Ki67 Rabbit Polyclonal Antibody
cat.: ER1706-46
Product Type: Rabbit polyclonal IgG, primary antibodies
Species reactivity: Human
Applications: WB, IF-Cell, IHC-P, FC
Clonality: Polyclonal
Form: Liquid
Storage condition: Shipped at 4℃. Store at +4℃ short term (1-2 weeks). It is recommended to aliquot into single-use upon delivery. Store at -20℃ long term.
Storage buffer: 1*PBS (pH7.4), 0.2% BSA, 50% Glycerol. Preservative: 0.05% Sodium Azide.
Concentration: 1ug/ul
Purification: Immunogen affinity purified.
Molecular weight: Predicted band size: 359 kDa
Isotype: IgG
Immunogen: Synthetic peptide within human Ki67 aa 1009-1094.
Positive control: HepG2, A431, A549, LOVO, human tonsil tissue, human lung cancer tissue, human colon cancer tissue, human stomach cancer tissue.
Subcellular location: Nucleus.
Recommended Dilutions:
  WB
  IF-Cell
  IHC-P
  FC

1:500-1,000
1:200-1:1,000
1:100-1:500
1:50-1:200
Uniprot #: SwissProt: P46013 Human
Alternative names: Antigen identified by monoclonal Ki 67 Antigen identified by monoclonal Ki-67 Antigen KI-67 Antigen KI67 Antigen Ki67 KI67_HUMAN KIA Marker of proliferation Ki-67 MIB 1 MIB MKI67 PPP1R105 Proliferation marker protein Ki-67 Proliferation related Ki 67 antigen Protein phosphatase 1 regulatory subunit 105 RP11-380J17.2
Images
ER1706-46_1.jpg Fig1: ICC staining Ki67 in A431 cells (green). The nuclear counter stain is DAPI (blue). Cells were fixed in paraformaldehyde, permeabilised with 0.25% Triton X100/PBS.
ER1706-46_2.jpg Fig2: ICC staining Ki67 in A549 cells (green). The nuclear counter stain is DAPI (blue). Cells were fixed in paraformaldehyde, permeabilised with 0.25% Triton X100/PBS.
ER1706-46_3.jpg Fig3: ICC staining Ki67 in LOVO cells (green). The nuclear counter stain is DAPI (blue). Cells were fixed in paraformaldehyde, permeabilised with 0.25% Triton X100/PBS.
ER1706-46_4.jpg Fig4: Immunohistochemical analysis of paraffin-embedded human tonsil tissue using anti-Ki67 antibody. Counter stained with hematoxylin. The section was pre-treated using heat mediated antigen retrieval with sodium citrate buffer (pH 6.0) (high pressure) for 2 minutes.
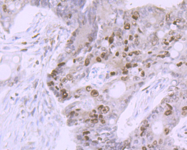
ER1706-46_5.jpg Fig5: Immunohistochemical analysis of paraffin-embedded human colon cancer tissue using anti-Ki67 antibody. Counter stained with hematoxylin. The section was pre-treated using heat mediated antigen retrieval with sodium citrate buffer (pH 6.0) (high pressure) for 2 minutes.
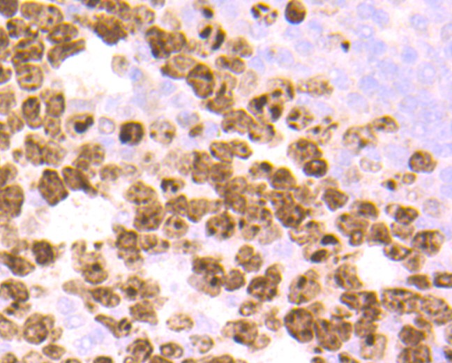
ER1706-46_6.jpg Fig6: Immunohistochemical analysis of paraffin-embedded human stomach cancer tissue using anti-Ki67 antibody. Counter stained with hematoxylin. The section was pre-treated using heat mediated antigen retrieval with sodium citrate buffer (pH 6.0) (high pressure) for 2 minutes.
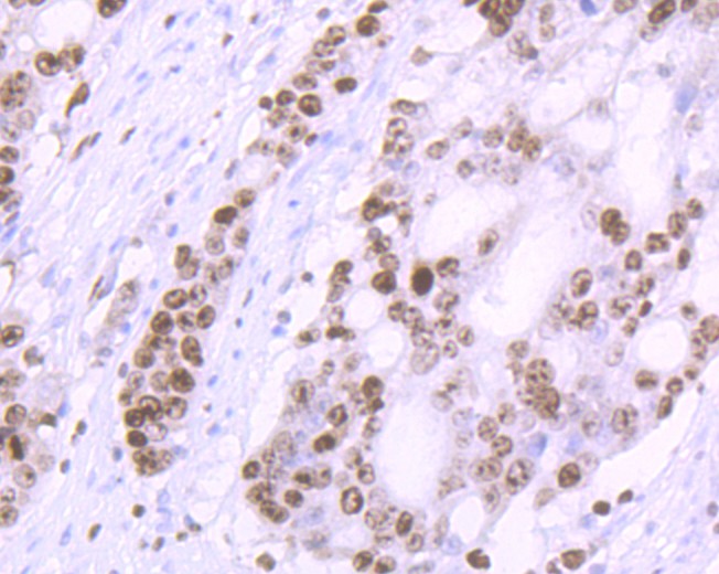
ER1706-46_7.jpg Fig7: Immunohistochemical analysis of paraffin-embedded human lung cancer tissue using anti-Ki67 antibody. Counter stained with hematoxylin. The section was pre-treated using heat mediated antigen retrieval with sodium citrate buffer (pH 6.0) (high pressure) for 2 minutes.
ER1706-46_8.jpg Fig8: Flow cytometric analysis of Hela cells with Ki67 antibody at 1/100 dilution (green) compared with an unlabelled control (cells without incubation with primary antibody; red). Alexa Fluor 488-conjugated goat anti-rabbit IgG was used as the secondary antibody.
ER1706-46_9.jpg Fig9: Western blot analysis of Ki67 on HepG2 cell lysate using anti-Ki67 antibody at 1/1,000 dilution.
Note: All products are “FOR RESEARCH USE ONLY AND ARE NOT INTENDED FOR DIAGNOSTIC OR THERAPEUTIC USE”.