eIF4EBP1 Rabbit Polyclonal Antibody
cat.: ER1706-64
Product Type: Rabbit polyclonal IgG, primary antibodies
Species reactivity: Human, Mouse, Rat
Applications: WB, IF-Cell, IHC-P, FC
Clonality: Polyclonal
Form: Liquid
Storage condition: Shipped at 4℃. Store at +4℃ short term (1-2 weeks). It is recommended to aliquot into single-use upon delivery. Store at -20℃ long term.
Storage buffer: 1*PBS (pH7.4), 0.2% BSA, 50% Glycerol. Preservative: 0.05% Sodium Azide.
Concentration: 1ug/ul
Purification: Immunogen affinity purified.
Molecular weight: Predicted band size: 12.5 kDa
Isotype: IgG
Immunogen: Recombinant protein within Human eIF4EBP1 aa 1-118 / 118.
Positive control: Mouse placenta tissue, PC-3M, 293T, rat esophagus tissue, human tonsil tissue, human pancreas tissue, mouse small intestine tissue.
Subcellular location: Cytoplasm. Nucleus.
Recommended Dilutions:
  WB
  IF-Cell
  IHC-P
  FC

1:500-1:1,000
1:500-1:1,000
1:50-1:200
1:50-1:100
Uniprot #: SwissProt: Q13541 Human | Q60876 Mouse | Q62622 Rat
Alternative names: 4E-BP1 4EBP1 4EBP1_HUMAN BP 1 eIF4E binding protein 1 eIF4E-binding protein 1 Eif4ebp1 Eukaryotic translation initiation factor 4E-binding protein 1 PHAS-I PHASI Phosphorylated heat- and acid-stable protein regulated by insulin 1
Images
ER1706-64_1.jpg Fig1: Western blot analysis of 4E-BP1 on different lysates using anti-4E-BP1 antibody at 1/500 dilution.
Lane 1: PC-3M
Lane 2: Mouse placenta tissue
ER1706-64_2.jpg Fig2: ICC staining 4E-BP1 in 293T cells (green). The nuclear counter stain is DAPI (blue). Cells were fixed in paraformaldehyde, permeabilised with 0.25% Triton X100/PBS.
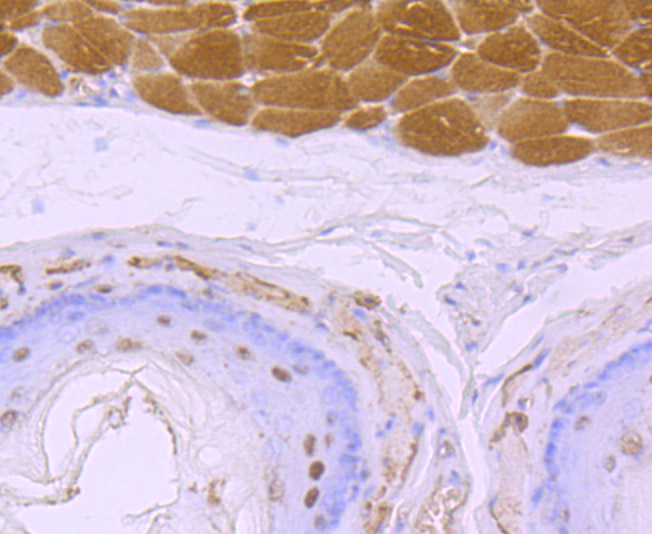
ER1706-64_3.jpg Fig3: Immunohistochemical analysis of paraffin-embedded rat esophagus tissue using anti-4E-BP1 antibody. Counter stained with hematoxylin.
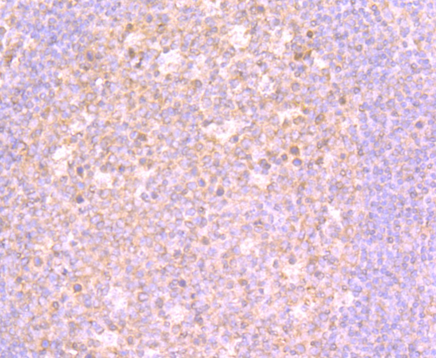
ER1706-64_4.jpg Fig4: Immunohistochemical analysis of paraffin-embedded human tonsil tissue using anti-4E-BP1 antibody. Counter stained with hematoxylin.
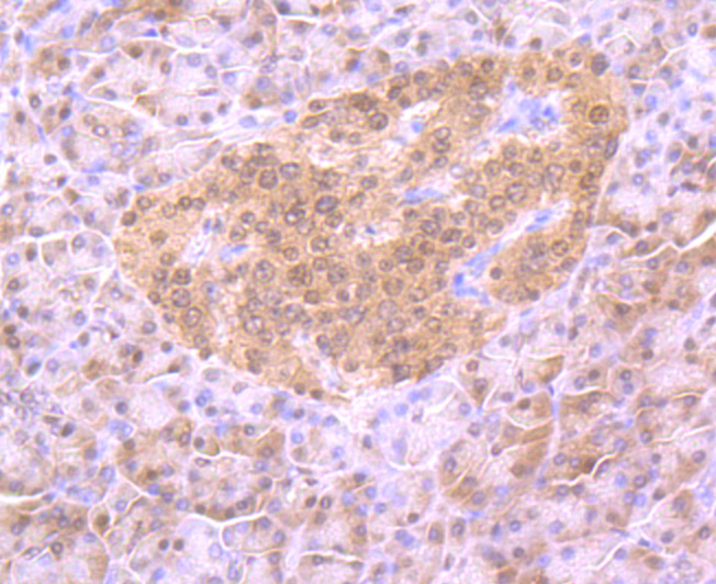
ER1706-64_5.jpg Fig5: Immunohistochemical analysis of paraffin-embedded human pancreas tissue using anti-4E-BP1 antibody. Counter stained with hematoxylin.
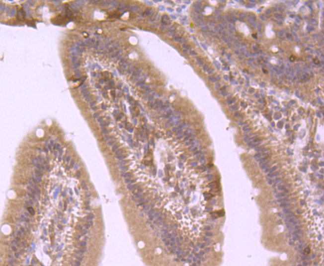
ER1706-64_6.jpg Fig6: Immunohistochemical analysis of paraffin-embedded mouse small intestine tissue using anti-4E-BP1 antibody. Counter stained with hematoxylin.
ER1706-64_7.jpg Fig7: Flow cytometric analysis of PC-3M cells with 4E-BP1 antibody at 1/100 dilution (red) compared with an unlabelled control (cells without incubation with primary antibody; black). Alexa Fluor 488-conjugated goat anti rabbit IgG was used as the secondary antibody.
Note: All products are “FOR RESEARCH USE ONLY AND ARE NOT INTENDED FOR DIAGNOSTIC OR THERAPEUTIC USE”.