Glucose Transporter GLUT1 Rabbit Polyclonal Antibody
cat.: ER1510-11
Product Type: Rabbit polyclonal IgG, primary antibodies
Species reactivity: Human, Mouse
Applications: WB, IF-Cell, IHC-P, FC
Clonality: Polyclonal
Form: Liquid
Storage condition: Shipped at 4℃. Store at +4℃ short term (1-2 weeks). It is recommended to aliquot into single-use upon delivery. Store at -20℃ long term.
Storage buffer: 1*PBS (pH7.4), 0.2% BSA, 50% Glycerol. Preservative: 0.05% Sodium Azide.
Concentration: 1ug/ul
Purification: Immunogen affinity purified.
Molecular weight: Predicted band size: 54 kDa
Isotype: IgG
Immunogen: Synthetic peptide within human GLUT1 aa 15-60/492.
Positive control: Human placenta tissue lysates, Hela, human liver tissue, human breast tissue, mouse liver tissue.
Subcellular location: Cell membrane, Melanosome.
Recommended Dilutions:
  WB
  IF-Cell
  IHC-P
  FC

1:500
1:100-1:500
1:50-1:200
1:50-1:100
Uniprot #: SwissProt: P11166 Human | P17809 Mouse
Alternative names: Choreoathetosis/spasticity episodic (paroxysmal choreoathetosis/spasticity) CSE DYT17 DYT18 DYT9 EIG12 erythrocyte/brain Erythrocyte/hepatoma glucose transporter facilitated glucose transporter member 1 Glucose transporter 1 Glucose transporter type 1 Glucose transporter type 1, erythrocyte/brain GLUT GLUT-1 GLUT1 GLUT1DS GLUTB GT1 GTG1 Gtg3 GTR1_HUMAN HepG2 glucose transporter HTLVR Human T cell leukemia virus (I and II) receptor MGC141895 MGC141896 PED RATGTG1 Receptor for HTLV 1 and HTLV 2 SLC2A1 Solute carrier family 2 (facilitated glucose transporter), member 1 Solute carrier family 2 Solute carrier family 2, facilitated glucose transporter member 1
Images
ER1510-11_1.jpg Fig1: Western blot analysis of Glut1 on human placenta tissue lysates using anti-Glut1 antibody at 1/1,000 dilution.
ER1510-11_2.jpg Fig2: ICC staining Glut1 in Hela cells (green). The nuclear counter stain is DAPI (blue). Cells were fixed in paraformaldehyde, permeabilised with 0.25% Triton X100/PBS.
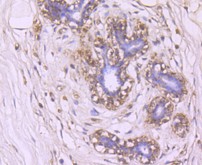
ER1510-11_3.jpg Fig3: Immunohistochemical analysis of paraffin-embedded human breast tissue using anti-Glut1 antibody. Counter stained with hematoxylin.
ER1510-11_4.jpg Fig4: Immunohistochemical analysis of paraffin-embedded mouse liver tissue using anti-Glut1 antibody. Counter stained with hematoxylin.
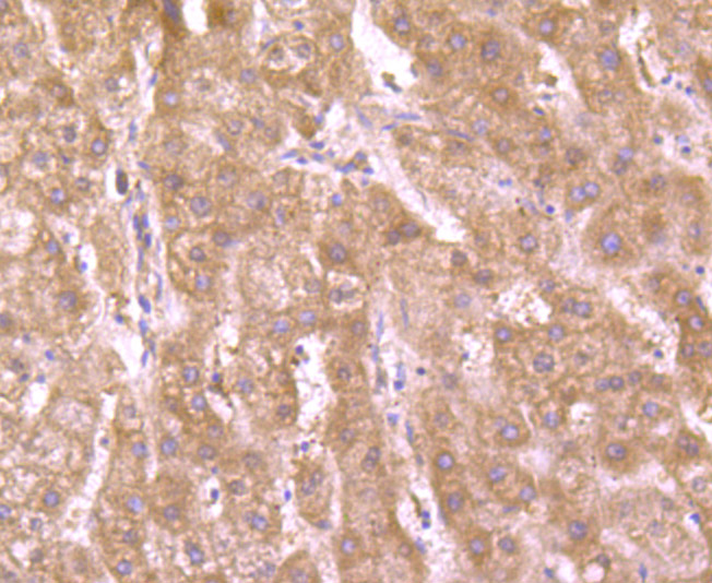
ER1510-11_5.jpg Fig5: Immunohistochemical analysis of paraffin-embedded human liver tissue using anti-Glut1 antibody. Counter stained with hematoxylin.
ER1510-11_6.jpg Fig6: Flow cytometric analysis of Hela cells with Glut1 antibody at 1/100 dilution (blue) compared with an unlabelled control (cells without incubation with primary antibody; red). Alexa Fluor 488-conjugated goat anti-rabbit IgG was used as the secondary antibody.
Note: All products are “FOR RESEARCH USE ONLY AND ARE NOT INTENDED FOR DIAGNOSTIC OR THERAPEUTIC USE”.