Histone H3 Mouse Monoclonal Antibody [3-C4]
cat.: EM30605
Product Type: Mouse monoclonal IgG1, primary antibodies
Species reactivity: Human, Mouse, Rat
Applications: WB, IHC-P, mIHC, IF-Tissue, ChIP
Clonality: Monoclonal
Clone number: 3-C4
Form: Liquid
Storage condition: Shipped at 4℃. Store at +4℃ short term (1-2 weeks). It is recommended to aliquot into single-use upon delivery. Store at -20℃ long term.
Storage buffer: 1*PBS (pH7.4), 0.2% BSA, 40% Glycerol. Preservative: 0.05% Sodium Azide.
Concentration: 2ug/ul
Purification: Protein A affinity purified.
Molecular weight: Predicted band size: 15 kDa
Isotype: IgG1
Immunogen: Synthetic peptide within C-terminal residues of human Histone H3.
Positive control: HeLa cell lysate, A549 cell lysate, HT-29 cell lysate, HEK-293 cell lysate, C2C12 cell lysate, L-929 cell lysate, C6 cell lysate, mouse kidney, human liver tissue, human testis tissue, mouse testis tissue, rat testis tissue, rat brain tissue.
Subcellular location: Nucleus.
Recommended Dilutions:
  WB
  IHC-P
  mIHC
  IF-Tissue
  ChIP

1:10,000
1:1,000-1:2,000
1:500
1:200-1:500
Use 0.5~2 μg for 25 μg of chromatin.
Uniprot #: SwissProt: P68431 Human | P84243 Human | Q16695 Human | Q6NXT2 Human | Q71DI3 Human | P68433 Mouse | Q6LED0 Rat
Alternative names: H3 histone family, member A H3/A H31_HUMAN H3FA Hist1h3a HIST1H3B HIST1H3C HIST1H3D HIST1H3E HIST1H3F HIST1H3G HIST1H3H HIST1H3I HIST1H3J histone 1, H3a Histone cluster 1, H3a Histone H3.1 Histone H3/a Histone H3/b Histone H3/c Histone H3/d Histone H3/f Histone H3/h Histone H3/i Histone H3/j Histone H3/k Histone H3/l
Images
EM30605_1.jpg Fig1: Western blot analysis of Histone H3 on different lysates with Mouse anti-Histone H3 antibody (EM30605) at 1/10,000 dilution.

Lane 1: HeLa cell lysate
Lane 2: A549 cell lysate
Lane 3: HT-29 cell lysate
Lane 4: HEK-293 cell lysate
Lane 5: C2C12 cell lysate
Lane 6: L-929 cell lysate
Lane 7: C6 cell lysate

Lysates/proteins at 10 µg/Lane.

Predicted band size: 15 kDa
Observed band size: 15 kDa

Exposure time: 30 seconds;

4-20% SDS-PAGE gel.

Proteins were transferred to a PVDF membrane and blocked with 5% NFDM/TBST for 1 hour at room temperature. The primary antibody (EM30605) at 1/10,000 dilution was used in 5% NFDM/TBST at 4℃ overnight. Goat Anti-Mouse IgG - HRP Secondary Antibody (HA1006) at 1/50,000 dilution was used for 1 hour at room temperature.
EM30605_2.jpg Fig2: Fluorescence multiplex immunohistochemical analysis of mouse kidney (Formalin/PFA-fixed paraffin-embedded sections). Panel A: the merged image of anti-NPHS2 (ET7107-34, Red), anti-Laminin beta 1 (ET1703-14, Green), anti-Histone H3 (EM30605, Blue), anti-SLC12A1 / NKCC2 (HA721906, Cyan) and anti-CK18 (ET1603-8, Magenta) on kidney. HRP Conjugated UltraPolymer Goat Polyclonal Antibody HA1119/HA1120 was used as a secondary antibody. The immunostaining was performed with the Sequential Immuno-staining Kit (IRISKit™MH010101, www.luminiris.cn). The section was incubated in five rounds of staining: in the order of ET7107-34 (1/1,000 dilution), ET1703-14 (1/1,000 dilution), EM30605 (1/500 dilution), HA721906 (1/3,000 dilution) and ET1603-8 (1/3,000 dilution) for 20 mins at room temperature. Each round was followed by a separate fluorescent tyramide signal amplification system. Heat mediated antigen retrieval with Tris-EDTA buffer (pH 9.0) for 30 mins at 95℃. Image acquisition was performed with Olympus VS200 Slide Scanner.
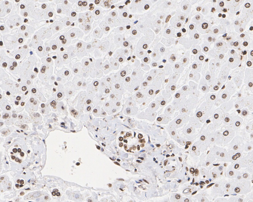
EM30605_3.jpg Fig3: Immunohistochemical analysis of paraffin-embedded human liver tissue with Mouse anti-Histone H3 antibody (EM30605) at 1/2,000 dilution.

