CD21 Rabbit Polyclonal Antibody
cat.: ER1706-56
Product Type: Rabbit polyclonal IgG, primary antibodies
Species reactivity: Human
Applications: IF-Cell, IHC-P, FC
Clonality: Polyclonal
Form: Liquid
Storage condition: Shipped at 4℃. Store at +4℃ short term (1-2 weeks). It is recommended to aliquot into single-use upon delivery. Store at -20℃ long term.
Storage buffer: 1*PBS (pH7.4), 0.2% BSA, 50% Glycerol. Preservative: 0.05% Sodium Azide.
Concentration: 1ug/ul
Purification: Immunogen affinity purified.
Molecular weight: Predicted band size: 113 kDa
Isotype: IgG
Immunogen: Synthetic peptide within Human CD21 aa 984-1,033 / 1,033.
Positive control: LOVO, SH-SY5Y, human tonsil tissue, human colon cancer tissue.
Subcellular location: Membrane.
Recommended Dilutions:
  IHC-P
  IF-Cell
  FC

1:50-1:200
1:50-1:200
1:50-1:100
Uniprot #: SwissProt: P20023 Human
Alternative names: C3DR CD 21 CD21 Complement C3d receptor 2 Complement C3d receptor Complement component (3d/Epstein Barr virus) receptor 2 Complement receptor type 2 CR Cr2 CR2_HUMAN CVID7 EBV receptor EBV-R Epstein Barr virus receptor Epstein-Barr virus receptor EVBR SLEB9
Images
ER1706-56_1.jpg Fig1: ICC staining CD21 in LOVO cells (green). The nuclear counter stain is DAPI (blue). Cells were fixed in paraformaldehyde, permeabilised with 0.25% Triton X100/PBS.
ER1706-56_2.jpg Fig2: ICC staining CD21 in SH-SY5Y cells (green). The nuclear counter stain is DAPI (blue). Cells were fixed in paraformaldehyde, permeabilised with 0.25% Triton X100/PBS.
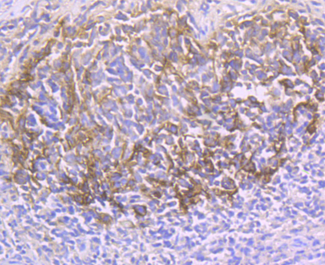
ER1706-56_3.jpg Fig3: Immunohistochemical analysis of paraffin-embedded human tonsil tissue using anti-CD21 antibody. Counter stained with hematoxylin.
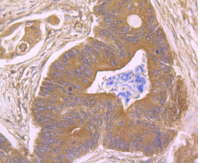
ER1706-56_4.jpg Fig4: Immunohistochemical analysis of paraffin-embedded human colon cancer tissue using anti-CD21 antibody. Counter stained with hematoxylin.
ER1706-56_5.jpg Fig5: Flow cytometric analysis of LOVO cells with CD21 antibody at 1/100 dilution (red) compared with an unlabelled control (cells without incubation with primary antibody; black). Alexa Fluor 488-conjugated goat anti-rabbit IgG was used as the secondary antibody.
Note: All products are “FOR RESEARCH USE ONLY AND ARE NOT INTENDED FOR DIAGNOSTIC OR THERAPEUTIC USE”.