JAK2 Rabbit Polyclonal Antibody
cat.: ER1706-58
Product Type: Rabbit polyclonal IgG, primary antibodies
Species reactivity: Human, Mouse, Rat
Applications: IF-Cell, IHC-P
Clonality: Polyclonal
Form: Liquid
Storage condition: Shipped at 4℃. Store at +4℃ short term (1-2 weeks). It is recommended to aliquot into single-use upon delivery. Store at -20℃ long term.
Storage buffer: 1*PBS (pH7.4), 0.2% BSA, 50% Glycerol. Preservative: 0.05% Sodium Azide.
Concentration: 1ug/ul
Purification: Immunogen affinity purified.
Molecular weight: Predicted band size: 131 kDa
Isotype: IgG
Immunogen: Synthetic peptide within C-terminal human JAK2.
Positive control: Hela, HUVEC, rat liver tissue, human tonsil tissue, human colon cancer tissue, human kidney tissue, mouse kidney tissue.
Subcellular location: Cytoplasm, Nucleus.
Recommended Dilutions:
  IF-Cell
  IHC-P

1:50-1:200
1:50-1:400
Uniprot #: SwissProt: O60674 Human | Q62120 Mouse | Q62689 Rat
Alternative names: JAK 2 JAK-2 JAK2 JAK2_HUMAN Janus Activating Kinase 2 Janus kinase 2 (a protein tyrosine kinase) Janus kinase 2 JTK 10 JTK10 kinase Jak2 OTTHUMP00000043260 THCYT3 Tyrosine protein kinase JAK2 Tyrosine-protein kinase JAK2
Images
ER1706-58_1.png Fig1: Immunocytochemistry analysis of HUVEC cells labeling JAK2 with Rabbit anti-JAK2 antibody (ER1706-58) at 1/50 dilution.

Cells were fixed in 4% paraformaldehyde for 10 minutes at 37 ℃, permeabilized with 0.05% Triton X-100 in PBS for 20 minutes, and then blocked with 2% negative goat serum for 30 minutes at room temperature. Cells were then incubated with Rabbit anti-JAK2 antibody (ER1706-58) at 1/50 dilution in 2% negative goat serum overnight at 4 ℃. Goat Anti-Rabbit IgG H&L (iFluor™ 488, HA1121) was used as the secondary antibody at 1/1,000 dilution. PBS instead of the primary antibody was used as the secondary antibody only control. Nuclear DNA was labelled in blue with DAPI.
ER1706-58_2.jpg Fig2: ICC staining JAK2 in Hela cells (green). The nuclear counter stain is DAPI (blue). Cells were fixed in paraformaldehyde, permeabilised with 0.25% Triton X100/PBS.
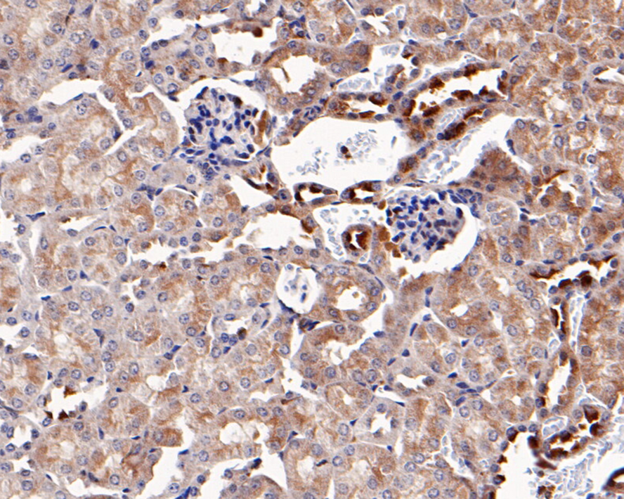
ER1706-58_3.png Fig3: Immunohistochemical analysis of paraffin-embedded human kidney tissue with Rabbit anti-JAK2 antibody (ER1706-58) at 1/400 dilution.

