Glutamine Synthetase Mouse Monoclonal Antibody [A3G2]
cat.: EM1902-39
Product Type: Mouse monoclonal IgG2a, primary antibodies
Species reactivity: Human, Mouse, Rat
Applications: WB, IHC-P, FC, mIHC, IF-Tissue
Clonality: Monoclonal
Clone number: A3G2
Form: Liquid
Storage condition: Shipped at 4℃. Store at +4℃ short term (1-2 weeks). It is recommended to aliquot into single-use upon delivery. Store at -20℃ long term.
Storage buffer: 1*TBS (pH7.4), 0.2% BSA, 50% Glycerol. Preservative: 0.05% Sodium Azide.
Concentration: 2ug/ul
Purification: Protein G affinity purified.
Molecular weight: Predicted band size: 42 kDa
Isotype: IgG2a
Immunogen: Recombinant protein within human Glutamine synthetase aa 190-373.
Positive control: HeLa cell lysate, MCF7 cell lysate, HepG2 cell lysate, K-562 cell lysate, Jurkat cell lysate, HEK-293 cell lysate, SK-Br-3 cell lysate, human liver tissue lysate, human spleen tissue, mouse liver tissue, rat liver tissue, THP-1.
Subcellular location: Microsome, Cytosol, Mitochondrion, Cell membrane.
Recommended Dilutions:
  WB
  IHC-P
  FC
  mIHC
  IF-Tissue

1:500-1:2,000
1:500-1:2,000
1:50-1:100
1:2,000
1:1,000
Uniprot #: SwissProt: P15104 Human | P15105 Mouse | P09606 Rat
Alternative names: cell proliferation-inducing protein 59 Cgl2214 GLNA GLNA_HUMAN GLNS GLUL Glutamate ammonia ligase Glutamate decarboxylase Glutamate--ammonia ligase glutamine synthase Glutamine synthetase glutamine synthetase I GS PIG 43 PIG 59 PIG43 PIG59 Proliferation inducing protein 43
Images
EM1902-39_1.jpg Fig1: Western blot analysis of Glutamine Synthetase on different lysates with Mouse anti-Glutamine Synthetase antibody (EM1902-39) at 1/2,000 dilution.

Lane 1: HeLa cell lysate
Lane 2: MCF7 cell lysate
Lane 3: HepG2 cell lysate
Lane 4: K-562 cell lysate
Lane 5: Jurkat cell lysate
Lane 6: HEK-293 cell lysate
Lane 7: SK-Br-3 cell lysate
Lane 8: Human liver tissue lysate

Lysates/proteins at 20 µg/Lane.

Predicted band size: 42 kDa
Observed band size: 42 kDa

Exposure time: 30 seconds;

4-20% SDS-PAGE gel.

