 
	            	| Product Type: | Rabbit polyclonal IgG, primary antibodies | 
|---|---|
| Species reactivity: | Human | 
| Applications: | WB, IF-Cell, IHC-P, FC | 
| Clonality: | Polyclonal | 
| Form: | Liquid | 
| Storage condition: | Shipped at 4℃. Store at +4℃ short term (1-2 weeks). It is recommended to aliquot into single-use upon delivery. Store at -20℃ long term. | 
| Storage buffer: | 1*PBS (pH7.4), 0.2% BSA, 50% Glycerol. Preservative: 0.05% Sodium Azide. | 
| Concentration: | 1ug/ul | 
| Purification: | Immunogen affinity purified. | 
| Molecular weight: | Predicted band size: 54 kDa | 
| Isotype: | IgG | 
| Immunogen: | Recombinant protein within Human SUFU aa 33-260 / 484. | 
| Positive control: | 293, SH-SY-5Y, A549, human kidney tissue, human colon cancer tissue, SKOV-3. | 
| Subcellular location: | Cytoplasm, Nucleus. | 
| Recommended Dilutions: WB IF-Cell IHC-P FC | 1:500-1:1,000 1:50-1:200 1:50-1:200 1ug/mL | 
| Uniprot #: | SwissProt: Q9UMX1 Human | 
| Alternative names: | OTTHUMP00000020374 OTTHUMP00000020377 OTTHUMP00000020379 PRO1280 SU FU SU(F)U Su(fu) SUFU SUFU negative regulator of hedgehog signaling SUFU_HUMAN SUFUH SUFUXL Suppressor of fused homolog (Drosophila) Suppressor of fused homolog | 
|   | Fig1: Western blot analysis of SUFU on 293 cell lysate using anti-SUFU antibody at 1/500 dilution. | 
|   | Fig2: ICC staining SUFU in SH-SY-5Y cells (green). The nuclear counter stain is DAPI (blue). Cells were fixed in paraformaldehyde, permeabilised with 0.25% Triton X100/PBS. | 
|   | Fig3: ICC staining SUFU in A549 cells (green). The nuclear counter stain is DAPI (blue). Cells were fixed in paraformaldehyde, permeabilised with 0.25% Triton X100/PBS. | 
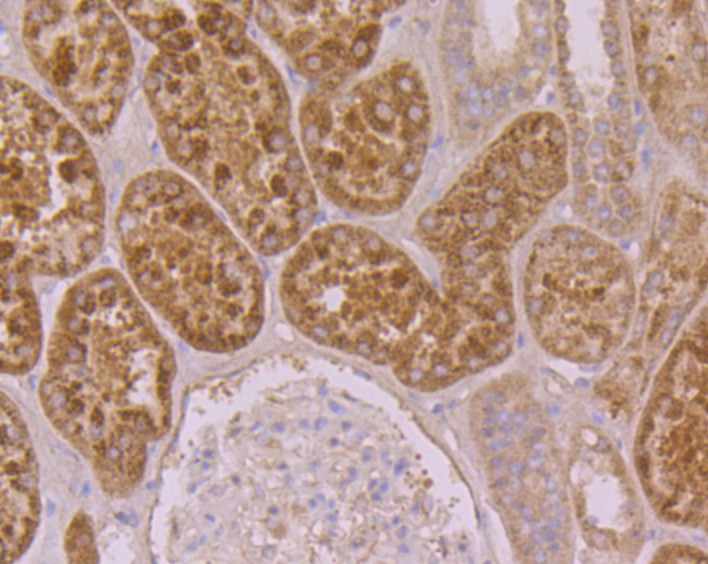
|   | Fig4: Immunohistochemical analysis of paraffin-embedded human kidney tissue using anti-SUFU antibody. Counter stained with hematoxylin. | 
|   | Fig5: Immunohistochemical analysis of paraffin-embedded human colon cancer tissue using anti-SUFU antibody. Counter stained with hematoxylin. | 
|   | Fig6:
		        				Flow cytometric analysis of SKOV-3 cells labeling SUFU. Cells were fixed and permeabilized. Then stained with the primary antibody (ER1802-68, 1ug/ml) (red) compared with Rabbit IgG Isotype Control (green). After incubation of the primary antibody at +4℃ for an hour, the cells were stained with a iFluor™ 488 conjugate-Goat anti-Rabbit IgG Secondary antibody (HA1121) at 1/1,000 dilution for 30 minutes at +4℃. Unlabelled sample was used as a control (cells without incubation with primary antibody; black). |