Beta Catenin Rabbit Polyclonal Antibody
cat.: ER0805
Product Type: Rabbit polyclonal IgG, primary antibodies
Species reactivity: Human, Mouse, Rat
Applications: WB, IHC-P, FC, IF-Cell, IF-Tissue
Clonality: Polyclonal
Form: Liquid
Storage condition: Shipped at 4℃. Store at +4℃ short term (1-2 weeks). It is recommended to aliquot into single-use upon delivery. Store at -20℃ long term.
Storage buffer: 1*PBS (pH7.4), 0.2% BSA, 40% Glycerol. Preservative: 0.05% Sodium Azide.
Concentration: 1ug/ul
Purification: Immunogen affinity purified.
Molecular weight: Predicted band size: 85 kDa
Isotype: IgG
Immunogen: Synthetic peptide within C-terminal human Beta-Catenin.
Positive control: SW480 cell lysate, HT-29 cell lysate, NIH/3T3 cell lysate, C6 cell lysate, Human brain tissue lysate, Mouse brain tissue lysate, Rat brain tissue lysate, HT-29, C6, human breast cancer tissue, human colon cancer tissue, mouse colon tissue, rat colon tissue.
Subcellular location: Cytoplasm, Nucleus, Cell junction, Cell membrane, Cytoskeleton, Synapse.
Recommended Dilutions:
  WB
  IHC-P
  FC
  IF-Cell
  IF-Tissue

1:1,000
1:5,000
1:1,000
1:100-1:500
1:200-1:1,000
Uniprot #: SwissProt: P35222 Human | Q02248 Mouse | Q9WU82 Rat
Alternative names: β Catenin Beta catenin Beta-catenin Cadherin associated protein Catenin (cadherin associated protein), beta 1, 88kDa Catenin beta 1 Catenin beta-1 CATNB CHBCAT CTNB1_HUMAN CTNNB CTNNB1 DKFZp686D02253 FLJ25606 FLJ37923 OTTHUMP00000162082 OTTHUMP00000165222 OTTHUMP00000165223 OTTHUMP00000209288 OTTHUMP00000209289
Images
ER0805_1.jpg Fig1: Western blot analysis of Beta Catenin on different lysates with Rabbit anti-Beta Catenin antibody (ER0805) at 1/1,000 dilution.

Lane 1: SW480 cell lysate (20 µg/Lane)
Lane 2: HT-29 cell lysate (20 µg/Lane)
Lane 3: NIH/3T3 cell lysate (20 µg/Lane)
Lane 4: C6 cell lysate (20 µg/Lane)
Lane 5: Human brain tissue lysate (40 µg/Lane)
Lane 6: Mouse brain tissue lysate (40 µg/Lane)
Lane 7: Rat brain tissue lysate (40 µg/Lane)

Predicted band size: 85 kDa
Observed band size: 85 kDa

Exposure time: 4 seconds; ECL: K1801;

4-20% SDS-PAGE gel.

Proteins were transferred to a PVDF membrane and blocked with 5% NFDM/TBST for 1 hour at room temperature. The primary antibody (ER0805) at 1/1,000 dilution was used in 5% NFDM/TBST at 4℃ overnight. Goat Anti-Rabbit IgG - HRP Secondary Antibody (HA1001) at 1/50,000 dilution was used for 1 hour at room temperature.
ER0805_2.jpg Fig2: Immunocytochemistry analysis of HT-29 cells labeling Beta Catenin with Rabbit anti-Beta Catenin antibody (ER0805) at 1/100 dilution.

Cells were fixed in 4% paraformaldehyde for 20 minutes at room temperature, permeabilized with 0.1% Triton X-100 in PBS for 5 minutes at room temperature, then blocked with 1% BSA in 10% negative goat serum for 1 hour at room temperature. Cells were then incubated with Rabbit anti-Beta Catenin antibody (ER0805) at 1/100 dilution in 1% BSA in PBST overnight at 4 ℃. Goat Anti-Rabbit IgG H&L (iFluor™ 488, HA1121) was used as the secondary antibody at 1/1,000 dilution. PBS instead of the primary antibody was used as the secondary antibody only control. Nuclear DNA was labelled in blue with DAPI.

