LOX-1 Rabbit Polyclonal Antibody
cat.: ER1706-53
Product Type: Rabbit polyclonal IgG, primary antibodies
Species reactivity: Human, Mouse
Applications: WB, IHC-P, IF-Cell, FC
Clonality: Polyclonal
Form: Liquid
Storage condition: Shipped at 4℃. Store at +4℃ short term (1-2 weeks). It is recommended to aliquot into single-use upon delivery. Store at -20℃ long term.
Storage buffer: 1*PBS (pH7.4), 0.2% BSA, 50% Glycerol. Preservative: 0.05% Sodium Azide.
Concentration: 1ug/ul
Purification: Immunogen affinity purified.
Molecular weight: Predicted band size: 31 kDa
Isotype: IgG
Immunogen: Recombinant protein within Human LOX-1 aa 17-273 / 273.
Positive control: MCF-7 cell lysates, human lung tissue lysates, human kidney tissue, human placenta tissue, mouse brain tissue.
Subcellular location: Cell membrane. Secreted.
Recommended Dilutions:
  WB
  IHC-P

1:500-1:1,000
1:200-1:1,000
Uniprot #: SwissProt: P78380 Human | Q9EQ09 Mouse
Alternative names: C-type lectin domain family 8 member A CLEC8A hLOX 1 hLOX-1 Lectin like oxidized LDL receptor 1 Lectin like oxLDL receptor 1 Lectin type oxidized LDL receptor 1 Lectin-like oxidized LDL receptor 1 Lectin-like oxLDL receptor 1 Lectin-type oxidized LDL receptor 1 low density lipoprotein oxidized, receptor 1 LOX-1 LOXIN Olr1 OLR1_HUMAN Ox LDL receptor 1 Ox-LDL receptor 1 Oxidised low density lipoprotein (lectin like) receptor 1 Oxidized low density lipoprotein receptor 1 Oxidized low density lipoprotein receptor 1 soluble form Oxidized low-density lipoprotein receptor 1 SCARE1 Scavenger receptor class E, member 1 SLOX1 soluble form SR-EI
Images
ER1706-53_1.jpg Fig1: Western blot analysis of LOX-1 on MCF-7 cell lysates with Rabbit anti-LOX-1 antibody (ER1706-53) at 1/1,000 dilution.

Lysates/proteins at 10 µg/Lane.

Predicted band size: 31 kDa
Observed band size: 50 kDa

Exposure time: 2 minutes;

10% SDS-PAGE gel.

Proteins were transferred to a PVDF membrane and blocked with 5% NFDM/TBST for 1 hour at room temperature. The primary antibody (ER1706-53) at 1/1,000 dilution was used in 5% NFDM/TBST at room temperature for 2 hours. Goat Anti-Rabbit IgG - HRP Secondary Antibody (HA1001) at 1:300,000 dilution was used for 1 hour at room temperature.
ER1706-53_2.jpg Fig2: Western blot analysis of LOX1 on human lung tissue lysate using anti-LOX1 antibody at 1/500 dilution.
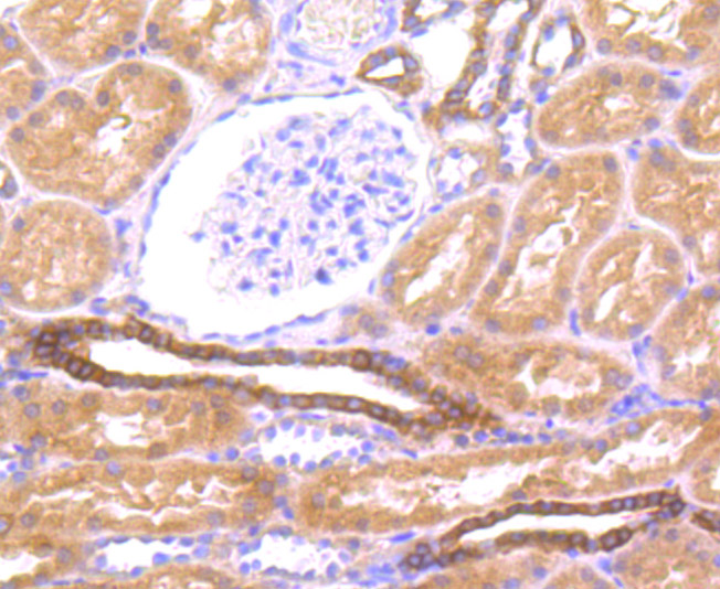
ER1706-53_3.jpg Fig3: Immunohistochemical analysis of paraffin-embedded human kidney tissue using anti-LOX1 antibody. Counter stained with hematoxylin.
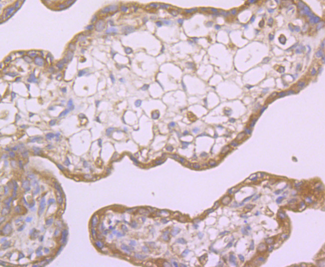
ER1706-53_4.jpg Fig4: Immunohistochemical analysis of paraffin-embedded human placenta tissue using anti-LOX1 antibody. Counter stained with hematoxylin.
ER1706-53_5.jpg Fig5: Immunohistochemical analysis of paraffin-embedded mouse brain tissue using anti-LOX1 antibody. Counter stained with hematoxylin.
Note: All products are “FOR RESEARCH USE ONLY AND ARE NOT INTENDED FOR DIAGNOSTIC OR THERAPEUTIC USE”.