ZIP12 Rabbit Polyclonal Antibody
cat.: ER1706-33
Product Type: Rabbit polyclonal IgG, primary antibodies
Species reactivity: Human, Mouse, Rat
Applications: WB, IF-Cell, IHC-P
Clonality: Polyclonal
Form: Liquid
Storage condition: Shipped at 4℃. Store at +4℃ short term (1-2 weeks). It is recommended to aliquot into single-use upon delivery. Store at -20℃ long term.
Storage buffer: 1*PBS (pH7.4), 0.2% BSA, 50% Glycerol. Preservative: 0.05% Sodium Azide.
Concentration: 1ug/ul
Purification: Immunogen affinity purified.
Molecular weight: Predicted band size: 70 kDa
Isotype: IgG
Immunogen: Synthetic peptide within Human ZIP12 aa 685-691 / 691 (Extracellular).
Positive control: HepG2, N2A, SH-SY5Y, rat lung tissue, mouse liver tissue, mouse brain tissue, mouse eyeball tissue.
Subcellular location: Membrane.
Recommended Dilutions:
  WB
  IF-Cell
  IHC-P

1:500-1:1,000
1:50-1:200
1:50-1:200
Uniprot #: SwissProt: Q504Y0 Human | Q5FWH7 Mouse
Alternative names: bA570F3.1 FLJ30499 LIV 1 subfamily of ZIP zinc transporter 8 LIV-1 subfamily of ZIP zinc transporter 8 LZT Hs8 LZT-Hs8 LZTHs8 MGC43205 MGC51099 S39AC_HUMAN SLC39A12 Solute carrier family 39 (metal ion transporter) member 12 Solute carrier family 39 (zinc transporter) member 12 Solute carrier family 39 member 12 Zinc transporter ZIP12 ZIP 12 ZIP-12 ZIP12 Zrt and Irt like protein 12 Zrt- and Irt-like protein 12
Images
ER1706-33_1.jpg Fig1: Western blot analysis of ZIP12 on HepG2 cell and rat lung tissue lysates using anti-ZIP12 antibody at 1/500 dilution.
ER1706-33_2.jpg Fig2: ICC staining ZIP12 in N2A cells (green). The nuclear counter stain is DAPI (blue). Cells were fixed in paraformaldehyde, permeabilised with 0.25% Triton X100/PBS.
ER1706-33_3.jpg Fig3: ICC staining ZIP12 in SH-SY5Y cells (green). The nuclear counter stain is DAPI (blue). Cells were fixed in paraformaldehyde, permeabilised with 0.25% Triton X100/PBS.
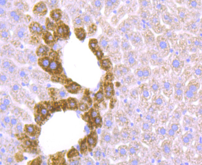
ER1706-33_4.jpg Fig4: Immunohistochemical analysis of paraffin-embedded mouse liver tissue using anti-ZIP12 antibody. Counter stained with hematoxylin.
ER1706-33_5.jpg Fig5: Immunohistochemical analysis of paraffin-embedded mouse brain tissue using anti-ZIP12 antibody. Counter stained with hematoxylin.
ER1706-33_6.jpg Fig6: Immunohistochemical analysis of paraffin-embedded mouse eyeball tissue using anti-ZIP12 antibody. Counter stained with hematoxylin.
Note: All products are “FOR RESEARCH USE ONLY AND ARE NOT INTENDED FOR DIAGNOSTIC OR THERAPEUTIC USE”.