Beta tubulin (M1305-2, red) was stained at 1/100 dilution overnight at +4℃. Goat Anti-Mouse IgG H&L (iFluor™ 594, HA1126) was used as the secondary antibody at 1/1,000 dilution.
ER0805_3.jpg Fig3: Immunocytochemistry analysis of C6 cells labeling Beta Catenin with Rabbit anti-Beta Catenin antibody (ER0805) at 1/500 dilution.

Cells were fixed in 4% paraformaldehyde for 20 minutes at room temperature, permeabilized with 0.1% Triton X-100 in PBS for 5 minutes at room temperature, then blocked with 1% BSA in 10% negative goat serum for 1 hour at room temperature. Cells were then incubated with Rabbit anti-Beta Catenin antibody (ER0805) at 1/500 dilution in 1% BSA in PBST overnight at 4 ℃. Goat Anti-Rabbit IgG H&L (iFluor™ 488, HA1121) was used as the secondary antibody at 1/1,000 dilution. PBS instead of the primary antibody was used as the secondary antibody only control. Nuclear DNA was labelled in blue with DAPI.

Beta tubulin (M1305-2, red) was stained at 1/100 dilution overnight at +4℃. Goat Anti-Mouse IgG H&L (iFluor™ 594, HA1126) was used as the secondary antibody at 1/1,000 dilution.
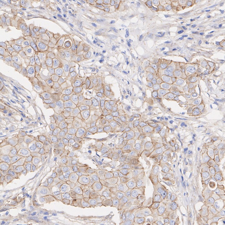
ER0805_4.jpg Fig4: Immunohistochemical analysis of paraffin-embedded human breast cancer tissue with Rabbit anti-Beta Catenin antibody (ER0805) at 1/5,000 dilution.

The section was pre-treated using heat mediated antigen retrieval with Tris-EDTA buffer (pH 9.0) for 20 minutes. The tissues were blocked in 1% BSA for 20 minutes at room temperature, washed with ddH2O and PBS, and then probed with the primary antibody (ER0805) at 1/5,000 dilution for 1 hour at room temperature. The detection was performed using an HRP conjugated compact polymer system. DAB was used as the chromogen. Tissues were counterstained with hematoxylin and mounted with DPX.
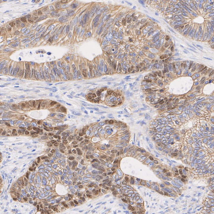
ER0805_5.jpg Fig5: Immunohistochemical analysis of paraffin-embedded human colon cancer tissue with Rabbit anti-Beta Catenin antibody (ER0805) at 1/5,000 dilution.

