PAX8 Rabbit Polyclonal Antibody
cat.: ER1802-51
Product Type: Rabbit polyclonal IgG, primary antibodies
Species reactivity: Human
Applications: WB, IF-Cell, IHC-P, FC
Clonality: Polyclonal
Form: Liquid
Storage condition: Shipped at 4℃. Store at +4℃ short term (1-2 weeks). It is recommended to aliquot into single-use upon delivery. Store at -20℃ long term.
Storage buffer: 1*PBS (pH7.4), 0.2% BSA, 50% Glycerol. Preservative: 0.05% Sodium Azide.
Concentration: 1ug/ul
Purification: Immunogen affinity purified.
Molecular weight: Predicted band size: 48 kDa
Isotype: IgG
Immunogen: Synthetic peptide within C-terminal Human PAX8.
Positive control: SKOV-3, human thyroid gland tissue, SiHa.
Subcellular location: Nucleus.
Recommended Dilutions:
  WB
  IF-Cell
  IHC-P
  FC

1:500
1:50-1:200
1:50-1:400
1:50-1:100
Uniprot #: SwissProt: Q06710 Human
Alternative names: OTTHUMP00000158659 OTTHUMP00000158660 OTTHUMP00000203723 OTTHUMP00000203724 Paired box 8 Paired box gene 8 paired box homeotic gene 8 Paired box protein Pax 8 Paired box protein Pax-8 Paired domain gene 8 PAX 8 PAX8 PAX8_HUMAN
Images
ER1802-51_1.jpg Fig1: Western blot analysis of Pax8 on human thyroid gland tissue and SKOV-3 cell lysates using anti-Pax8 antibody at 1/500 dilution.
ER1802-51_2.jpg Fig2: ICC staining Pax8 in SKOV-3 cells (green). The nuclear counter stain is DAPI (blue). Cells were fixed in paraformaldehyde, permeabilised with 0.25% Triton X100/PBS.
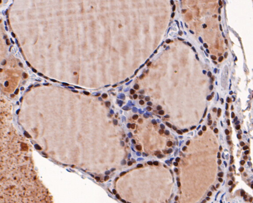
ER1802-51_3.png Fig3: Immunohistochemical analysis of paraffin-embedded human thyroid gland tissue with Rabbit anti-PAX8 antibody (ER1802-51) at 1/400 dilution.

The section was pre-treated using heat mediated antigen retrieval with sodium citrate buffer (pH 6.0) for 2 minutes. The tissues were blocked in 1% BSA for 20 minutes at room temperature, washed with ddH2O and PBS, and then probed with the primary antibody (ER1802-51) at 1/400 dilution for 1 hour at room temperature. The detection was performed using an HRP conjugated compact polymer system. DAB was used as the chromogen. Tissues were counterstained with hematoxylin and mounted with DPX.
ER1802-51_4.jpg Fig4: Flow cytometric analysis of SiHa cells with Pax8 antibody at 1/100 dilution (red) compared with an unlabelled control (cells without incubation with primary antibody; black). Alexa Fluor 488-conjugated goat anti-rabbit IgG was used as the secondary antibody.
Note: All products are “FOR RESEARCH USE ONLY AND ARE NOT INTENDED FOR DIAGNOSTIC OR THERAPEUTIC USE”.