The section was pre-treated using heat mediated antigen retrieval with sodium citrate buffer (pH 6.0) (high pressure) for 2 minutes. The tissues were blocked in 1% BSA for 20 minutes at room temperature, washed with ddH2O and PBS, and then probed with the primary antibody (EM30605) at 1/2,000 dilution for 1 hour at room temperature. The detection was performed using an HRP conjugated compact polymer system. DAB was used as the chromogen. Tissues were counterstained with hematoxylin and mounted with DPX.
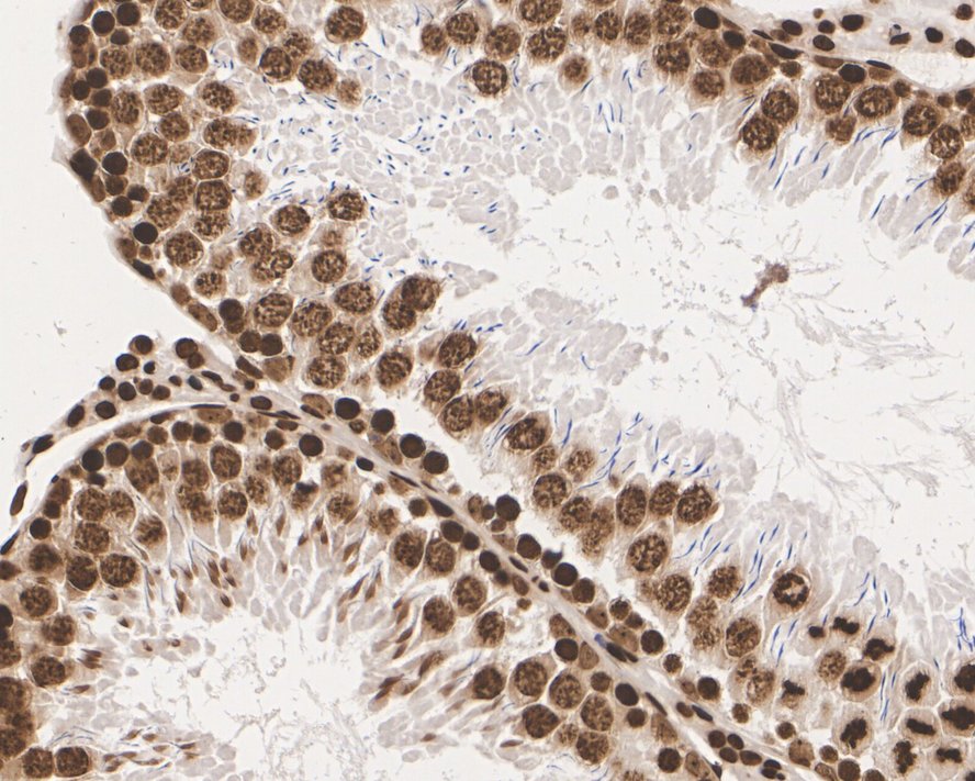
EM30605_4.jpg Fig4: Immunohistochemical analysis of paraffin-embedded human testis tissue with Mouse anti-Histone H3 antibody (EM30605) at 1/1,000 dilution.

The section was pre-treated using heat mediated antigen retrieval with sodium citrate buffer (pH 6.0) (high pressure) for 2 minutes. The tissues were blocked in 1% BSA for 20 minutes at room temperature, washed with ddH2O and PBS, and then probed with the primary antibody (EM30605) at 1/1,000 dilution for 1 hour at room temperature. The detection was performed using an HRP conjugated compact polymer system. DAB was used as the chromogen. Tissues were counterstained with hematoxylin and mounted with DPX.
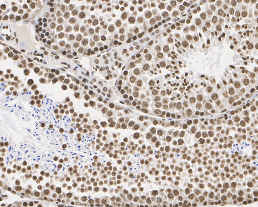
EM30605_5.jpg Fig5: Immunohistochemical analysis of paraffin-embedded mouse testis tissue with Mouse anti-Histone H3 antibody (EM30605) at 1/2,000 dilution.

