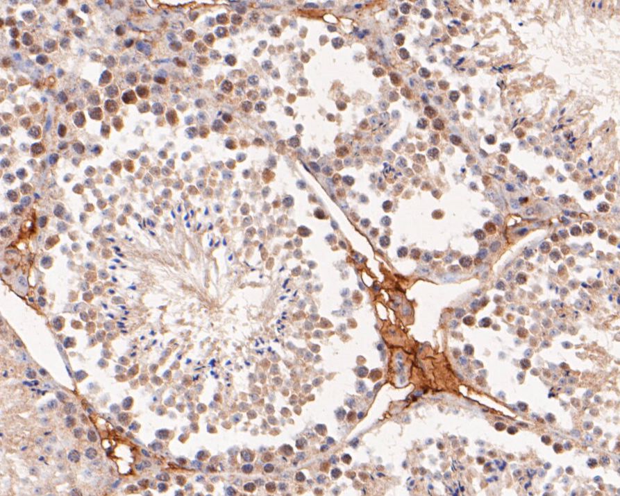
EM1902-05_2.jpg Fig2: Immunohistochemical analysis of paraffin-embedded rat testis tissue using anti-RAP80 antibody. The section was pre-treated using heat mediated antigen retrieval with Tris-EDTA buffer (pH 8.0-8.4) for 20 minutes.The tissues were blocked in 5% BSA for 30 minutes at room temperature, washed with ddH2O and PBS, and then probed with the primary antibody (EM1902-05, 1/200) for 30 minutes at room temperature. The detection was performed using an HRP conjugated compact polymer system. DAB was used as the chromogen. Tissues were counterstained with hematoxylin and mounted with DPX.
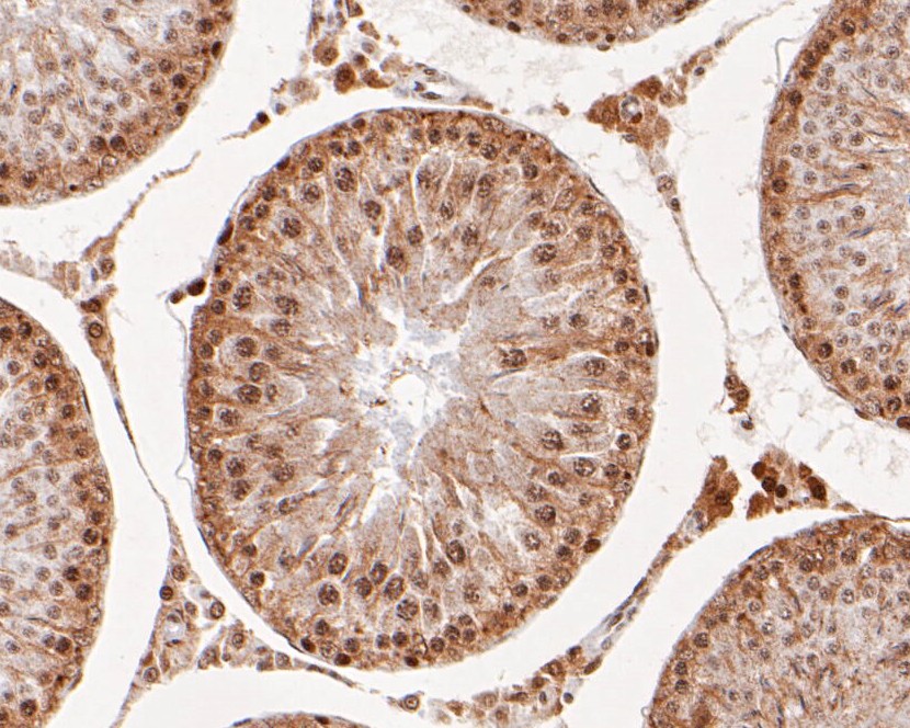
EM1902-05_3.jpg Fig3: Immunohistochemical analysis of paraffin-embedded mouse testis tissue using anti-RAP80 antibody. The section was pre-treated using heat mediated antigen retrieval with Tris-EDTA buffer (pH 8.0-8.4) for 20 minutes.The tissues were blocked in 5% BSA for 30 minutes at room temperature, washed with ddH2O and PBS, and then probed with the primary antibody (EM1902-05, 1/50) for 30 minutes at room temperature. The detection was performed using an HRP conjugated compact polymer system. DAB was used as the chromogen. Tissues were counterstained with hematoxylin and mounted with DPX.
EM1902-05_4.jpg Fig4: Flow cytometric analysis of RAP80 was done on SiHa cells. The cells were fixed, permeabilized and stained with the primary antibody (EM1902-05, 1/50) (red). After incubation of the primary antibody at room temperature for an hour, the cells were stained with a Alexa Fluor 488-conjugated Goat anti-Mouse IgG Secondary antibody at 1/1000 dilution for 30 minutes.Unlabelled sample was used as a control (cells without incubation with primary antibody; black).
Note: All products are “FOR RESEARCH USE ONLY AND ARE NOT INTENDED FOR DIAGNOSTIC OR THERAPEUTIC USE”.