CD34 Rabbit Polyclonal Antibody
cat.: ER1706-66
Product Type: Rabbit polyclonal IgG, primary antibodies
Species reactivity: Human, Mouse
Applications: WB, IHC-P
Clonality: Polyclonal
Form: Liquid
Storage condition: Shipped at 4℃. Store at +4℃ short term (1-2 weeks). It is recommended to aliquot into single-use upon delivery. Store at -20℃ long term.
Storage buffer: 1*PBS (pH7.4), 0.2% BSA, 50% Glycerol. Preservative: 0.05% Sodium Azide.
Concentration: 1ug/ul
Purification: Immunogen affinity purified.
Molecular weight: Predicted band size: 41 kDa
Isotype: IgG
Immunogen: Recombinant protein within human CD34 aa 10-310/385.
Positive control: TF-1, human brain tissue lysate, human liver cancer tissue.
Subcellular location: Membrane.
Recommended Dilutions:
  WB
  IHC-P

1:500-2,000
1:100-1:500
Uniprot #: SwissProt: P28906 Human | Q64314 Mouse
Alternative names: CD34 CD34 antigen CD34 molecule CD34_HUMAN Cluster designation 34 Hematopoietic progenitor cell antigen CD34 HPCA1 Mucosialin OTTHUMP00000034733 OTTHUMP00000034734
Images
ER1706-66_1.jpg Fig1: Western blot analysis of CD34 on TF-1 cell (1) and human brain tissue (2) lysates using anti-CD34 antibody at 1/1,000 dilution.
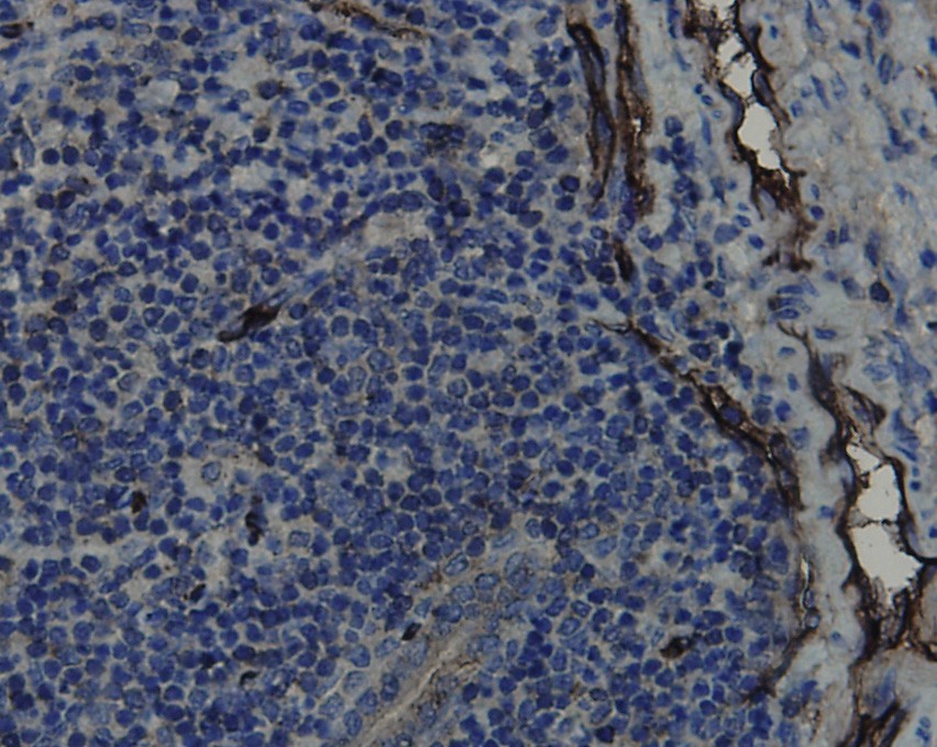
ER1706-66_2.jpg Fig2: Immunohistochemical analysis of paraffin-embedded human liver cancer tissue using anti-CD34 antibody. Counter stained with hematoxylin.
Note: All products are “FOR RESEARCH USE ONLY AND ARE NOT INTENDED FOR DIAGNOSTIC OR THERAPEUTIC USE”.