Cullin-3 Rabbit Polyclonal Antibody
cat.: ER1706-70
Product Type: Rabbit polyclonal IgG, primary antibodies
Species reactivity: Human, Mouse
Applications: WB, IHC-P, FC
Clonality: Polyclonal
Form: Liquid
Storage condition: Shipped at 4℃. Store at +4℃ short term (1-2 weeks). It is recommended to aliquot into single-use upon delivery. Store at -20℃ long term.
Storage buffer: 1*PBS (pH7.4), 0.2% BSA, 50% Glycerol. Preservative: 0.05% Sodium Azide.
Concentration: 1ug/ul
Purification: Immunogen affinity purified.
Molecular weight: Predicted band size: 89 kDa
Isotype: IgG
Immunogen: Synthetic peptide within human Cullin-3 aa 724-768.
Positive control: SH-SY5Y, 293T, mouse testis tissue lysate, human kidney tissue, human placenta tissue.
Subcellular location: Golgi apparatus. Nucleus.
Recommended Dilutions:
  WB
  IHC-P
  FC

1:500-1:2,000
1:50-1:500
1:50-1:100
Uniprot #: SwissProt: Q13618 Human | Q9JLV5 Mouse
Alternative names: CUL 3 Cul-3 cul3 CUL3_HUMAN Cullin-3 Cullin3 KIAA0617 PHA2E
Images
ER1706-70_1.jpg Fig1: Western blot analysis of Cullin 3 on different lysates using anti-Cullin 3 antibody at 1/1,000 dilution.
Positive control:
Lane 1: SH-SY5Y
Lane 2: 293T
Lane 3: Mouse testis tissue
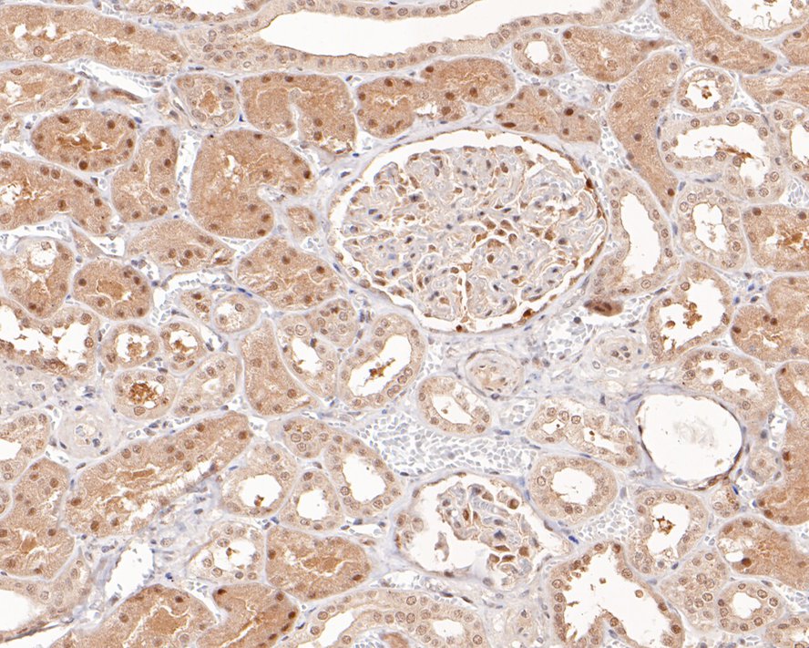
ER1706-70_2.jpg Fig2: Immunohistochemical analysis of paraffin-embedded human kidney tissue with Rabbit anti-Cullin-3 antibody (ER1706-70) at 1/500 dilution.

The section was pre-treated using heat mediated antigen retrieval with sodium citrate buffer (pH 6.0) for 2 minutes. The tissues were blocked in 1% BSA for 20 minutes at room temperature, washed with ddH2O and PBS, and then probed with the primary antibody (ER1706-70) at 1/500 dilution for 1 hour at room temperature. The detection was performed using an HRP conjugated compact polymer system. DAB was used as the chromogen. Tissues were counterstained with hematoxylin and mounted with DPX.
ER1706-70_3.jpg Fig3: Immunohistochemical analysis of paraffin-embedded human placenta tissue using anti-Cullin-3 antibody. Counter stained with hematoxylin.
ER1706-70_4.jpg Fig4: Flow cytometric analysis of SH-SY5Y cells with Cullin 3 antibody at 1/100 dilution (red) compared with an unlabelled control (cells without incubation with primary antibody; black). Alexa Fluor 488-conjugated goat anti-rabbit IgG was used as the secondary antibody.
ER1706-70_5.jpg Fig5: Western blot analysis of Cullin-3 on mouse testis tissue lysates with Rabbit anti-Cullin-3 antibody (ER1706-70) at 1/2,000 dilution.

Lysates/proteins at 20 µg/Lane.

Predicted band size: 89 kDa
Observed band size: 80 kDa

Exposure time: 2 minutes;

8% SDS-PAGE gel.

Proteins were transferred to a PVDF membrane and blocked with 5% NFDM/TBST for 1 hour at room temperature. The primary antibody (ER1706-70) at 1/2,000 dilution was used in 5% NFDM/TBST at room temperature for 2 hours. Goat Anti-Rabbit IgG - HRP Secondary Antibody (HA1001) at 1:300,000 dilution was used for 1 hour at room temperature.
Note: All products are “FOR RESEARCH USE ONLY AND ARE NOT INTENDED FOR DIAGNOSTIC OR THERAPEUTIC USE”.