DKK1 Rabbit Polyclonal Antibody
cat.: ER1512-20
Product Type: Rabbit polyclonal IgG, primary antibodies
Species reactivity: Human, Mouse
Applications: WB, IF-Cell, IHC-P, FC
Clonality: Polyclonal
Form: Liquid
Storage condition: Shipped at 4℃. Store at +4℃ short term (1-2 weeks). It is recommended to aliquot into single-use upon delivery. Store at -20℃ long term.
Storage buffer: 1*PBS (pH7.4), 0.2% BSA, 40% Glycerol. Preservative: 0.05% Sodium Azide.
Concentration: 1ug/ul
Purification: Immunogen affinity purified.
Molecular weight: Predicted band size: 29 kDa
Isotype: IgG
Immunogen: Synthetic peptide within C-terminal human DKK1.
Positive control: Mouse brain tissue lysate, human fetal brain tissue lysate, Hela, NCCIT, human placenta tissue, mouse placenta tissue.
Subcellular location: Secreted.
Recommended Dilutions:
  WB
  IF-Cell
  IHC-P
  FC

1:500
1:50-1:200
1:50-1:200
1:50-1:100
Uniprot #: SwissProt: O94907 Human | O54908 Mouse
Alternative names: Dickkopf 1 Dickkopf 1 homolog Dickkopf 1 like Dickkopf homolog 1 Dickkopf like protein 1 Dickkopf related protein 1 Dickkopf WNT signaling pathway inhibitor 1 Dickkopf-1 Dickkopf-related protein 1 DKK 1 Dkk-1 Dkk1 DKK1_HUMAN hDkk 1 hDkk-1 SK
Images
ER1512-20_1.jpg Fig1: Western blot analysis of DKK1 on different tissue lysates using anti-DKK1 antibody at 1/500 dilution.
Positive control:
Lane 1: Mouse brain tissue lysate
Lane 2: Human fetal brain tissue lysate
ER1512-20_2.jpg Fig2: ICC staining DKK1 in Hela cells (green). The nuclear counter stain is DAPI (blue). Cells were fixed in paraformaldehyde, permeabilised with 0.25% Triton X100/PBS.
ER1512-20_3.jpg Fig3: ICC staining DKK1 in NCCIT cells (green). The nuclear counter stain is DAPI (blue). Cells were fixed in paraformaldehyde, permeabilised with 0.25% Triton X100/PBS.
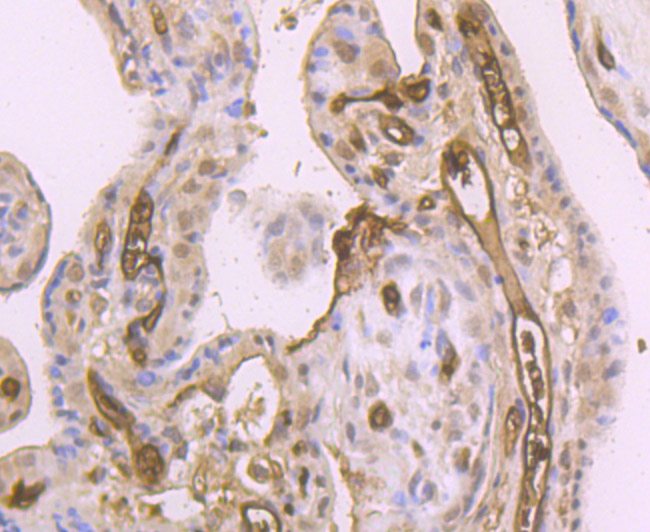
ER1512-20_4.jpg Fig4: Immunohistochemical analysis of paraffin-embedded human placenta tissue using anti-DKK1 antibody. Counter stained with hematoxylin.
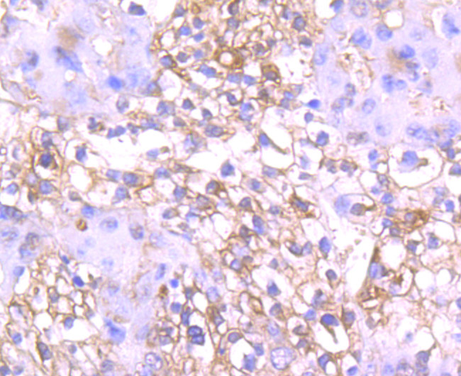
ER1512-20_5.jpg Fig5: Immunohistochemical analysis of paraffin-embedded mouse placenta tissue using anti-DKK1 antibody. Counter stained with hematoxylin.
ER1512-20_6.jpg Fig6: Flow cytometric analysis of Hela cells with DKK1 antibody at 1/100 dilution (red) compared with an unlabelled control (cells without incubation with primary antibody; black). Alexa Fluor 488-conjugated goat anti rabbit IgG was used as the secondary antibody.
Note: All products are “FOR RESEARCH USE ONLY AND ARE NOT INTENDED FOR DIAGNOSTIC OR THERAPEUTIC USE”.