 
	            	| Product Type: | Rabbit polyclonal IgG, primary antibodies | 
|---|---|
| Species reactivity: | Human, Mouse, Rat | 
| Applications: | WB, IF-Cell, IHC-P, FC | 
| Clonality: | Polyclonal | 
| Form: | Liquid | 
| Storage condition: | Shipped at 4℃. Store at +4℃ short term (1-2 weeks). It is recommended to aliquot into single-use upon delivery. Store at -20℃ long term. | 
| Storage buffer: | 1*PBS (pH7.4), 0.2% BSA, 50% Glycerol. Preservative: 0.05% Sodium Azide. | 
| Concentration: | 1ug/ul | 
| Purification: | Immunogen affinity purified. | 
| Molecular weight: | Predicted band size: 121 kDa | 
| Isotype: | IgG | 
| Immunogen: | Recombinant protein within human ATP citrate lyase aa 813-1066. | 
| Positive control: | NIH-3T3, A549, SH-SY5Y, mouse pancreas tissue lysate, rat brain tissue, human colon cancer tissue, human pancreas tissue, mouse testis tissue. | 
| Subcellular location: | Cytoplasm, cytosol. | 
| Recommended Dilutions: WB IF-Cell IHC-P FC | 1:500 1:50-1:200 1:50-1:200 1:50-1:100 | 
| Uniprot #: | SwissProt: P53396 Human | Q91V92 Mouse | P16638 Rat | 
| Alternative names: | ACL Acly ACLY_HUMAN ATP citrate (pro-S) lyase ATP citrate lyase ATP citrate synthase ATP-citrate (pro-S-)-lyase ATP-citrate synthase ATPcitrate synthase ATPCL Citrate cleavage enzyme CLATP OTTHUMP00000164773 | 
|   | Fig1: Western blot analysis of ATP citrate lyase on mouse pancreas tissue (1) and NIH-3T3 cell (2) lysate using anti-ATP citrate lyase antibody at 1/200 dilution. | 
|   | Fig2:
	        				All lanes: Western blot analysis of ATP citrate lyase with anti-ATP citrate lyase antibody (ER1706-75) at 1:500 dilution. Lane 1: Wild-type A549 whole cell lysate (10 µg). Lane 2: ATP citrate lyase knockout A549 whole cell lysate (10 µg). ER1706-75 was shown to specifically react with ATP citrate lyase in wild-type A549 cells. No band was observed when ATP citrate lyase knockout sample was tested. Wild-type and ATP citrate lyase knockout samples were subjected to SDS-PAGE. Proteins were transferred to a PVDF membrane and blocked with 5% NFDM in TBST for 1 hour at room temperature. The primary antibody (ER1706-75, 1:500) was used in 5% BSA at room temperature for 2 hours. Goat Anti-Rabbit IgG-HRP Secondary Antibody (HA1001) at 1:300,000 dilution was used for 1 hour at room temperature. | 
|   | Fig3: ICC staining ATP citrate lyase in A549 cells (green). The nuclear counter stain is DAPI (blue). Cells were fixed in paraformaldehyde, permeabilised with 0.25% Triton X100/PBS. | 
|   | Fig4: ICC staining ATP citrate lyase in SH-SY5Y cells (green). The nuclear counter stain is DAPI (blue). Cells were fixed in paraformaldehyde, permeabilised with 0.25% Triton X100/PBS. | 
|   | Fig5: Immunohistochemical analysis of paraffin-embedded rat brain tissue using anti-ATP citrate lyase antibody. Counter stained with hematoxylin. | 
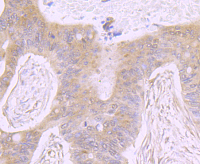
|   | Fig6: Immunohistochemical analysis of paraffin-embedded human colon cancer tissue using anti-ATP citrate lyase antibody. Counter stained with hematoxylin. | 
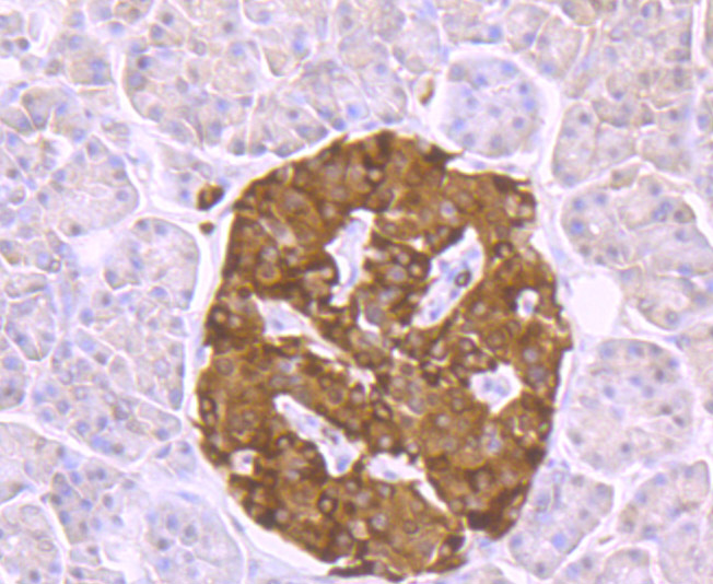
|   | Fig7: Immunohistochemical analysis of paraffin-embedded human pancreas tissue using anti-ATP citrate lyase antibody. Counter stained with hematoxylin. | 
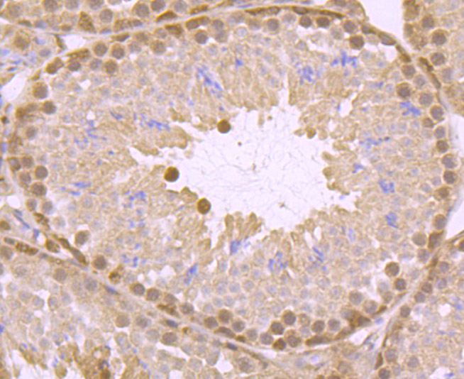
|   | Fig8: Immunohistochemical analysis of paraffin-embedded mouse testis tissue using anti-ATP citrate lyase antibody. Counter stained with hematoxylin. | 
|   | Fig9: Flow cytometric analysis of A549 cells with ATP citrate lyase antibody at 1/100 dilution (red) compared with an unlabelled control (cells without incubation with primary antibody; black). Alexa Fluor 488-conjugated goat anti rabbit IgG was used as the secondary antibody. |