The section was pre-treated using heat mediated antigen retrieval with sodium citrate buffer (pH 6.0) (high pressure) for 2 minutes. The tissues were blocked in 1% BSA for 20 minutes at room temperature, washed with ddH2O and PBS, and then probed with the primary antibody (EM30605) at 1/2,000 dilution for 1 hour at room temperature. The detection was performed using an HRP conjugated compact polymer system. DAB was used as the chromogen. Tissues were counterstained with hematoxylin and mounted with DPX.
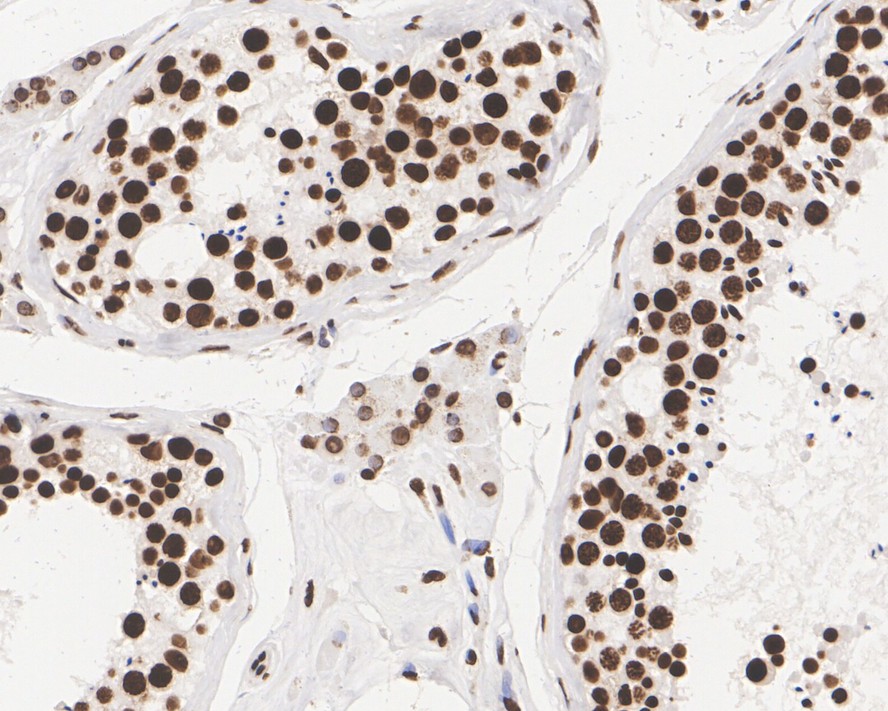
EM30605_6.jpg Fig6: Immunohistochemical analysis of paraffin-embedded rat testis tissue with Mouse anti-Histone H3 antibody (EM30605) at 1/1,000 dilution.

The section was pre-treated using heat mediated antigen retrieval with sodium citrate buffer (pH 6.0) (high pressure) for 2 minutes. The tissues were blocked in 1% BSA for 20 minutes at room temperature, washed with ddH2O and PBS, and then probed with the primary antibody (EM30605) at 1/1,000 dilution for 1 hour at room temperature. The detection was performed using an HRP conjugated compact polymer system. DAB was used as the chromogen. Tissues were counterstained with hematoxylin and mounted with DPX.
EM30605_7.jpg Fig7: Immunohistochemical analysis of paraffin-embedded rat brain tissue with Mouse anti-Histone H3 antibody (EM30605) at 1/2,000 dilution.

The section was pre-treated using heat mediated antigen retrieval with sodium citrate buffer (pH 6.0) (high pressure) for 2 minutes. The tissues were blocked in 1% BSA for 20 minutes at room temperature, washed with ddH2O and PBS, and then probed with the primary antibody (EM30605) at 1/2,000 dilution for 1 hour at room temperature. The detection was performed using an HRP conjugated compact polymer system. DAB was used as the chromogen. Tissues were counterstained with hematoxylin and mounted with DPX.
EM30605_8.jpg Fig8: Chromatin immunoprecipitations were performed with cross-linked chromatin from HeLa cells with Histone H3 (EM30605) or Normal Mouse IgG according to the ChIP protocol. The enriched DNA was quantified by real-time PCR using indicated primers. The amount of immunoprecipitated DNA in each sample is represented as signal relative to the total amount of input chromatin, which is equivalent to one.
EM30605_9.jpg Fig9: Application: IF-Tissue

Species: Mouse

Site: kidney

Sample: Paraffin-embedded section

Antibody concentration: 1/500
Note: All products are “FOR RESEARCH USE ONLY AND ARE NOT INTENDED FOR DIAGNOSTIC OR THERAPEUTIC USE”.