Proteins were transferred to a PVDF membrane and blocked with 5% NFDM/TBST for 1 hour at room temperature. The primary antibody (EM1902-39) at 1/2,000 dilution was used in 5% NFDM/TBST at 4℃ overnight. Goat Anti-Mouse IgG - HRP Secondary Antibody (HA1006) at 1/50,000 dilution was used for 1 hour at room temperature.
EM1902-39_2.jpg Fig2: Fluorescence multiplex immunohistochemical analysis of mouse liver (Formalin/PFA-fixed paraffin-embedded sections). Panel A: the merged image of anti-Desmin (ET1606-30, White), anti-HNF4α (HA721006, Red) and anti-GS (EM1902-39, Yellow) on liver. HRP Conjugated UltraPolymer Goat Polyclonal Antibody HA1119/HA1120 was used as a secondary antibody. The immunostaining was performed with the Sequential Immuno-staining Kit (IRISKit™MH010101, www.luminiris.cn). The section was incubated in three rounds of staining: in the order of ET1606-30 (1/800 dilution), HA721006 (1/5,000 dilution) and EM1902-39 (1/2,000 dilution) for 20 mins at room temperature. Each round was followed by a separate fluorescent tyramide signal amplification system. Heat mediated antigen retrieval with Tris-EDTA buffer (pH 9.0) for 30 mins at 95℃. DAPI (blue) was used as a nuclear counter stain. Image acquisition was performed with Zeiss Observer 7 Inverted Fluorescence Microscope.
EM1902-39_3.jpg Fig3: Fluorescence multiplex immunohistochemical analysis of mouse liver (Formalin/PFA-fixed paraffin-embedded sections). Panel A: the merged image of anti-β-catenin (ET1601-5, Tangerine), anti-αSMA (ET1607-53, Yellow), anti-SOX9 (ET1611-56, Green), anti-Albumin (ET1702-55, Cyan) anti-GS (EM1902-39, Magenta) and anti-CK19 (ET1601-6, Orange) on liver. HRP Conjugated UltraPolymer Goat Polyclonal Antibody HA1119/HA1120 was used as a secondary antibody. The immunostaining was performed with the Sequential Immuno-staining Kit (IRISKit™MH010101, www.luminiris.cn). The section was incubated in six rounds of staining: in the order of ET1601-5 (1/2,000 dilution), ET1607-53 (1/3,000 dilution), ET1611-56 (1/1,500 dilution), ET1702-55 (1/3,000 dilution), EM1902-39 (1/2,000 dilution) and ET1601-6 (1/3,000 dilution) for 20 mins at room temperature. Each round was followed by a separate fluorescent tyramide signal amplification system. Heat mediated antigen retrieval with Tris-EDTA buffer (pH 9.0) for 30 mins at 95℃. DAPI (blue) was used as a nuclear counter stain. Image acquisition was performed with Olympus VS200 Slide Scanner.
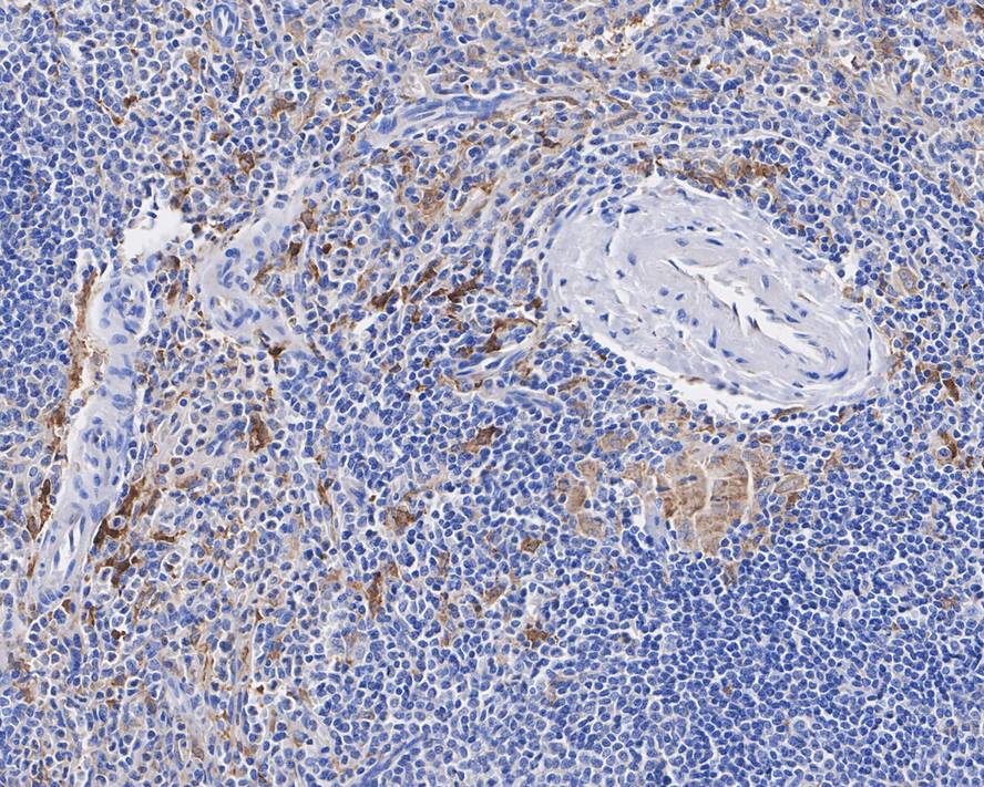
EM1902-39_4.jpg Fig4: Immunohistochemical analysis of paraffin-embedded human spleen tissue with Mouse anti-Glutamine Synthetase antibody (EM1902-39) at 1/2,000 dilution.

