Alpha smooth muscle Actin Rabbit Polyclonal Antibody
cat.: ER1003
Product Type: Rabbit polyclonal IgG, primary antibodies
Species reactivity: Human, Mouse, Rat, Xenopus laevis, Chicken, Cow, Horse, Monkey
Applications: WB, IF-Cell, IHC-P
Clonality: Polyclonal
Form: Liquid
Storage condition: Store at +4℃ after thawing. Aliquot store at -20℃ or -80℃. Avoid repeated freeze / thaw cycles.
Storage buffer: 1*PBS (pH7.4), 0.2% BSA, 40% Glycerol. Preservative: 0.05% Sodium Azide.
Concentration: 1ug/ul
Purification: Immunogen affinity purified.
Molecular weight: Predicted band size: 42 kDa
Isotype: IgG
Immunogen: Synthetic peptide corresponding to of Human Alpha smooth muscle Actin aa1-50 / 377.
Positive control: Jurkat cell lysate, NIH/3T3 cell lysate, Mouse embryonic stem cell lysate, Mouse colon tissue lysate, 293, F9, NIH/3T3, human cervical tissue, mouse skeletal muscle tissue, mouse smooth muscle tissue
Subcellular location: Cytoskeleton, Cytoplasm.
Recommended Dilutions:
  WB
  IF-Cell
  IHC-P

1:2,000
1:200
1:200
Uniprot #: SwissProt: P62736 Human | P62737 Mouse | P62738 Rat
Alternative names: a-SMA asma a actin AAT6 ACTA_HUMAN ACTA2 Actin alpha 2 smooth muscle aorta Actin aortic smooth muscle Actin, aortic smooth muscle ACTSA ACTVS Alpha 2 actin Alpha actin 2 Alpha cardiac actin Alpha-actin-2 Cell growth inhibiting gene 46 protein Cell growth-inhibiting gene 46 protein GIG46 Growth inhibiting gene 46 MYMY5
Images
ER1003_1.jpg Fig1: Western blot analysis of alpha smooth muscle actin on different lysates using anti-Alpha smooth muscle actin antibody at 1/2000 dilution.
Positive control:
Lane 1: Jurkat cell lysate
Lane2 : NIH/3T3 cell lysate
Lane 3: Mouse embryonic stem cell lysate
Lane 4: Mouse colon tissue lysate
ER1003_2.jpg Fig2: ICC staining of Alpha smooth muscle actin in 293 cells (red). The nuclear counter stain is DAPI (blue). Cells were fixed in paraformaldehyde, permeabilised with 0.25% Triton X100/PBS.
ER1003_3.jpg Fig3: ICC staining of Alpha smooth muscle actin in F9 cells (green). The nuclear counter stain is DAPI (blue). Cells were fixed in paraformaldehyde, permeabilised with 0.25% Triton X100/PBS.
ER1003_4.jpg Fig4: ICC staining Alpha smooth muscle actin in NIH/3T3 cells (green). The nuclear counter stain is DAPI (blue). Cells were fixed in paraformaldehyde, permeabilised with 0.25% Triton X100/PBS.
ER1003_5.jpg Fig5: Immunohistochemical analysis of paraffin-embedded human cervical tissue using anti-Alpha smooth muscle actin antibody. Counter stained with hematoxylin.
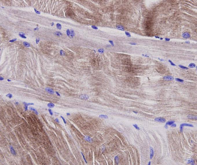
ER1003_6.jpg Fig6: Immunohistochemical analysis of paraffin-embedded mouse skeletal muscle tissue using anti-Alpha smooth muscle actin antibody. Counter stained with hematoxylin.
ER1003_7.jpg Fig7: Immunohistochemical analysis of paraffin-embedded mouse smooth muscle tissue using anti-Alpha smooth muscle actin antibody. Counter stained with hematoxylin.
Note: All products are “FOR RESEARCH USE ONLY AND ARE NOT INTENDED FOR DIAGNOSTIC OR THERAPEUTIC USE”.