IL-1 alpha Rabbit Polyclonal Antibody
cat.: ER1802-36
Product Type: Rabbit polyclonal IgG, primary antibodies
Species reactivity: Human, Mouse
Applications: IHC-P, FC, WB
Clonality: Polyclonal
Form: Liquid
Storage condition: Shipped at 4℃. Store at +4℃ short term (1-2 weeks). It is recommended to aliquot into single-use upon delivery. Store at -20℃ long term.
Storage buffer: 1*PBS (pH7.4), 0.2% BSA, 50% Glycerol. Preservative: 0.05% Sodium Azide.
Concentration: 1ug/ul
Purification: Immunogen affinity purified.
Molecular weight: Predicted band size: 31 kDa
Isotype: IgG
Immunogen: Recombinant protein within C-terminal human IL1 alpha.
Positive control: Human lymph node lysates, Human colon cancer tissue, PC-3M.
Subcellular location: Nucleus, Cytoplasm, Secreted.
Recommended Dilutions:
  IHC-P
  FC
  WB

1:400-1:800
1:50-1:100
1:500
Uniprot #: SwissProt: P01583 Human | P01582 Mouse
Alternative names: BAF FAF Hematopoietin 1 Hematopoietin-1 IL 1 alpha IL 1A IL-1 alpha Il-1a IL1 ALPHA IL1 IL1A IL1A_HUMAN IL1F1 Interleukin 1 alpha Interleukin-1 alpha Interleukin1 alpha LAF LEM Preinterleukin 1 alpha Pro interleukin 1 alpha
Images
ER1802-36_1.jpg Fig1: Western blot analysis of IL1 alpha on human lymph node lysates using anti-IL1 alpha antibody at 1/500 dilution.
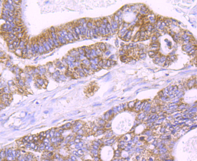
ER1802-36_2.jpg Fig2: Immunohistochemical analysis of paraffin-embedded human colon cancer tissue using anti-IL1 alpha antibody. Counter stained with hematoxylin.
ER1802-36_3.jpg Fig3: Flow cytometric analysis of PC-3M cells with IL1 alpha antibody at 1/100 dilution (red) compared with an unlabelled control (cells without incubation with primary antibody; black). Alexa Fluor 488-conjugated goat anti-rabbit IgG was used as the secondary antibody.
Note: All products are “FOR RESEARCH USE ONLY AND ARE NOT INTENDED FOR DIAGNOSTIC OR THERAPEUTIC USE”.