Apolipoprotein A1 Rabbit Polyclonal Antibody
cat.: ER1802-29
Product Type: Rabbit polyclonal IgG, primary antibodies
Species reactivity: Human, Mouse, Rat
Applications: WB, IF-Cell, IHC-P, FC
Clonality: Polyclonal
Form: Liquid
Storage condition: Shipped at 4℃. Store at +4℃ short term (1-2 weeks). It is recommended to aliquot into single-use upon delivery. Store at -20℃ long term.
Storage buffer: 1*PBS (pH7.4), 0.2% BSA, 50% Glycerol. Preservative: 0.05% Sodium Azide.
Concentration: 1ug/ul
Purification: Immunogen affinity purified.
Molecular weight: 27 kDa
Isotype: IgG
Immunogen: Synthetic peptide within C-terminal human Apolipoprotein A1.
Positive control: Human liver tissue, HepG2, LOVO, SH-SY-5Y, rat liver tissue, mouse liver tissue.
Subcellular location: Secreted.
Recommended Dilutions:
  WB
  IF-Cell
  IHC-P
  FC

1:1,000-1:2,000
1:50-1:200
1:50-1:100
1:50-1:100
Uniprot #: SwissProt: P02647 Human | Q00623 Mouse | P04639 Rat
Alternative names: Apo-AI ApoA I ApoA-I APOA1 APOA1_HUMAN Apolipoprotein A-I(1-242) Apolipoprotein A1 Apolipoprotein AI Brp14 Ltw1 Lvtw1 Sep1 Sep2
Images
ER1802-29_1.jpg Fig1: Western blot analysis of Apolipoprotein A1 on human liver tissue lysate using anti-Apolipoprotein A1 antibody at 1/1,000 dilution.
ER1802-29_2.jpg Fig2: ICC staining Apolipoprotein A1 in HepG2 cells (green). The nuclear counter stain is DAPI (blue). Cells were fixed in paraformaldehyde, permeabilised with 0.25% Triton X100/PBS.
ER1802-29_3.jpg Fig3: ICC staining Apolipoprotein A1 in LOVO cells (green). The nuclear counter stain is DAPI (blue). Cells were fixed in paraformaldehyde, permeabilised with 0.25% Triton X100/PBS.
ER1802-29_4.jpg Fig4: ICC staining Apolipoprotein A I in SH-SY-5Y cells (green). The nuclear counter stain is DAPI (blue). Cells were fixed in paraformaldehyde, permeabilised with 0.25% Triton X100/PBS.
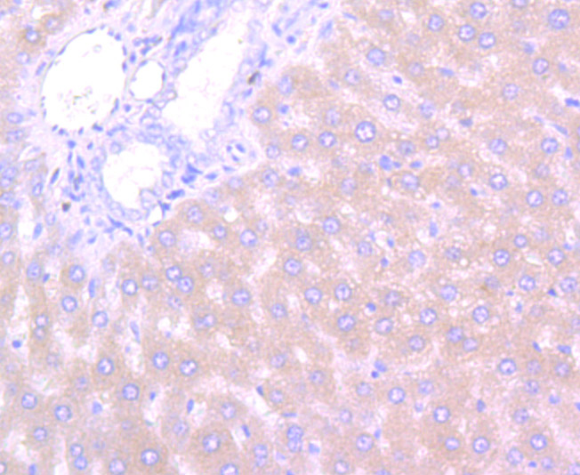
ER1802-29_5.jpg Fig5: Immunohistochemical analysis of paraffin-embedded rat liver tissue using anti-Apolipoprotein A1 antibody. Counter stained with hematoxylin.
ER1802-29_6.jpg Fig6: Immunohistochemical analysis of paraffin-embedded rat liver tissue using anti-Apolipoprotein A1 antibody. Counter stained with hematoxylin.
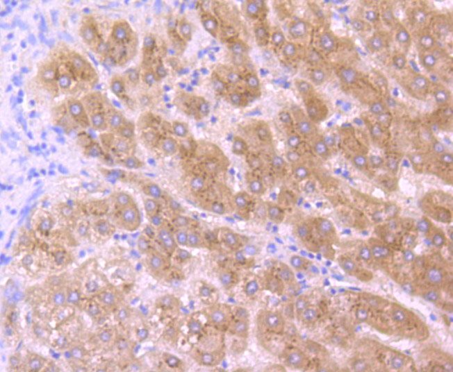
ER1802-29_7.jpg Fig7: Immunohistochemical analysis of paraffin-embedded human liver tissue using anti-Apolipoprotein A I antibody. Counter stained with hematoxylin.
ER1802-29_8.jpg Fig8: Flow cytometric analysis of HepG2 cells with Apolipoprotein A1 antibody at 1/50 dilution (red) compared with an unlabelled control (cells without incubation with primary antibody; black). Alexa Fluor 488-conjugated goat anti-rabbit IgG was used as the secondary antibody.
Note: All products are “FOR RESEARCH USE ONLY AND ARE NOT INTENDED FOR DIAGNOSTIC OR THERAPEUTIC USE”.