TWEAKR Rabbit Polyclonal Antibody
cat.: ER1802-64
Product Type: Rabbit polyclonal IgG, primary antibodies
Species reactivity: Human, Mouse
Applications: IF-Cell, IHC-P, FC
Clonality: Polyclonal
Form: Liquid
Storage condition: Shipped at 4℃. Store at +4℃ short term (1-2 weeks). It is recommended to aliquot into single-use upon delivery. Store at -20℃ long term.
Storage buffer: 1*PBS (pH7.4), 0.2% BSA, 50% Glycerol. Preservative: 0.05% Sodium Azide.
Concentration: 1ug/ul
Purification: Immunogen affinity purified.
Molecular weight: Predicted band size: 14 kDa
Isotype: IgG
Immunogen: Synthetic peptide within Human TWEAKR aa 80-129 / 129.
Positive control: MCF-7, SiHa, human colon cancer tissue, human placenta tissue, mouse testis tissue, 293T.
Subcellular location: Membrane.
Recommended Dilutions:
  IF-Cell
  IHC-P
  FC

1:50-1:200
1:50-1:200
1:50-1:100
Uniprot #: SwissProt: Q9NP84 Human | Q9CR75 Mouse
Alternative names: CD 266 CD266 CD266 antigen FGF inducible 14 FGF-inducible 14 Fibroblast growth factor inducible immediate early response protein 14 Fibroblast growth factor-inducible immediate-early response protein 14 FN 14 FN14 TNFRSF 12A TNFRSF12A TNR12_HUMAN Tumor necrosis factor receptor superfamily member 12A TWEAK R Tweak receptor Tweak-receptor TweakR
Images
ER1802-64_1.jpg Fig1: ICC staining TWEAKR in MCF-7 cells (green). The nuclear counter stain is DAPI (blue). Cells were fixed in paraformaldehyde, permeabilised with 0.25% Triton X100/PBS.
ER1802-64_2.jpg Fig2: ICC staining TWEAKR in SiHa cells (green). The nuclear counter stain is DAPI (blue). Cells were fixed in paraformaldehyde, permeabilised with 0.25% Triton X100/PBS.
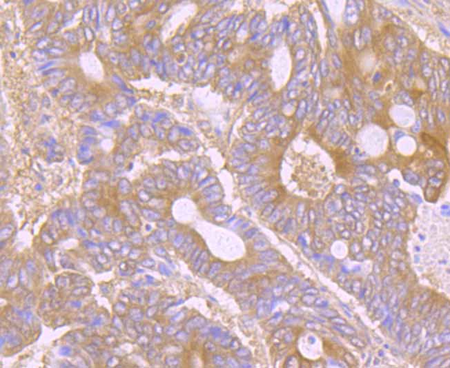
ER1802-64_3.jpg Fig3: Immunohistochemical analysis of paraffin-embedded human colon cancer tissue using anti-TWEAKR antibody. Counter stained with hematoxylin.
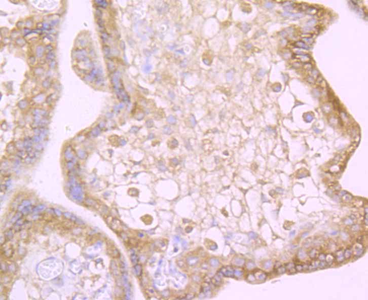
ER1802-64_4.jpg Fig4: Immunohistochemical analysis of paraffin-embedded human placenta tissue using anti-TWEAKR antibody. Counter stained with hematoxylin.
ER1802-64_5.jpg Fig5: Immunohistochemical analysis of paraffin-embedded mouse testis tissue using anti-TWEAKR antibody. Counter stained with hematoxylin.
ER1802-64_6.jpg Fig6: Flow cytometric analysis of 293T cells with TWEAKR antibody at 1/100 dilution (red) compared with an unlabelled control (cells without incubation with primary antibody; black). Alexa Fluor 488-conjugated goat anti-rabbit IgG was used as the secondary antibody.
Note: All products are “FOR RESEARCH USE ONLY AND ARE NOT INTENDED FOR DIAGNOSTIC OR THERAPEUTIC USE”.