The section was pre-treated using heat mediated antigen retrieval with Tris-EDTA buffer (pH 9.0) for 20 minutes. The tissues were blocked in 1% BSA for 20 minutes at room temperature, washed with ddH2O and PBS, and then probed with the primary antibody (EM1902-39) at 1/2,000 dilution for 1 hour at room temperature. The detection was performed using an HRP conjugated compact polymer system. DAB was used as the chromogen. Tissues were counterstained with hematoxylin and mounted with DPX.
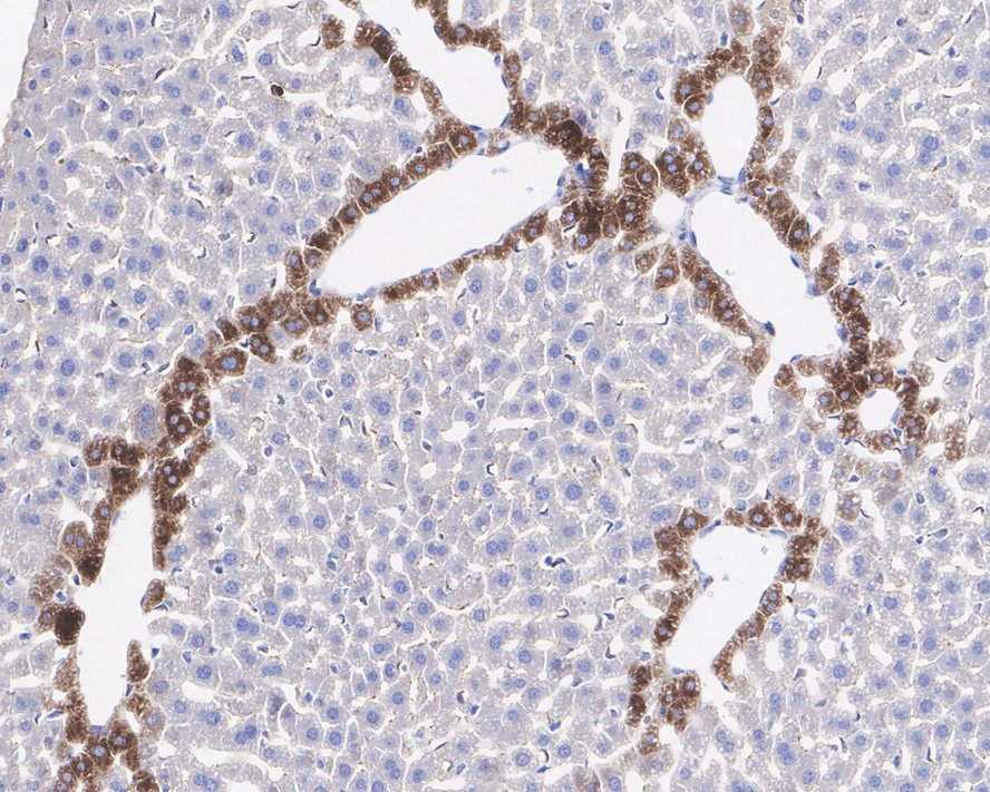
EM1902-39_5.jpg Fig5: Immunohistochemical analysis of paraffin-embedded mouse liver tissue with Mouse anti-Glutamine Synthetase antibody (EM1902-39) at 1/2,000 dilution.

