Dysferlin (DYSF) Rabbit Polyclonal Antibody
cat.: ER1511-12
Product Type: Rabbit polyclonal IgG, primary antibodies
Species reactivity: Human
Applications: WB, IHC-P, FC
Clonality: Polyclonal
Form: Liquid
Storage condition: Shipped at 4℃. Store at +4℃ short term (1-2 weeks). It is recommended to aliquot into single-use upon delivery. Store at -20℃ long term.
Storage buffer: 1*PBS (pH7.4), 0.2% BSA, 50% Glycerol. Preservative: 0.05% Sodium Azide.
Concentration: 1ug/ul
Purification: Immunogen affinity purified.
Molecular weight: Predicted band size: 237 kDa
Isotype: IgG
Immunogen: Recombinant protein within Human Dysferlin aa 124-317 / 2,080.
Positive control: Human fetal skeletal muscle tissue lysate, human kidney tissue, human placenta tissue, human fetal skeletal muscle tissue, HUVEC.
Subcellular location: Plasma membrane, Cytoplasmic vesicle.
Recommended Dilutions:
  WB
  IHC-P
  FC

1:500-1:2,000
1:50-1:200
1:50-1:100
Uniprot #: SwissProt: O75923 Human
Alternative names: DMAT DYSF DYSF_HUMAN Dysferlin Dysferlin limb girdle muscular dystrophy 2B (autosomal recessive) Dysferlin limb girdle muscular dystrophy 2B Dystrophy associated fer 1 like 1 Dystrophy associated fer 1 like protein Dystrophy associated fer1 like 1 Dystrophy associated fer1 like protein Dystrophy-associated fer-1-like protein Fer 1 like protein 1 Fer-1-like protein 1 Fer1 like protein 1 FER1L1 FLJ00175 FLJ90168 LGMD 2B LGMD2B Limb girdle muscular dystrophy 2B (autosomal recessive) Limb girdle muscular dystrophy 2B Miyoshi myopathy MM MMD1
Images
ER1511-12_1.jpg Fig1: Western blot analysis of Dysferlin on human fetal skeletal muscle tissue lysate using anti-Dysferlin antibody at 1/500 dilution.
ER1511-12_2.jpg Fig2: Immunohistochemical analysis of paraffin-embedded human kidney tissue using anti-Dysferlin antibody. Counter stained with hematoxylin.
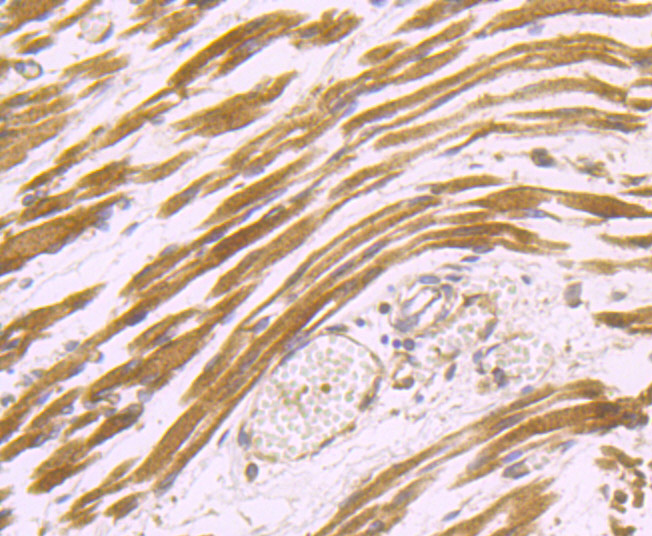
ER1511-12_3.jpg Fig3: Immunohistochemical analysis of paraffin-embedded human fetal skeletal muscle tissue using anti-Dysferlin antibody. Counter stained with hematoxylin.
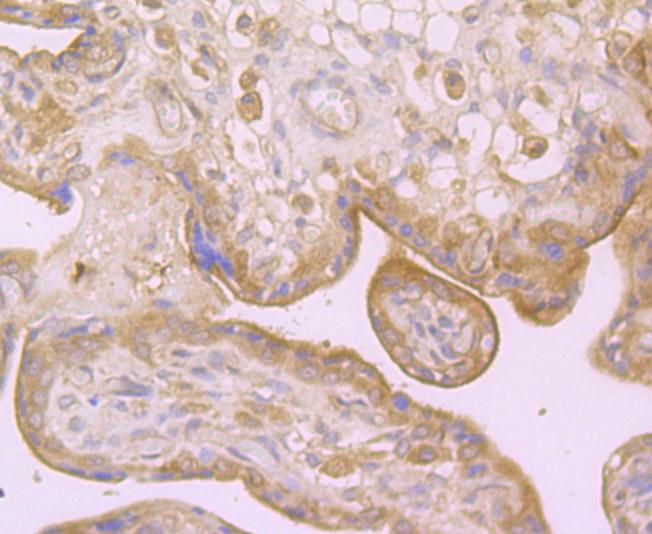
ER1511-12_4.jpg Fig4: Immunohistochemical analysis of paraffin-embedded human placenta tissue using anti-Dysferlin antibody. Counter stained with hematoxylin.
ER1511-12_5.jpg Fig5: Flow cytometric analysis of HUVEC cells with Dysferlin antibody at 1/100 dilution (red) compared with an unlabelled control (cells without incubation with primary antibody; black). Alexa Fluor 488-conjugated goat anti rabbit IgG was used as the secondary antibody.
Note: All products are “FOR RESEARCH USE ONLY AND ARE NOT INTENDED FOR DIAGNOSTIC OR THERAPEUTIC USE”.