The section was pre-treated using heat mediated antigen retrieval with sodium citrate buffer (pH 6.0) for 2 minutes. The tissues were blocked in 1% BSA for 20 minutes at room temperature, washed with ddH2O and PBS, and then probed with the primary antibody (ER1706-58) at 1/400 dilution for 1 hour at room temperature. The detection was performed using an HRP conjugated compact polymer system. DAB was used as the chromogen. Tissues were counterstained with hematoxylin and mounted with DPX.
ER1706-58_4.png Fig4: Immunohistochemical analysis of paraffin-embedded mouse kidney tissue with Rabbit anti-JAK2 antibody (ER1706-58) at 1/400 dilution.

The section was pre-treated using heat mediated antigen retrieval with sodium citrate buffer (pH 6.0) for 2 minutes. The tissues were blocked in 1% BSA for 20 minutes at room temperature, washed with ddH2O and PBS, and then probed with the primary antibody (ER1706-58) at 1/400 dilution for 1 hour at room temperature. The detection was performed using an HRP conjugated compact polymer system. DAB was used as the chromogen. Tissues were counterstained with hematoxylin and mounted with DPX.
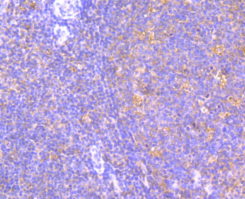
ER1706-58_5.jpg Fig5: Immunohistochemical analysis of paraffin-embedded human tonsil tissue using anti-JAK2 antibody. Counter stained with hematoxylin.
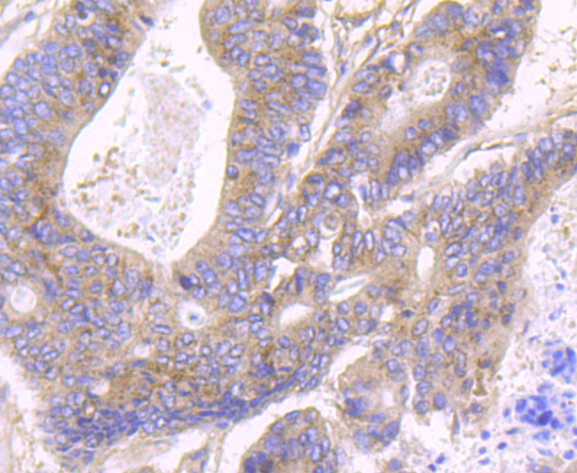
ER1706-58_6.jpg Fig6: Immunohistochemical analysis of paraffin-embedded human colon cancer tissue using anti-JAK2 antibody. Counter stained with hematoxylin.
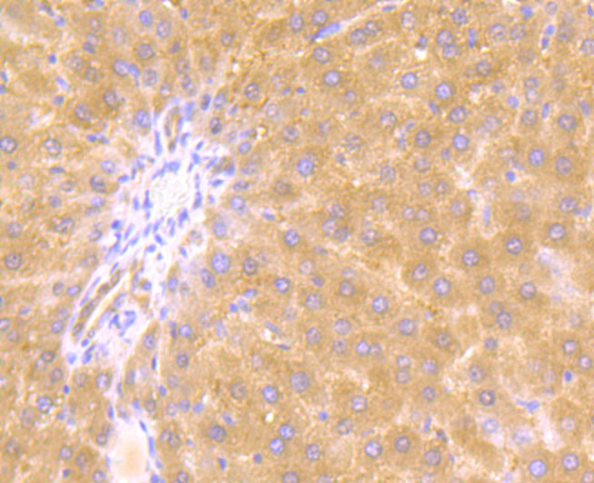
ER1706-58_7.jpg Fig7: Immunohistochemical analysis of paraffin-embedded rat liver tissue using anti-JAK2 antibody. Counter stained with hematoxylin.
Note: All products are “FOR RESEARCH USE ONLY AND ARE NOT INTENDED FOR DIAGNOSTIC OR THERAPEUTIC USE”.