The section was pre-treated using heat mediated antigen retrieval with Tris-EDTA buffer (pH 9.0) for 20 minutes. The tissues were blocked in 1% BSA for 20 minutes at room temperature, washed with ddH2O and PBS, and then probed with the primary antibody (EM1902-39) at 1/2,000 dilution for 1 hour at room temperature. The detection was performed using an HRP conjugated compact polymer system. DAB was used as the chromogen. Tissues were counterstained with hematoxylin and mounted with DPX.
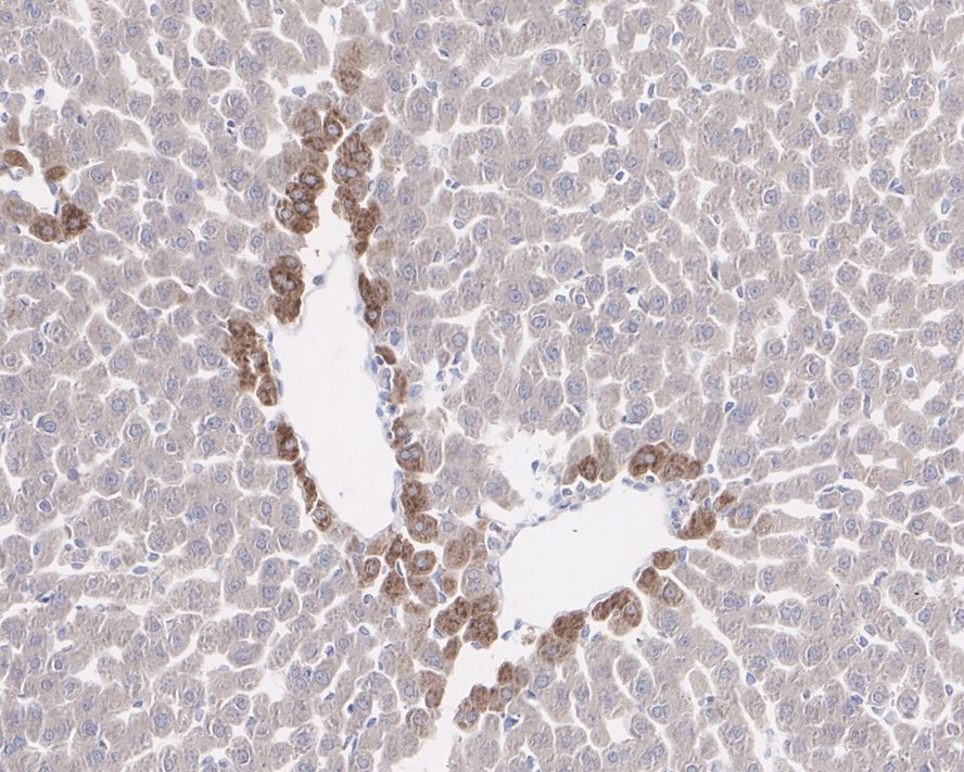
EM1902-39_6.jpg Fig6: Immunohistochemical analysis of paraffin-embedded rat liver tissue with Mouse anti-Glutamine Synthetase antibody (EM1902-39) at 1/500 dilution.

The section was pre-treated using heat mediated antigen retrieval with Tris-EDTA buffer (pH 9.0) for 20 minutes. The tissues were blocked in 1% BSA for 20 minutes at room temperature, washed with ddH2O and PBS, and then probed with the primary antibody (EM1902-39) at 1/500 dilution for 1 hour at room temperature. The detection was performed using an HRP conjugated compact polymer system. DAB was used as the chromogen. Tissues were counterstained with hematoxylin and mounted with DPX.
EM1902-39_7.jpg Fig7: Flow cytometric analysis of Glutamine Synthetase was done on THP-1 cells. The cells were fixed, permeabilized and stained with the primary antibody (EM1902-39, 1/50) (red). After incubation of the primary antibody at room temperature for an hour, the cells were stained with a Alexa Fluor 488-conjugated Goat anti-Mouse IgG Secondary antibody at 1/1000 dilution for 30 minutes.Unlabelled sample was used as a control (cells without incubation with primary antibody; black).
EM1902-39_8.jpg Fig8: Application: IF-Tissue

Species: Mouse

Site: liver

Sample: Paraffin-embedded section

Antibody concentration: 1/1,000
Note: All products are “FOR RESEARCH USE ONLY AND ARE NOT INTENDED FOR DIAGNOSTIC OR THERAPEUTIC USE”.