The section was pre-treated using heat mediated antigen retrieval with Tris-EDTA buffer (pH 9.0) for 20 minutes. The tissues were blocked in 1% BSA for 20 minutes at room temperature, washed with ddH2O and PBS, and then probed with the primary antibody (ER0805) at 1/5,000 dilution for 1 hour at room temperature. The detection was performed using an HRP conjugated compact polymer system. DAB was used as the chromogen. Tissues were counterstained with hematoxylin and mounted with DPX.
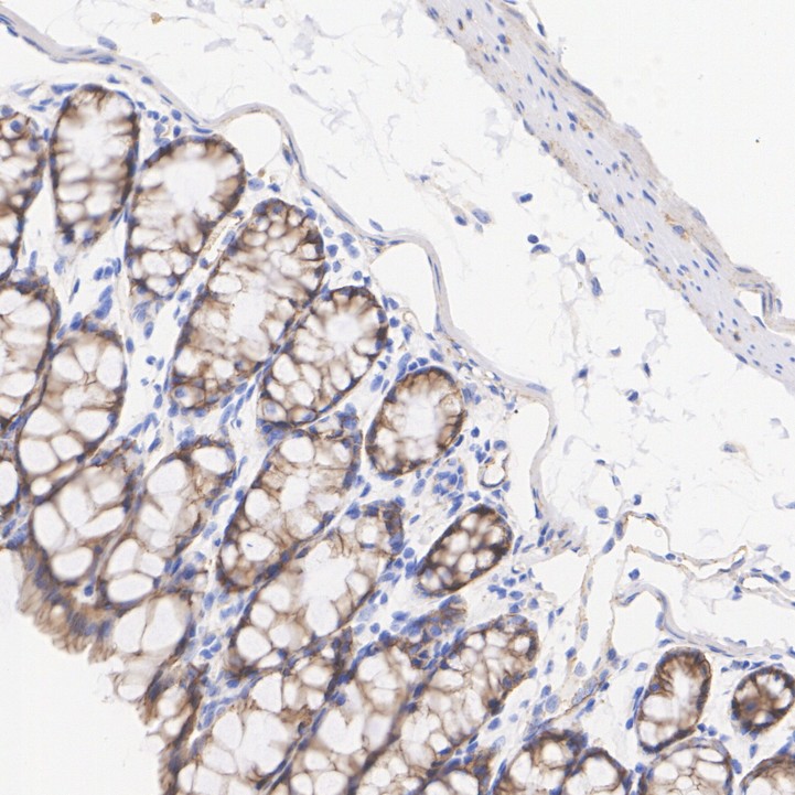
ER0805_6.jpg Fig6: Immunohistochemical analysis of paraffin-embedded mouse colon tissue with Rabbit anti-Beta Catenin antibody (ER0805) at 1/5,000 dilution.

The section was pre-treated using heat mediated antigen retrieval with Tris-EDTA buffer (pH 9.0) for 20 minutes. The tissues were blocked in 1% BSA for 20 minutes at room temperature, washed with ddH2O and PBS, and then probed with the primary antibody (ER0805) at 1/5,000 dilution for 1 hour at room temperature. The detection was performed using an HRP conjugated compact polymer system. DAB was used as the chromogen. Tissues were counterstained with hematoxylin and mounted with DPX.
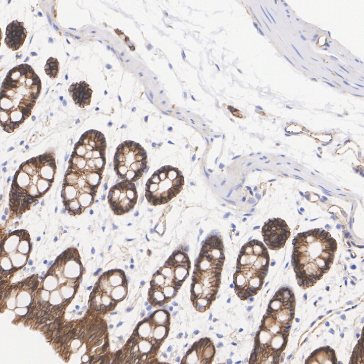
ER0805_7.jpg Fig7: Immunohistochemical analysis of paraffin-embedded rat colon tissue with Rabbit anti-Beta Catenin antibody (ER0805) at 1/5,000 dilution.

The section was pre-treated using heat mediated antigen retrieval with Tris-EDTA buffer (pH 9.0) for 20 minutes. The tissues were blocked in 1% BSA for 20 minutes at room temperature, washed with ddH2O and PBS, and then probed with the primary antibody (ER0805) at 1/5,000 dilution for 1 hour at room temperature. The detection was performed using an HRP conjugated compact polymer system. DAB was used as the chromogen. Tissues were counterstained with hematoxylin and mounted with DPX.
ER0805_8.jpg Fig8: Flow cytometric analysis of HT-29 cells labeling Beta Catenin.

Cells were fixed and permeabilized. Then stained with the primary antibody (ER0805, 1/1,000) (red) compared with Rabbit IgG Isotype Control (green). After incubation of the primary antibody at +4℃ for an hour, the cells were stained with a iFluor™ 488 conjugate-Goat anti-Rabbit IgG Secondary antibody (HA1121) at 1/1,000 dilution for 30 minutes at +4℃. Unlabelled sample was used as a control (cells without incubation with primary antibody; black).
Note: All products are “FOR RESEARCH USE ONLY AND ARE NOT INTENDED FOR DIAGNOSTIC OR THERAPEUTIC USE”.